Avulsiefractuur
Neem het voorbehoud bij medische informatie in acht.
Raadpleeg bij gezondheidsklachten een arts.
Raadpleeg bij gezondheidsklachten een arts.
| Avulsiefractuur | ||||
|---|---|---|---|---|
| ||||
| Synoniemen | ||||
| Nederlands | afrukkingsfractuur[1] afscheuringsfractuur[1] | |||
| Coderingen | ||||
| ICD-11 | XJ36W | |||
| MeSH | D000071562 | |||
| ||||
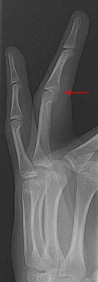
Een avulsiefractuur[1] is een fractuur ontstaan door grote trekkracht van een pees aan het bot. Doordat de pees meer trekkracht kan verdragen, zal eerder een stuk bot afscheuren dan de pees.
Zie ook
Literatuurverwijzingen
Geplaatst op:
10-07-2008
10-07-2008
Dit artikel is een beginnetje over geneeskunde. U wordt uitgenodigd om op bewerken te klikken om uw kennis aan dit artikel toe te voegen.
