Spermatide

Spermatogenese naarmate de cellen zich ontwikkelen van spermatogonium, naar primaire spermatocyten, naar secundaire spermatocyten, naar spermatiden en naar zaadcel.
Spermatogenese. Lumen: adluminale compartiment
Spermatide-vorming. Axoneme: Axoneem
Vervanging van de histonen

De spermatide is de eerste haploïde mannelijke cel, die ontstaat door deling van de secundaire spermatocyt en die plaatsvindt na de meiose II. Ze is kleiner dan de spermatocyt. Als gevolg van de meiose bevat elke spermatide slechts de helft van het genetische materiaal dat aanwezig was in de oorspronkelijke primaire spermatocyt. Deze cel ligt vlak bij het lumen van het zaadbuisje.

Spermatiden zijn verbonden door cytoplasma en hebben veel cytoplasma met veel mitochondriën rond hun celkernen.

Na de vorming moeten vroege ronde spermatiden met een ronde celkern verdere rijpingsprocessen ondergaan om zich te ontwikkelen tot spermatozoa (zaadcellen), een proces dat spermiogenese wordt genoemd.

Vorming

De spermatiden worden draadvormig, ontwikkelen een verdikt middenstuk waar de mitochondriën zich lokaliseren en vormen een acrosoom. Het acrosoom is het kopstuk van de toekomstige zaadcel. Het wordt gevormd uit het golgicomplex van de spermatide. Het acrosoom bevat het enzym acrosine (een serineprotease), dat belangrijk is bij de bevruchting. Acrosine veroorzaakt proteolyse van de op glycoproteïnen gebaseerde zona pellucida van de eicel. Er wordt een flagelstructuur met twee centriolen gevormd.[1]

Ook het spermatiden-DNA wordt inpakt en wordt sterk samengetrokken tot ongeveer een tiende van zijn oorspronkelijke volume. Het DNA wordt eerst verpakt met specifieke nucleaire basische eiwitten, die vervolgens tijdens de verlenging van de spermatiden worden vervangen door protamines. Het resulterende dicht opeengepakte chromatine is transcriptioneel inactief. De oorspronkelijk ronde celkern wordt peddelvormig.

Zodra de celkern, het acrosoom en de flagelstructuur gevormd zijn, worden de spermatiden losgelaten uit het kiemepitheel. In dit stadium worden ze zaadcel of spermatozoa genoemd. Restanten van het spermatidecytoplasma blijven achter in het kiemepitheel. De sertolicellen breken deze residuen af, die bekend staan als restlichamen.[1]

Spermatiden blijven met elkaar verbonden via cytoplasmatische bruggen. Deze bruggen zijn het resultaat van onvolledige cytokinese en maken de uitwisseling van materiaal voor synchrone rijping mogelijk.[2]

Tijdens de hermodellering van het haploïde genoom van spermatiden wordt het merendeel van de histonen vervangen door protamines en wordt het DNA samengetrokken. Tijdens deze samentrekking worden tijdelijke enkel- en dubbelstrengsbreuken in het zaadcel-DNA geïntroduceerd.[3] De conventionele non-homologous end joining voor het herstellen van dubbelstrengsbreuken is niet beschikbaar voor de langwerpige spermatiden. Spermatiden kunnen echter een beperkte reparatie uitvoeren van exogene en geprogrammeerde dubbelstrengsbreuken met behulp van een alternatieve, foutgevoelige, niet-homoloog eindverbindingsherstelroute.[4] Als DNA-strengbreuken in volwassen zaadcellen blijven bestaan, kan het resultaat een verhoogde DNA-fragmentatie zijn, wat geassocieerd wordt met verminderde vruchtbaarheid en een vaker voorkomen van miskramen.[5]

Bloed-testisbarrière

De sertolicellen zijn ook verantwoordelijk voor het in stand houden van de bloed-testisbarrière. Er is namelijk een groot verschil in samenstelling van het bloed en dat van de vloeistof in de zaadkanaaltjes. De laag cellen van Sertoli, de onderlinge zonula occludensbarrière in het bijzonder, zorgt ervoor dat dit verschil in stand wordt gehouden. Het doel hiervan is om eventuele toxische stoffen en cellen betrokken bij de immunologische afweer bij de zaadcellen in de latere stadia van hun ontwikkeling vandaan te houden en eventuele beschadigingen voorkomen.

DNA-reparatie

Naarmate postmeiotische kiemcellen zich ontwikkelen tot volwassen zaadcellen, verliezen ze geleidelijk het vermogen om DNA-schade te herstellen die zich vervolgens kan ophopen en kan worden overgedragen op de zygote en uiteindelijk het embryo.[6] Met name het herstel van dubbelstrengs DNA-breuken via de non-homologous end joining lijkt, hoewel aanwezig in ronde spermatiden, verloren te gaan naarmate ze zich ontwikkelen tot langwerpige spermatiden.[4]

Kunstmatige spermatiden

In 2016 claimden wetenschappers van de Nanjing Medical University dat ze uit stamcellen kunstmatig muizenspermatiden hadden gemaakt. Ze injecteerden deze spermatiden in muizeneieren en produceerden jongen.[7] Ook wetenschappers in Duitsland en Groot-Brittanië waren er in geslaagd via deze weg muizen te produceren.[8]

Afbeeldingen

Kiemepitheel van de teelbal.
1. basaal membraan
2. spermatogonia
3. primaire (1e orde) spermatocyt
4. secundaire (2e orde) spermatocyt
5. ontwikkeling van spermatide
6. rijpe spermatide
7. Sertolicel
8. zonula occludens (bloed-testisbarrière)
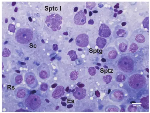
Spermatogenese en sertolicellen bij de kat SC, sertolicel; Sptg, spermatogonium; Sptc I, primaire spermatocyt; Rs, ronde spermatide; Es, langwerpige spermatide; Sptz, spermatozoon (zaadcel)
Schema van een menselijke zaadcel met het acrosoom

Afbeeldingen vorming van spermatide tot zaadcel (stapsgewijs) bij Galeolaria gemineoa

Stap 1: Het golgicomplex (GC) bevindt zich dicht bij de celkern. Een paar centriolen (C) bevindt zich naast zowel het golgicomplex als het kernmembraan. Bolvormige mitochondriën (M) bevinden zich in clusters in het cytoplasma. (B) Talrijke kleine membraangebonden blaasjes (V) en multivesiculaire lichaampjes (MB) bevinden zich aan het concave oppervlak van het golgicomplex (GC). Centriolen (C) bevinden zich eveneens naast het golgicomplex. Het ruw endoplasmatisch reticulum (RER) is willekeurig verdeeld in het cytoplasma. (C) Bundels microtubuli (Mt) omringen de celkern (N) en vormen een cirkelvormig manchet. M: mitochondriën.
(A) Stap 2 spermatiden zijn ovaal met een bolvormige tot ovale kern (N) met een excentrische nucleolus (Nu) en kleine klontjes chromatine. In de periferie van de kern wordt een duidelijk golgicomplex (GC) waargenomen grenzend aan een bolvormige proacrosomale vacuole (PV) met een elektronendoorlatende matrix, die ontstaat door de fusie van kleine membraangebonden blaasjes. Continue profielen van ruw endoplasmatisch reticulum (RER) lopen rond de kern. Bolvormige mitochondriën (M) zijn willekeurig verspreid door het cytoplasma. (B) De twee centriolen blijven in de buurt van het golgicomplex (GC), maar raken relatief ver van de celkern verwijderd. Terwijl het distale centriool (DC) het celmamembraan nadert, oriënteert het proximale centriool (PC) parallel aan eerstgenoemde en is relatief ver van het celmembraan verwijderd.
Stap 3: (A) Vergelijkbaar met hun directe voorlopers blijven de spermatiden ovaal met een bolvormige tot ovale celkern (N) die staafvormige chromatineblokken bevat. Dikke plekken chromatine hechten zich ook aan het binnenste kernmembraan. Naast het golgicomplex (GC) wordt een bolvormige proacrosomale vacuole (PV) waargenomen die een plek elektronendicht materiaal bevat. Een deel van de mitochondriën (M) transformeert in staafvormige organellen in de spermatiden. (B) Zowel de proximale (PC) als de distale centriolen (DC) blijven in de nabijheid van het golgicomplex (GC) en beginnen zich loodrecht op elkaar te oriënteren. Het ruw endoplasmatisch reticulum (RER) bevindt zich rond de celkern (N). M, mitochondriën. (C) De spermatiden zijn in paren en met elkaar verbonden door een cytoplasmatische brug (CB). Mitochondriën (M) zijn geclusterd in het cytoplasma nabij de cytoplasmatische brug. N, celkern.
Stap 4: (A) Chromatineblokken in de celkern (N) blijven staafvormig, maar worden schaarser dan in voorgaande stappen, wat aangeeft dat chromosoomdecondensatie in dit stadium begint. Mitochondriën (M) en ruw endoplasmatisch reticulum (RER) zijn willekeurig verdeeld over het cytoplasma. (B) De proacrosomale vacuole transformeert tot een proacrosoom (P), waarbij de matrix grotendeels wordt bezet door elektronendicht materiaal. N, celkern. (C) Het distale centriool (DC) naast het golgicomplex (GC) vormt een zweepstaartje (F) dat uit de spermatide steekt. N, celkern; RER, ruw endoplasmatisch reticulum.
Stap 5: (A) Naarmate de nucleaire grootte (N) van de spermatiden afneemt, aggregeren de gedecondenseerde chromosomen tot een retiform patroon. Grote bolvormige mitochondriën (M) worden waargenomen die zich aan één uiteinde van de spermatiden verzamelen. RER: ruw endoplasmatisch reticulum. (B) In het proacrosoom (P) van de spermatiden vormt zich een ringvormige structuur (R) rond de bol (S) in het centrum. M: mitochondriën; N: celkern. (C) De spermatiden blijven met elkaar verbonden door een cytoplasmatische brug (CB). Rondom de celkern bevindt zich ruw endoplasmatisch reticulum (RER).
Stap 6: (A) Een implantatiegroeve (*), een ondiepe verdieping, vormt zich aan het achterste uiteinde van de celkern (N). Het proximale centriool (PC) zit dicht bij de implantatiegroeve, terwijl het distale centriool vast blijft zitten aan het celmembraan. Grote bolvormige mitochondriën (M) migreren naar de pool waar de centriolen zitten. (B) Dwarsdoorsnede stukje proacrosoom, met fragmenten van zowel de ringvormige structuur (R) als de centrale bol (S). De proacrosomale matrix wordt bezet door grove korrels. Een deel van het proacrosoom hecht zich aan het celmembraan. Grote bolvormige mitochondriën zitten naast het proacrosoom. N, celkern. (C) Terwijl het proximale centriool (PC) zich in de implantatiegroeve nestelt, strekt de zweepstaart (F) zich uit vanaf het distale centriool en wordt langer.
Stap 7: (A) Het chromatine in de celkern vertoont een grove korrelvorm en aggregeert tot een groot onregelmatig gevormd blok. Het chromatineblok hecht zich aan het achterste uiteinde van de celkern (N), waar zich een implantatiegroeve (*, witte asterisk) heeft gevormd. Het proximale centriool (PC) blijft dicht bij de groeve en oriënteert loodrecht op het distale centriool (DC). De grote bolvormige mitochondriën (M) worden omgeven door de centriolen en beginnen de mitochondriale mantel aan de basis van de zweepstaart te vormen. (B) Het acrosoom (A) transformeert in een omgekeerde komvorm met het voorste deel stevig aan het celmembraan gehecht. In de acrosomale matrix hechten zowel de centrale bol (S) als de ringvormige structuur (R) zich aan het binnenste achterste membraan van het acrosoom. Het acrosoom ligt naast grote bolvormige mitochondriën (M), die uiteindelijk de mitochondriale omhulling van de zweepstaart vormen. (C) Waar de mitochondriën (M) het celkernmembraan (N) naderen, buigt het celkernmembraan naar binnen en vormt holtes (*, zwarte sterretjes).
Stap 8: (A) Spermatiden zijn nog met elkaar verbonden door een cytoplasmatische brug (CB). De celkern (N) blijft bolvormig, terwijl het chromatineblok transformeert naar een ovale vorm met een zeer gecondenseerd homogeen uiterlijk. Het proximale centriool (PC) strekt zijn microtubuli uit in de implantatiegroeve (*) en oriënteert loodrecht op de zweepstaart (F) die ontspringt uit het distale centriool (DC). Het zich ontwikkelende acrosoom (A) blijft grenzend aan de zweepstaart. (B) De centrale bol hecht zich stevig aan het achterste membraan van het acrosoom (A) en transformeert in een halve bol (Hs). De ringachtige structuur (R), met donkere deeltjes die de binnengrens bekleden, komt ook in direct contact met het acrosomale membraan aan beide zijden. De acrosomale matrix is gevuld met dicht opeengepakte grove korrels. M, mitochondriën; N, celkern. (C) Naarmate de morfogenese van het acrosoom vordert, neemt het volume van de centrale halve bol (Hs) toe en stijgt deze op naar het voorste membraan, wat resulteert in de vorming van een inkeping aan het achterste uiteinde van het acrosoom. N, celkern; R, ringvormige structuur.
Stap 9: A) De spermatiden zijn nog steeds in paren en met elkaar verbonden door een cytoplasmatische brug (CB). De centrale halve bol (Hs) in het acrosoom beslaat de gehele acrosomale matrix en is aan beide zijden verbonden met de ringvormige structuur (R). Het gehele acrosoom vertoont een identieke elektronendichtheid, met uitzondering van de donkere deeltjes die de binnenrand van de ringstructuur bekleden. Meerdere onregelmatig gevormde restlichaampjes (RB) met overtollig cytoplasma verschijnen. M, mitochondriën; N, celkern. (B) Het acrosoom (A) begint te migreren naar het voorste uiteinde van het cytoplasma, dat tegenover de pool ligt waar de zweepstaart (F) en mitochondriën (M) zich bevinden. De mitochondriën blijven stevig vastzitten aan de holtes aan het achterste uiteinde van de celkern (N).
Stap 10: (A) De ovale kern (N) wordt ingenomen door volledig gecondenseerd homogeen granulair chromatine. Het acrosoom (A) bereikt de voorste apex van het cytoplasma, tegenover de pool waar de mitochondriën (M) en zweepostaart zich bevinden. Naarmate de donkere deeltjes zich door de ringachtige structuur verspreiden, lijkt de ring donkerder dan de centrale halve bol. (B) Vroege stap 10 spermatiden blijven in paren en zijn onderling verbonden door een cytoplasmatische brug (CB). Het cytoplasma bevat clusters van onregelmatig gevormde blaasjes, wat wijst op de continue vorming en uitstoting van restlichaampjes. De vorming van de mitochondriale omhulling wordt voltooid, met vier bolvormige mitochondriën (M) rondom het proximale centriool (PC). *, implantatiegroeve. (C) In late stap 10 spermatiden worden talrijke clusters van onregelmatig gevormde blaasjes gevonden in en grenzend aan het cytoplasma, wat suggereert dat de afvoer van restlichaampjes (RB) in dit stadium dramatisch plaatsvindt. Door de verwijdering van overtollig cytoplasma valt de cytoplasmatische brug die de spermatiden verbindt uiteen, wat resulteert in de vorming van twee onafhankelijke zaadcellen: A, acrosoom; M, mitochondriën; N, celkern.
Zaadcel: (A) Zaadcellen bestaan uit een kapvormig acrosoom (A), een ovale celkern (N), een kort middenstuk met vier bolvormige mitochondriën (M) en een langwerpige zweepstaart (F). Tussen het acrosoom en de celkern vormt zich een subacrosomale ruimte (*, zwarte asterisk), die gelijkmatig verdeeld elektronendicht fibrillair subacrosomaal materiaal bevat. Het proximale centriool (PC) is ingevoegd in de implantatiegroeve (*, witte asterisk) die aan het achterste uiteinde van de celkern is gevormd. De vier mitochondriën nestelen zich in concave holtes aan de achterste celkernrand en omringen de basis van de zweepstaart, waar de annulus (An) wordt gevormd. (B) Een dwarsdoorsnede door de ringstructuur aan de basis van het acrosoom toont de fibrillaire inhoud van de subacrosomale ruimte (*, zwarte asterisk). (C) Een dwarsdoorsnede van het middenstuk toont vier bolvormige mitochondriën (M) die de basis van de zweepstaart omringen. Distaal centriool (DC).

Zie ook

Zie de categorie Spermatids van Wikimedia Commons voor mediabestanden over dit onderwerp.