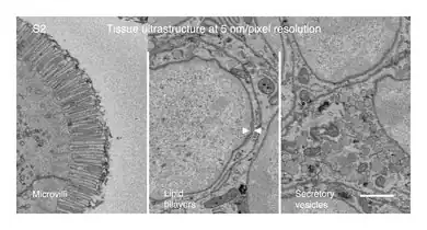
Microvillus

Microvilli (enkelvoud: microvillus, lat: villus "borstelig haar (van dieren), wol") zijn microscopische uitstulpingen van het celmembraan die het oppervlak van cellen drastisch vergroten. Microvilli zijn te vinden in de borstelzoom in de dunne darm en op trofoblasten. Door het grote oppervlak kunnen macromoleculen en ionen gemakkelijker worden geabsorbeerd.
Bundels van actinefilamenten onderhouden de vingerachtige structuur. Deze actinefilamenten zijn verankerd aan het actinecomplex van de cel via het terminale web.
Zie ook
Geplaatst op:
27-03-2009
27-03-2009
Dit artikel is een beginnetje over biologie. U wordt uitgenodigd om op bewerken te klikken om uw kennis aan dit artikel toe te voegen.