Jonesfractuur
Raadpleeg bij gezondheidsklachten een arts.
| Jonesfractuur | ||||
|---|---|---|---|---|
| ||||
| ||||
| Coderingen | ||||
| ICD-10 | S92.3 | |||
| eMedicine | radio/850 | |||
| ||||
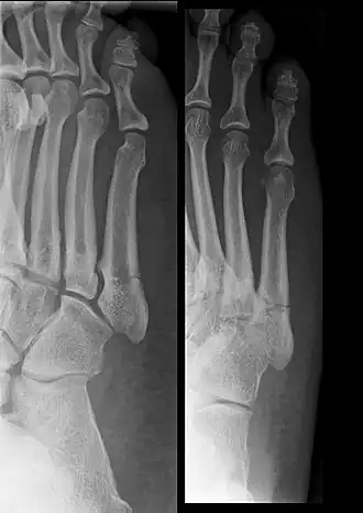
Een jonesfractuur is een botbreuk van het middenvoetsbeen van de kleine teen (het os metatarsale V). Bij een jonesfractuur is dit bot gebroken aan proximale zijde. De breuk bevindt zich dus halverwege aan de buitenkant van de voet. De patiënt heeft daar pijn en zwelling en zal moeite hebben met lopen. Maar de hinder kan soms meevallen, zodat de patiënt denkt een kneuzing te hebben. Om de diagnose te stellen zal een röntgenfoto van de voorvoet gemaakt moeten worden.
Behandeling
Een niet-gecompliceerde jonesfractuur wordt conservatief behandeld door middel van immobilisatie met een gipsspalk gedurende 6 tot 8 weken. Deze behandeling is effectief in 72% tot 93% van de gevallen.[1] Gezien de matige doorbloeding van het proximale deel van het vijfde middenvoetsbeentje en de hoge inwerkende krachten kan de botheling moeizaam verlopen. Zelfs na een verlengde periode in het gips is het mogelijk dat een chirurgische ingreep noodzakelijk is. Voor atleten en professionele sporters wordt gezien het veel snellere herstel en de gunstige prognose veel sneller geopteerd voor de invasieve optie, dat is de chirurgische ingreep.[2]
Tijdens deze ingreep wordt een holle titanium of roestvrijstalen schroef intramedullair in het bot geplaatst onder algemene narcose.
De 'echte' jonesfractuur moet onderscheiden worden van de twee andere vaak voorkomende fracturen van het os metatarsii V. Enerzijds een avulsiefractuur veroorzaakt door de musculus peronaeus brevis, nog dichter bij het proximale uiteinde van het bot gelegen. Deze fractuur geneest veel gemakkelijker, ook zonder immobilisatie. Anderzijds een diafysale stressfractuur. Deze fractuur is in tegenstelling tot de jonesfractuur eerder chronisch van aard en vereist vaak een fixatie of een autogene bottransplantatie.[1] Breuken halverwege of distaal van het vijfde middenvoetsbeentje komen veel minder vaak voor.
- Dit artikel of een eerdere versie ervan is een (gedeeltelijke) vertaling van het artikel Jones fracture op de Engelstalige Wikipedia, dat onder de licentie Creative Commons Naamsvermelding/Gelijk delen valt. Zie de bewerkingsgeschiedenis aldaar.
- (en) Medscape.com, Foot Fracture
- ↑ a b Abstract Rosenberg et al 2000. Treatment strategies for acute fractures and nonunions of the proximal fifth metatarsal.J Am Acad Orthop Surg. 2000 Sep-Oct;8(5):332-8.
- ↑ Reese et al 2004. Cannulated screw fixation of Jones fractures: a clinical and biomechanical study.Am J Sports Med. 2004 Oct-Nov;32(7):1736-42.

