Trichocephalida
| Trichocephalida | |||||||||||
|---|---|---|---|---|---|---|---|---|---|---|---|
| |||||||||||
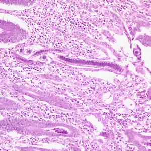
| Volwassen rondworm met stichosoom van Capillaria philippinensis | |||||||||||
| Taxonomische indeling | |||||||||||
| |||||||||||
| Orde | |||||||||||
| Trichocephalida | |||||||||||
| Trichocephalida op | |||||||||||
| |||||||||||
Trichocephalida vormt een orde binnen de rondwormen. Binnen deze orde zijn een aantal rondwormen die voorkomen als ziekteverwekkende endoparasiet bij zoogdieren. De rondwormen uit deze orde hebben als gezamenlijk kenmerk dat ze in minstens één fase van hun levenscyclus volledig ingekapseld binnen lichaamscellen of (spier-)weefsel van hun gastheer verblijven.
Onder andere de zweepworm (Trichuris trichiura) die trichuriasis veroorzaakt behoort tot deze orde.
Ook de rondworm Trichinella spiralis behoort tot deze orde. Deze worm veroorzaakt trichinose. Vroeger kwam deze worm in Nederland voor bij landbouwhuisdieren zoals het varken.
Taxonomie
Over de plaatsing van deze orde binnen de systematiek van de rondwormen is geen consensus. De indeling hieronder is gebaseerd op de Catalogue of Life.[1]
Indeling
Orde Trichocephalida
- Familie Cystoopsidae
- Familie Robertdollfusidae
- Familie Trichinellidae
- Geslacht Trichinella
- Geslacht Trichosomoides
- Geslacht Trichuris
- Familie Trichuridae
- Geslacht Capillaria
