Capillaria hepatica
| Capillaria hepatica | |||||||||||||||
|---|---|---|---|---|---|---|---|---|---|---|---|---|---|---|---|
| |||||||||||||||
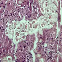
| Fig. 1 — Rijpe eieren (levend) x 160. Fig. 2 — Hetzelfde afdekglas dat naar beneden is gedrukt om de l1-larven uit de eicel te drukken. Fig. 3 - Een rijp ei (levend) x 650. Fig. 7 - Is een foto van een deel van de zieke lever die is gehard in Muller's vloeistof, gekleurd met haematoxyline en opgesloten in Canadabalsem; het was opgenomen door een Zeiss apochromatisch objectief 2,0 mm. 1,40 diafragma. en het nr. 2: projectie-oogstuk op een isochromatische plaat van Ilford, x 270. | |||||||||||||||
| Taxonomische indeling | |||||||||||||||
| |||||||||||||||
| Soort | |||||||||||||||
| Capillaria hepatica Bancroft, 1893 | |||||||||||||||
| Afbeeldingen op | |||||||||||||||
| |||||||||||||||
Capillaria hepatica (synoniemen: Calodium hepaticum, Trichocephalus hepaticus, Trichosoma hepaticum) is een parasitaire rondworm, die tot het geslacht Capillaria (synoniem: Eucoleus) behoort. De soort heeft een kosmopolitische verspreiding.
Hepatische capillariasis
De rondworm veroorzaakt hepatische capillariasis bij mensen, doordat de rondwormen in de lever gaan zitten, waarbij levercellen verloren gaan en dus functieverlies van de lever optreedt.[1] Als de rondworm in het leverparenchym begint af te sterven veroorzaakt dat een versnelde reactie van het immuunsysteem.[2] Deze reactie leidt tot chronische ontsteking en inkapseling van de dode rondwormen in de collageenvezels en uiteindelijk fibrose (abnormale bindweefselgroei) en cirrose van de lever.[3] Door het afsterven van de rondwormen blijven de eieren in de lever achter en kunnen ze worden ingekapseld door granulomateus weefsel, waarbij grote delen van het leverparenchym worden vervangen door eimassa's van de rondwormen.[4] Capillaria hepatica kan ook hepatomegalie veroorzaken. Infecties van Capillaria hepatica kunnen verschillende klinische symptomen vertonen, waaronder pijn in de omgeving van de lever, gewichtsverlies, verminderde eetlust, koorts en koude rillingen, hepatitis (leverontsteking), ascites (overtollig vocht in de peritoneale holte) en cholelithiasis (galstenen in de galwegen).[4]
Capillaria hepatica kan dodelijk zijn voor de mens, omdat de overdracht en overleving van de rondworm afhankelijk zijn van de dood van de gastheer.
Diagnose en behandeling
Infectie met deze parasiet kan worden vastgesteld door het nemen van een stukje weefsel door biopsie of autopsie met daarin al of niet de aanwezigheid van eieren.[5] Bij autopsie kunnen de ingekapselde eieren en volwassen rondwormen zichtbaar zijn als witte knobbeltjes met een diameter van 2-3 mm aan het leveroppervlak en in de lever.[6] Belangrijke identificatiekenmerken van deze parasiet zijn een gestreepte buitenwand en ondiepe polaire uitsteeksels van het ei en een versmalling van het voorste uiteinde en een geleidelijke verdikking van het achterste uiteinde van de volwassen rondworm. De aanwezigheid van Capillaria hepatica-eieren in de menselijke ontlasting is niet het gevolg van infectie, maar van het eten van de levers van geïnfecteerde dieren. De eieren worden zonder schade aan te richten met de ontlasting uitgescheiden. De meeste besmettingsgevallen zijn pas vastgesteld na het overlijden, omdat klinische symptomen op die van talrijke andere leveraandoeningen lijken.[5]
Succesvolle behandeling van menselijke gevallen met thiabendazool[7] of albendazol (met of zonder corticosteroïden)[8] is gemeld. Albendazol moet met het voedsel worden ingenomen, omdat een vette maaltijd de biobeschikbaarheid van het geneesmiddel verhoogt.[5]
Beschrijving rondworm
Volwassen rondwormen hebben een smal voorste gedeelte en een geleidelijk dikker wordend achterste gedeelte.[9] De volwassen vrouwtjes zijn 53–78 mm lang en 0,11-0,20 mm breed en de volwassen mannetjes zijn 24-37 mm lang en 0,07–0,10 mm breed.[9] De volwassen rondwormen worden zelden gevonden, omdat ze in het parenchym van de lever blijven.[10] De volwassen vrouwtjes leggen eieren die 48-70 μm lang en 28-36 μm breed zijn.[9] De buitenwand van de eieren is gestreept met ondiepe polaire uitsteeksels aan beide uiteinden. In de buitenwand zitten talloze kleine poriën.[11] De L1-larven zijn 156 μm lang en 7 μm dik.[12]
-
stichocyte (zwarte pijl) en bacillaire banden (blauwe pijlen) -
darm (blauwe pijl) en bacillaire banden (zwarte pijlen) -
darm (blauwe pijl) en gespiraliseerde delen van de testikel (zwarte pijlen) -
Eieren -
Eieren gevonden in het lijk van een adolescent uit de late Romeinse periode in Frankrijk. Schaalstreep is 50 μm.
Levenscyclus

Capillaria hepatica heeft een zogenaamde directe levenscyclus waarvoor slechts één gastheer nodig is. Volwassen rondwormen dringen in de lever van de gastheer (meestal knaagdieren, maar het kunnen ook varkens, carnivoren en primaten zijn, inclusief mensen), en leggen honderden eieren in het omliggende parenchym (1). De eieren komen niet in de ontlasting van de gastheer, maar blijven in de lever totdat de gastheer sterft en ontbindt (2) of het wordt opgegeten door een roofdier of aaseter (3). Eieren die door een dergelijk dier worden opgegeten, hebben nog geen L1-larve, zijn niet besmettelijk en worden via de ontlasting doorgegeven, waardoor er een efficiënt mechanisme is om eieren in het milieu te brengen (4). Kannibalisme is gemeld als een belangrijke rol bij de overdracht onder knaagdierpopulaties. In de eieren in het milieu worden de L1-larven gevormd. (5) Waar ze lucht en vochtige grond nodig hebben om infectieus te worden. Onder optimale omstandigheden duurt dit ongeveer 30 dagen. De cyclus gaat verder wanneer de eieren met de L1-larve worden opgegeten door een geschikte zoogdiergastheer. (6). Als deze infectieuze eieren in de darm komen, kruipt de larve uit het ei. De larven gaan via de leverpoortader naar de lever. De L1-larven hebben ongeveer vier weken nodig om volwassen te worden en te paren. Mensen worden meestal geïnfecteerd na inname van eieren met de L1-larven door met fecaliën besmet voedsel, water of de bodem. (7). Af en toe gaan bij mensen de larven naar de longen, nieren of andere organen. De aanwezigheid van Capillaria hepatica-eieren in menselijke ontlasting tijdens routinematig onderzoek naar eieren en parasieten duidt op passage van de binnen gekregen eieren, maar niet op een echte infectie.[13]
Voorkomen
Calodium hepaticum komt bij vele soorten knaagdieren (bijv. van de geslachten Apodemus, Arvicanthis, Arvicola, Spermophilus, Cricetulus, Microtus, Ondatra en Rattus), de Lagomorpha (Lepus en Oryctolagus) voor, maar ze komen ook als parasiet voor bij een grote verscheidenheid aan wilde of gedomesticeerde zoogdieren (Felis, Canis) en primaten, inclusief de mens.[14]
In de Filipijnen werd bij wilde ratten een besmetting van 100% gerapporteerd.[15] In Australië is de soort bekend bij de drie knaagdierensoorten Mus domesticus, Rattus rattus en Rattus norvegicus.[16] Bij mensen komt deze rondworm zeer zeldzaam voor. Er zijn ongeveer 40 gevallen gerapporteerd door zoönotische overdracht,[17] via inname van eieren met L1-larven aanwezig in uitwerpselen van knaagdieren en besmet voedsel, water of bodem,[5] of soms door consumptie van een geïnfecteerde lever van deze dieren,[18] maar meer in het algemeen door inname van eieren met L1-larven uit het milieu. Een studie gepubliceerd in 2005 en uitgevoerd in het kanton Genève, in Zwitserland, geeft aan dat de besmetting met Calodium hepaticum 7% was (20% bij een uitbraak) bij Apodemus flavicollis, 5,2% (19% bij een uitbraak) bij Myodes glareolus en 0,2% (4% bij een uitbraak) bij Arvicola scherman.[19]
Paleoparasitologie
De eerste paleoparasitologische waarneming van menselijke hepatische capillariasis werd gepubliceerd in 2014.[20] Twee verkalkte objecten gevonden in een 3e tot 4e-eeuws graf van een adolescent in Amiëns (Noord Frankrijk) werden geïdentificeerd als vermoedelijke hydatide cysten. Door het gebruik van dunne petrografische technieken werden in de wand van de cysten de vermoedelijke Capillaria hepatica-eieren geïdentificeerd. De auteurs beweerden dat hepatische capillariasis kon worden verwacht gezien het slechte niveau van de milieuhygiëne in deze periode. Identificatie van in het weefsel voorkomende parasieten zoals Capillaria hepatica in archeologische overblijfselen is vooral afhankelijk van de bewaaromstandigheden en tafonomische veranderingen en moet met voorzichtigheid worden geïnterpreteerd vanwege morfologische overeenkomsten met de eieren van Trichuris-soorten.
Onderzoek
De selectieve leverschade door Capillaria hepatica bij knaagdieren is gebruikt in modelsystemen om de uitgebreide regeneratiemogelijkheden van de lever van zoogdieren te bestuderen[21] en voor het testen van medicijnen tegen fibrose..[22]
In Australië hebben verschillende biologische bestrijdingen met Capillaria hepatica-eieren de snelgroeiende populaties van muizen niet kunnen voorkomen.[23]
- ↑ Roberts, Larry S (2009). Foundations of Parasitology. McGraw Hill Higher Education.
- ↑ Kim, Dong-Kwan, Joo, Kyoung-Hwan, Chung, Myung-Sook (2007). Changes of cytokine mRNA expression and IgG responses in rats infected with Capillaria hepatica. The Korean Journal of Parasitology 45 (2): 95–102. PMID 17570971. PMC 2526303. DOI: 10.3347/kjp.2007.45.2.95.
- ↑ Gomes, Ana Thereza, Cunha, Liliane Monteiro, Bastos, Carla Guimarães, Medrado, Bruno Frederico, Assis, Bárbara C. A. (2006). Capillaria hepatica in rats: focal parasitic hepatic lesions and septal fibrosis run independent courses. Memórias do Instituto Oswaldo Cruz 101 (8): 895–8. PMID 17293985. DOI: 10.1590/S0074-02762006000800012.
- ↑ a b Ferreira, Luiz Alves, Zilton A. Andrade (1993). Capillaria hepatica: a cause of septal fibrosis of the liver. Mem. Inst. Oswaldo Cruz 88 (3): 441–7. PMID 8107607. DOI: 10.1590/S0074-02761993000300015.
- ↑ a b c d Parasites and Health: Capillariasis. Center for Disease Control. Gearchiveerd op 18 oktober 2011. Geraadpleegd op 14 september 2011.
- ↑ Jeong, Won-Il, Do, Sun-Hee, Hong, Il-Hwa, Ji, Ae-Ri, Park, Jin-Kyu (2008). Macrophages, myofibroblasts and mast cells in a rat liver infected with Capillaria hepatica. Journal of Veterinary Science 9 (2): 211–3. PMID 18487945. PMC 2839101. DOI: 10.4142/jvs.2008.9.2.211. Gearchiveerd van origineel op 28 juli 2011. Geraadpleegd op 19 september 2019.
- ↑ Klenzak, Jennifer, Mattia, Anthony, Valenti, August, Goldberg, John (2005). Hepatic capillariasis in Maine presenting as a hepatic mass (Free full text). The American Journal of Tropical Medicine and Hygiene 72 (5): 651–3. PMID 15891145. DOI: 10.4269/ajtmh.2005.72.651.
- ↑ Sawamura, Regina, Fernandes, Maria Inez Machado, Peres, Luiz Cesar, Galvão, Lívia Carvalho, Goldani, Helena Ayako Sueno (1999). Hepatic capillariasis in children: report of 3 cases in Brazil (Free full text). The American Journal of Tropical Medicine and Hygiene 61 (4): 642–7. PMID 10548302. DOI: 10.4269/ajtmh.1999.61.642.
- ↑ a b c Li, Chao-Ding, Yang, Hui-Lin, Wang, Ying (2010). Capillaria hepaticain China. World Journal of Gastroenterology 16 (6): 698–702. ISSN: 1007-9327. PMID 20135717. PMC 2817057. DOI: 10.3748/wjg.v16.i6.698.
- ↑ Klenzak, Jennifer, Anthony Mattia, August Valenti (2005). Hepatic Capillariasis in Maine presenting as a Hepatic mass. The American Journal of Tropical Medicine and Hygiene 72 (5): 651–653. DOI: 10.4269/ajtmh.2005.72.651.
- ↑ Rasterelektronenmicroscopische afbeelding ei
- ↑ Thomas L. Bancroft, On the whip-worm of the Rats liver, Journal and Proceedings of the Royal Society of New South Wales, vol. 27, 1893
- ↑ CDC Biology - Life Cycle of Capillaria hepatica (gearchiveerd)
- ↑ Moravec, 2001, p=71
- ↑ 2005, F. G. Claveria, J. Causapin, M. A. De Guzman, M. G. Toledo, C. Salibay, Parasite biodiversity in Rattus spp caught in wet markets, 36, suppl. 4, 146-148, The Southeast Asian journal of tropical medicine and public health, [1]
- ↑ Singleton, G.R., Spratt, D.M., Barker, S.C., Hodgson, P.F., The geographic distribution and host range of Capillaria hepatica (Bancroft) (Nematoda) in Australia, International Journal for Parasitology, 21, 8, 1991, 945-957, issn=0020-7519, doi=10.1016/0020-7519(91)90171-3
- ↑ Roberts, Larry S, Foundations of Parasitology, 2009, McGraw Hill Higher Education
- ↑ Hepatology, Textbook and Atlas, Erwin, Kuntz, Hans-Dieter, Kuntz, Springer Science & Business Media, 3, 2009, 937 pages, isbn=9783540768395, 506 [2]
- ↑ 2005, Reperant, Leslie A., Deplazes, Peter, Cluster of Capillaria hepatica infections in non-commensal rodents from the canton of Geneva, Switzerland, 96, 5, 340-342, doi=10.1007/s00436-005-1358-y, Parasitology research
- ↑ Mowlavi, G., Kacki, S., Dupouy-Camet, J., Mobedi, I., Makki, M. (2014). Probable hepatic capillariosis and hydatidosis in an adolescent from the late Roman period buried in Amiens (France).. Parasite 21: 9. PMID 24572211. PMC 3936287. DOI: 10.1051/parasite/2014010.
- ↑ Santos, CC, Onofre-Nunes, Z, Andrade, ZA (2007). Role of partial hepatectomy on Capillaria hepatica-induced hepatic fibrosis in rats. Revista da Sociedade Brasileira de Medicina Tropical 40 (5): 495–8. PMID 17992401. DOI: 10.1590/S0037-86822007000500001.
- ↑ de Souza, MM, Silva, LM, Barbosa AA, Jr, de Oliveira, IR, Paraná, R (2000). Hepatic capillariasis in rats: a new model for testing antifibrotic drugs. Brazilian Journal of Medical and Biological Research 33 (11): 1329–34. PMID 11050664. DOI: 10.1590/S0100-879X2000001100011.
- ↑ Singleton, GR, Chambers, LK (1996). A manipulative field experiment to examine the effect of Capillaria hepatica (Nematoda) on wild mouse populations in southern Australia. International Journal for Parasitology 26 (4): 383–98. PMID 8773526. DOI: 10.1016/0020-7519(96)00001-X.
