Stichosoom
Een stichosoom (in Grieks stichos (στίχος) = rij; soma (σῶµα) = lichaam) is een meercellig orgaan, dat in sommige stadia van rondwormen zeer opvallend aanwezig is en bestaat uit een in de lengterichting liggende reeks van klierachtige eencellige cellen (stichocyten) gerangschikt in een rij langs de farynx en die de achterste farynxklieren vormen. Het mondt uit in de holte van de farynx en functioneert blijkbaar als een uitscheidingsklier en opslagorgaan.[1][2][3][4][5][6][7] De stichocyten bevatten mitochondria, ruw endoplasmatisch reticulum, veel Golgi-apparaten en meestal 1 van 2 soorten uitgescheiden granulaten, α-granulaten en β-granulaten, die duiden op de uitscheidingsfunctie van de stychocyt. Stichosomen komen vooral voor bij de Trichocephalida en Mermithida.
-
Lichaamsbouw van Capillaria plectropomi. B: een stichocyt in het middelste deel van het stichosoom. -
Het stichosoom bestaat uit duidelijk zichtbare cellen. Hier bij Trichosomoides crassicauda -
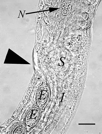
Een stichocyt bij het achterste uiteinde van de farynx in een vrouwelijke Capillaria aerophila. N: kern van de meest naar achteren gelegen stichocyt. De driehoek geeft de vulva aan, E de eitejs, I geeft het spijsverteringskanaal aan, S een uitscheidingscel. maatstreep = 50 µm -
Volwassen rondworm met stichosoom van Capillaria philippinensis -
Stichosoom met stichocyten van Capillaria philippinensis -
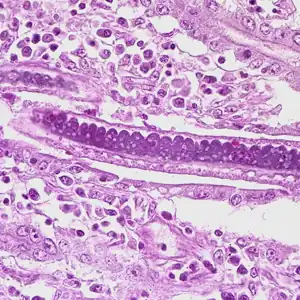
Stichocyte (zwarte pijl) en bacillaire banden (blauwe pijlen) van Capillaria hepatica
- ↑ Chitwood, B. G. & Chitwood, M. B. (1950). Introduction to Nematology (Vol. 1). Baltimore: Monumental Printing Co.DOI:10.5962/bhl.title.7355
- ↑ Peter J. Gosling. Dictionary of Parasitology. 2005
- ↑ Heinz Mehlhorn. Encyclopedia of Parasitology. 3rd Edition 2008
- ↑ Larry Roberts, John Janovy. Foundations of Parasitology. 8th edition 2008
- ↑ Michael Hutchins, Donna Olendorf. Grzimek's Animal Life Encyclopedia: Lower metazoans and lesser deuterosomes. 2004
- ↑ Despommier DD, Müller M. The stichosome and its secretion granules in the mature muscle larva of Trichinella spiralis. Journal of Parasitology, 1976 Oct;62(5):775-85. PMID 978367
- ↑ HG Sheffield. Electron microscopy of the bacillary band and stichosome of Trichuris muris and T. vulpis. Journal of Parasitology, 1963
- Dit artikel of een eerdere versie ervan is een (gedeeltelijke) vertaling van het artikel Stichosome op de Engelstalige Wikipedia, dat onder de licentie Creative Commons Naamsvermelding/Gelijk delen valt. Zie de bewerkingsgeschiedenis aldaar.