Pseudartrose
Raadpleeg bij gezondheidsklachten een arts.
| Pseudartrose | ||||
|---|---|---|---|---|
| ||||
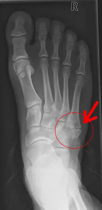
Pseudartrose aan de rechtervoet ter hoogte van het vijfde middenvoetsbeentje (basis metatarsalis V)
| ||||
| Coderingen | ||||
| ICD-10 | M84.1, M96.0 | |||
| MeSH | D011542 | |||
| ||||
Pseudartrose of pseudoartrose (Grieks: ψευδή, vals, onwaar en άρθρον, gewricht) is het verschijnsel dat optreedt wanneer een botbreuk niet vastgroeit, en er een vals gewricht ontstaat. Wanneer er na zes maanden geen sprake is van consolidatie, dat wil zeggen vastgroeiing, tussen de twee of meer delen van een fractuur, is er sprake van non union en dus van pseudartrose. Als de delen over een periode langer dan vier maanden maar korter dan zes maanden niet vastgegroeid zijn, is er sprake van vertraagde botheling of delayed union.
Pseudartrose treedt het vaakst op na breuken in de schacht van lange pijpbeenderen, in boven- en onderarm en boven- en onderbeen. Een ander berucht bot waarin veelvuldig pseudartrose optreedt, is het os scaphoideum, een van de handwortelbeentjes.
Oorzaken van het optreden van pseudartrose kunnen onder andere zijn:
- Mechanische factoren (dislocatie, interpositie van weke delen tussen de fractuurdelen)
- Te korte rust dan wel te vroege mobilisatie
- Vertraagde callusvorming
- Slechte bloedvoorziening (laag in het onderbeen bevinden zich bijvoorbeeld weinig bloedvaten)
- Infectie
- Systeemziekten, bijvoorbeeld niet goed ingestelde diabetes mellitus
Pseudartrose kan aanleiding geven tot langdurige pijn- of functionele klachten.
Bij pseudartrose kan onderscheid worden gemaakt tussen een hypertrofe en een atrofe vorm. De hypertrofe vorm laat wel callusvorming rond de breuk zien, terwijl toch sprake is van non-union. Bij deze fracturen bestaat de therapie met name uit stabiliserende maatregelen. Gipsen of de bothelften middels een plaat of schroeven vastzetten zijn dan de aangewezen therapie. De atrofe vorm van pseudartrose geeft op een röntgenfoto een beeld waarbij het natuurlijke genezingsproces duidelijk achterwege blijft, er wordt dan namelijk geen callus gevormd. Bij deze vorm van pseudartrose moet neovascularisatie op de voorgrond staan. Dit kan worden bevorderd door een spongiosaplastiek uit te voeren, met donorbot of eigen bot van de patiënt uit bijvoorbeeld de bekkenkam. Ook een schroef die enige werking in het bot vertoont (en dus niet geheel vastzit), kan callusvorming bevorderen.
