Darmvlokken
| Darmvlokken | ||||
|---|---|---|---|---|
| Villi intestinales | ||||
| ||||
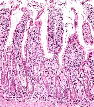
Microscopische vergroting die de darmvlokken in het dunnedarmslijmvlies laat zien met de darmvlokken en crypten van Lieberkühn.
| ||||
| ||||
Darmvlokken[1] ofwel villi intestinales[1] (enkelvoud villus intestinalis) zijn de vlokkige aanhangsels in de darmen (vooral in de dunne darm). Er zijn villi en microvilli.
Werking van de darmvlokken
De darmwand van de dunne darm is geplooid. Deze darmplooien zorgen voor een enorme oppervlaktevergroting. Op de plooien bevinden zich talrijke uitstulpingen, de darmvlokken of villi, die op hun beurt het oppervlak nog meer vergroten. Het totale contactoppervlak van de dunne darm bedraagt uiteindelijk tussen 150 en 200m². Het contact met de verterende voedselmassa is daardoor optimaal. Door middel van resorptie worden voedingsstoffen hier via de epitheelcellen, waaruit de darmwand bestaat, in het bloed opgenomen. In de villi zitten reinigende lymfevaten en haarvaten. Het met voedingsstoffen verrijkte bloed uit de darmvlokken gaat vanuit de darm-haarvaten naar de poortader, die de voedingsstoffen naar de lever vervoert. In de lever neemt de stofwisseling een aanvang.

