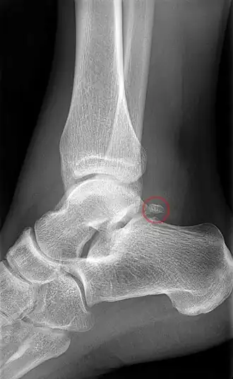
Os trigonum


Het os trigonum,[1] os intermedium tarsi,[1] os tali accessorium of os tali secundarium is een accessoir voetwortelbeentje dat zeer regelmatig als extra ossificatiepunt ontstaat gedurende de embryonale ontwikkeling.
Ligging en anatomische relatie
Als het botje bij iemand voorkomt, is het gelegen aan de laterale tuberkel van de processus posterior van het sprongbeen.[2],[3] Het botje werd voor het eerst beschreven door de Duitse anatoom en chirurg Johann Christian Rosenmüller (1777-1820) in 1804.[4],[5] Het os trigonum is vaak gefuseerd of vormt een gewrichtsverbinding met het sprongbeen of het hielbeen.[2]
Prevalentie
De frequentie van het os trigonum bij gezonde individuen varieert van 2,5 tot 11,4%,[2] alhoewel de spreiding ook wordt geschat tussen 1 en 25%.[3] In een radiologische studie onder 3460 individuen bedroeg de prevalentie 12,7%.[6] Een Turkse studie onder mannen gaf een prevalentie van 4,3%.[7] In een andere studie werd het os trigonum in een selectie van skeletten uit het begin van de 20e eeuw bij 1,7% van de gevallen gevonden. Bij 513 sprongbeenderen van oorspronkelijke bewoners van Amerika en van Eskimo's werd het botje in zijn geheel niet gezien.[8] Ondanks deze uiteenlopende cijfers wordt het os trigonum na het os tibiale externum beschouwd als het vaakst voorkomende accessoire voetwortelbeentje.
Klinische relevantie
Het os trigonum is vaak een incidentele bevinding bij radiologisch onderzoek.[3] Op röntgenfoto's wordt het soms onterecht aangemerkt als afwijkend, losliggend botdeel of als fractuur.[9] Met name verwarring met een Shepherd-fractuur, een zeldzame fractuur van de laterale tuberkel van de processus posterior van het sprongbeen, komt veelvuldig voor.[2] Zelfs Shepherd maakte die vergissing.[10] In de verdere differentiaaldiagnose behoren een Cedell-fractuur (een fractuur van de mediale tuberkel van de processus posterior van de talus) en pseudartrose. Met behulp van CT en MRI kunnen ook het omliggende bot- en steunweefsel worden geëvalueerd om de klinische betekenis van het additionele botje vast te stellen.[3]
Een os trigonum geeft soms pijnklachten en zwelling. Als gevolg van geforceerde plantairflexie van de voet kan degeneratieve veranderingen van bot en omliggend kraakbeen geven of leiden tot een scheuren in het omliggend weefsel.[3] Een groot os trigonum kan leiden tot een peesontsteking of inklemming van de pees van de musculus flexor hallucis longus.[11] Dit treedt vooral op bij atleten en balletdansers.[12]
Herhaaldelijk schuren van een os trigonum langs de omliggende weefsels kan aanleiding geven tot het zogenaamde os-trigonumsyndroom, waarbij pijn en zwelling aan de posterieure zijde van de enkel aanwezig is. Deze diagnose kan worden gesteld als er sprake is van combinatie van gewrichtseffusie, oedeem in het beenmerg, een peesontsteking van de pees van de musculus flexor hallucis longus en een verhoogde opname van Technetium-99m bij botscintigrafie.[3] Ook MRI kan additionele informatie leveren.[13]
Behandeling van de klachten een os trigonum kan bestaan uit bewegingsbeperking, het aanbrengen van een gipsverband of ontstekingsremmende medicatie (bijvoorbeeld NSAID's). Lokale injectie met steroïden wordt afgeraden in verband met de nabijheid van de achillespees.[12] Bij uitblijven van enig resultaat van deze conservatieve maatregelen na een minimumperiode van drie maanden[14] kan overgegaan worden op chirurgische verwijdering van het accessoire botje, waarbij het botje zowel van mediaal als van lateraal kan worden benaderd.[15],[16],[17] Zelfs artroscopische benadering is tegenwoordig een optie.[18] Excisie van het botje geeft meestal een goed resultaat.[14]
- ↑ a b Everdingen, J.J.E. van, Eerenbeemt, A.M.M. van den (2012). Pinkhof Geneeskundig woordenboek (12de druk). Houten: Bohn Stafleu Van Loghum.
- ↑ a b c d R. O'Rahilly. A survey of carpal and tarsal anomalies. J Bone Joint Surg Am. 1953; 35: 626-642
- ↑ a b c d e f J.M. Mellado et al. Accessory ossicles and sesamoid bones of the ankle and foot: imaging findings, clinical significance and differential diagnosis. Eur Radiol. 2003; 13: L164-L177
- ↑ J. Rosenmüller. De mon nullis musculorum corpus humani varietatibus. Vol. 8, Leipzig, 1804
- ↑ E.S. Geist. Supernumerary bones of the foot - a röntgen study of the feet of one hundred normal individuals. Am J Orthop Surg. 1914; 12: 403-414
- ↑ T. Tsuruta et al. [Radiological study of the accessory skeletal elements in the foot and ankle] (vertaald vanuit het Japans). Nippon Seikeigeka Gakkai Zasshi. 1981; 55: 357-370
- ↑ F. Cilli, M. Akçaoglu. The incidence of accessory bones of the foot and their clinical significance, Aca Orthop Traumatol Turc. 2005; 39: 243-246
- ↑ R.W. Mann, D.W. Owsley. Os trigonum. Variation of a common accessory ossicle of the talus. J Am Podiatr Med Assoc. 1990; 80: 536-539
- ↑ T.E. Keats, M.W. Anderson. Atlas of normal roentgen variants that may simulate disease. 7th edition, Mosby Inc. 2001, ISBN 0323013228
- ↑ F.J. Shepherd. A hitherto undescribed fracture of the astralagus. J Anat Physiol 1883; 17: 79-81
- ↑ L.D. Lo et al. MR imaging findings of entrapment of the flexor hallucis longus tendon. Am J Roentgenol. 2001; 176: 1145-1148
- ↑ a b R. Anwar et al. Sesamoids of the foot Curr Orthop 2005; 19: 40-48
- ↑ C. Wakeley et al. The value of MR imaging in the diagnosis of the os trigonum syndrome. Skeletal Radiol. 1996; 25: 133-136
- ↑ a b Y. Ambramowitz et al. Outcome of resection of a symptomatic os trigonum. J Bone Joint Surg Am. 2003; 85-A: 1051-1057
- ↑ R. Blake et al. The os trigonum syndrome: a literature review. J Am Podiatr Med Assoc. 1992; 82: 154-161
- ↑ M. Hedrick, A. McBride. Posterior ankle impingement. Foot Ankle 1994; 15: 2-8
- ↑ T. Wredmark et al. Os trigonum syndrome: a clinical entity in ballet dancers. Foot Ankle 1991; 11: 404-406
- ↑ J.M. Marumoto, R.D. Ferkel. Arthroscopic excision of the os trigonum: a new technique with preliminary clinical results. Foot Ankle Int. 1997; 18: 777-784