Fibrocyt

Een fibrocyt is een cel afkomstig van hematopoëse en dragen rechtstreeks bij aan de fibrose van weefsels in het hele lichaam door collageen te produceren na verwondingen, tijdens ziekte en met het ouder worden.[1] Fibrocyten dragen ook bij aan aangeboren immuniteit door antimicrobiële factoren tot expressie te brengen en aan adaptieve immuniteit door vorming van antistoffen.[2]
Fibrocyten liggen in rust in het bindweefsel, dat wil zeggen het is een cel met een minimale hoeveelheid cytoplasma, beperkte hoeveelheden ruw endoplasmatisch reticulum en zonder biochemisch bewijs van eiwitsynthese. De cel heeft een lange ovale kern en lange uitlopers, die de cellen met elkaar verbinden en vormen een driedimensionale structuur die het anders losse bindweefsel stabiliseert. De fibrocyten zelf zijn echter in rust: de vorming van de extracellulaire matrix wordt uitgevoerd door de fibroblasten als hun mobiele voorloper. Indien nodig, bijvoorbeeld bij littekenvorming, kunnen de fibrocyten zich delen en nieuwe fibroblasten vormen.
Onderzoek
Fibrocyten werden voor het eerst beschreven in 1994 na het observeren van spoelvormige, aanhechtende, fibroblastachtige cellen in subcutane wonden bij muizen. Hoewel bekend is dat fibroblasten wonden binnendringen vanuit het omringende weefsel, werden deze fibrocyten acuut waargenomen, binnen twee dagen, gelijktijdig met de instroom van perifere bloedcellen en in een "onverwacht groot aantal". De timing en overvloed van deze cellen leidden de auteurs tot de conclusie dat "deze celpopulatie ontstond uit perifeer bloed en niet uitsluitend door langzame migratie van aangrenzend bindweefsel". Er werd gerapporteerd dat cellen die uit de wond werden geïsoleerd Col1 tot expressie brachten, zoals bepaald door immunolabeling, maar dat ze niet-specifieke esterasen misten, wat aangeeft dat ze verschilden van aanhechtende perifere bloedmonocyten.
Om de hypothese dat deze fibrocyten afkomstig waren van de circulatie, verder te onderzoeken, werden humane perifere mononucleaire bloedcellen (PBMC's) die geïsoleerd waren door middel van dichtheidsgradiëntcentrifugatie bestudeerd in weefselkweek. Na het uitplaten op de voedingsbodem, op de dag dat deze cellen werden geïsoleerd, was ~0,25% Col1+ CD34+. Adherente cellen werden vervolgens 2-4 weken gekweekt in serum-aangevuld medium onder omstandigheden die selecteerden voor plastische adhesie. Dit resulteerde in verrijking van Col1+ CD34+ cellen met een langwerpige morfologie die ook de myeloïde integrine CD11b en mesenchymale markers vimentine en fibronectine tot expressie brachten. Deze cellen brachten geen epitheliale, endotheliale of SMC-markers tot expressie, maar brachten wel leukocyten-gemeenschappelijk antigeen (CD45) tot expressie. Bij hernieuwde beoordeling van de wondtest, 10 dagen na implantatie, was 10-15% van de cellen in de wond Col1+ CD34+. Expressie van CD34, ook wel hematopoëtische stamcel (HSC) antigeen genoemd, suggereerde dat dit door bloed overgedragen cellen waren.
De potentiële hematopoëtische oorsprong bracht de auteurs ertoe de mogelijkheid te onderzoeken dat fibrocyten zouden kunnen ontstaan uit hematopoëtische voorlopercellen door gebruik te maken van een chimerisch muizenmodel met een niet-geslachtsafhankelijk beenmerg (BM). Echter, met behulp van dezelfde wondtest werden alleen Col1+ CD34+ cellen van gastheeroorsprong gedetecteerd; er werden geen Col1+ CD34+ donor-BM-afgeleide cellen waargenomen. De auteurs interpreteerden deze resultaten als "deze gegevens suggereren dat door bloed overgedragen fibrocyten niet afkomstig zijn van radiogevoelige, hematopoëtische stamcellen, maar in plaats daarvan afkomstig zijn van een radioresistente, beenmergvoorlopercel of van andere weefselbronnen". Radiogevoeligheid is de relatieve gevoeligheid van cellen, weefsels, organen of organismen voor de schadelijke effecten van ioniserende straling.
Helaas hebben de auteurs niet vastgesteld of fibrocyten afkomstig konden zijn van donor-afgeleide PBMC's in chimerische muizen. Dit zou hebben aangetoond dat fibrocyten in de wond en die geïsoleerd uit het perifere bloed verschillende populaties zouden kunnen zijn. Uit latere onderzoeken zijn echter fibrocyten afkomstig van donor-BM in andere weefsels geïdentificeerd, waaronder fibrocyten afkomstig van HSC in een model voor wondgenezing van de huid, wat suggereert dat de afwezigheid van fibrocyten afkomstig van donor-BM in de subcutane wond een specifieke bevinding van de test kan zijn geweest.[1][3]
Typen
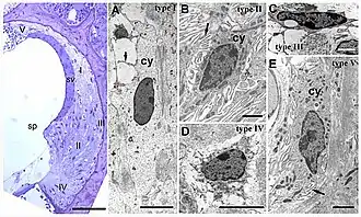
Er zijn vijf hoofdtypen fibrocyten bij muizen, met verschillende morfologie, eiwitexpressie en locatie,[1] hoewel deze in andere studies, bijvoorbeeld bij woestijnratten, zijn onderverdeeld in verschillende verdere subtypen.[4]
Uit elektronenmicroscopische studies blijkt dat de fibrocyten worden onderscheiden door fijne structurele kenmerken zoals de dichtheid van het cytoplasma, de inhoud van celorganellen en de mate waarin het celmembraan is gevouwen. De cel met de minst complexe structuur is type I fibrocyt die een langwerpige vorm heeft, relatief minder dicht cytoplasma en weinig organellen, en een minimaal aantal celmembraanvouwen. Type II en type V lijken qua structuur erg op elkaar, hebben relatief dicht cytoplasma en meerdere membraanvouwen. Type III heeft de neiging om uitgebreid vertakte oppervlakken te hebben, en zeer dicht cytoplasma, met smalle cellichamen. Type IV-cellen lijken op type III-cellen, maar zijn over het algemeen groter. De oppervlakteverschillen liggen tussen die van type III en type II of type V.[1]
![]() |
![]() |
![]() |
- ↑ a b c d Reinhardt JW and Breuer CK (2021) Fibrocytes: A Critical Review and Practical Guide. Front. Immunol. 12:784401. doi: 10.3389/fimmu.2021.784401
- ↑ Weigert, A., Zheng, X., Nenzel, A. et al. Fibrocytes boost tumor-supportive phenotypic switches in the lung cancer niche via the endothelin system. Nat Commun 13, 6078 (2022). https://doi.org/10.1038/s41467-022-33458-8
- ↑ Guerrero-Juarez, C.F., Dedhia, P.H., Jin, S. et al. Single-cell analysis reveals fibroblast heterogeneity and myeloid-derived adipocyte progenitors in murine skin wounds. Nat Commun 10, 650 (2019). https://doi.org/10.1038/s41467-018-08247-x
- ↑ Spicer, S. S., and Schulte, B. A. (1996). The fine structure of spiral ligament cells relates to ion return to the stria and varies with place-frequency. Hear. Res. 100, 80–100. doi: 10.1016/0378-5955(96)00106-2.


