Os scaphoideum
| Scheepvormig been | ||||
|---|---|---|---|---|
| Os scaphoideum[1] | ||||
| Bot | ||||
| ||||
Handwortelbeentjes
Proximaal: A=Os scaphoideum, B=Os lunatum, C=Os triquetrum, D=Os pisiforme Distaal: E=Os trapezium, F=Os trapezoideum, G=Os capitatum, H=Os hamatum | ||||
| ||||
Detailtekening van het os scaphoideum
| ||||
| Synoniemen | ||||
| Nederlands | scafoïd[2] | |||
| Gegevens | ||||
| Gewrichten | articuleert met vijf beenderen spaakbeen proximaal os trapezoideum en os trapezium distaal os capitatum en os lunatum mediaal | |||
| Naslagwerken | ||||
| Gray's Anatomy | p.221 tekst foto | |||
| MeSH | Scaphoid+Bone | |||
| ||||
Het os scaphoideum is een van de acht handwortelbeentjes. Het is het grootste botje van de proximale rij van de handwortelbeentjes, gelegen aan de kant van het spaakbeen. Het heeft gewrichtsverbindingen met het spaakbeen, het os lunatum en het os capitatum aan mediale zijde, en het os trapezium en het os trapezoideum aan distale zijde.
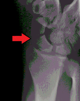
Fractuur os scaphoideum

Het os scaphoideum is moeilijk te breken. Desondanks is 60% van de breuken in handwortelbeentjes een breuk in het os scaphoideum. Het os scaphoideum is het slechtst doorbloede botje van het gehele menselijke skelet, waardoor een breuk van het botje slecht geneest. Bij een scafoïdfractuur van de hand is er vaak asdrukpijn over de duim en de wijsvinger van de aangedane hand. Bovendien is de tabatière anatomique verstreken en drukpijnlijk. Om de breuk radiologisch aan te tonen wordt vaak een zogenaamde navicularereeks geschoten, een serie röntgenfoto's van het os scaphoideum in vijf of zes verschillende projectierichtingen. Desondanks is de breuk geregeld radiologisch niet aan te tonen. Na tien tot veertien dagen gipsbehandeling wordt het klinisch en zo nodig het radiologisch onderzoek herhaald, omdat een breuk van het os scaphoideum soms na veertien dagen wel zichtbaar is op röntgenfoto's. Als behandeling wordt gedurende zes tot twaalf weken immobilisatie door middel van zogenaamd navicularegips gegeven. Dit gips reikt vanaf de elleboogsplooi tot aan de knokkels van de metacarpofalangeale gewrichten van de hand, met een verlenging tot het interfalangeale gewricht van de duim. Hiermee kan de kans op pseudartrose, een beruchte complicatie, zo klein mogelijk worden gehouden. Het gehele genezingsproces kan drie tot vier maanden in beslag nemen.


