Anoftalmie
_Bilateral_anophthalmia._(b)_Bilateral_microphthalmia._(c)_Unilateral_anophthalmia_with_shell.png)

Anoftalmie (Grieks: ἀνόφθαλμος, "zonder oog") is een aangeboren afwijking in de oogontwikkeling (misvormingen), die te wijten is aan een probleem dat zich voordoet in de oogbeker tijdens de embryonale ontwikkeling, waarbij geen oogbol wordt gevormd.[1][2] Anoftalmie is een uiterst zeldzame ziekte en wordt meestal veroorzaakt door genetische afwijkingen. Het kan ook voorkomen in combinatie met met andere syndromen.
Eenzijdige anoftalmie wordt monoftalmie (eenoog) genoemd. Een oog dat groter is dan de leeftijdsnorm, wordt macroftalmie genoemd.
De afwezigheid van het oog heeft als gevolg een kleine benige oogkas, een vernauwde met slijmvlies beklede oogholte, korte oogleden, een gereduceerde ooglidspleet en minder uitstekende jukbenen.[3] Mutaties, chromosomale afwijkingen en invloeden vanuit de omgeving tijdens de zwangerschap kunnen allemaal anoftalmie veroorzaken.
Anoftalmie komt relatief vaak voor bij het syndroom van Patau (Trisomie van chromosoom 13), bij het syndroom van Fraser, bij het syndroom van Bacrania-Ragge en bij holoprosencefalie, bij het syndroom van Hallermann–Streiff en ook bij het syndroom van Toriello. Verder komt het voor bij het syndroom van Lenz, bij het syndroom van Goldenhar-Gorlin en bij het syndroom van Waardenburg.[4]
Het kan ook deel uitmaken van zeldzame syndromen, zoals het syndroom van anoftalmie-syndactyly.[5]
Classificatie
Er zijn drie classificaties voor deze aandoening:[6]
- Primaire anoftalmie is een volledige afwezigheid van oogweefsel als gevolg van een falen van het deel van de hersenen dat het oog vormt.
- Secundaire anoftalmie het oog begint zich te ontwikkelen en stopt om een of andere reden, waardoor de baby alleen resterend oogweefsel of extreem kleine ogen overhoudt die alleen bij nauwkeurig onderzoek kunnen worden gezien.
- Degeneratieve anoftalmie het oog begon zich te vormen en degenereerde om een of andere reden. Een reden hiervoor zou een gebrek aan bloedtoevoer naar het oog kunnen zijn.
Epidemiologie
Volgens Orphanet Journal komt anoftalmie voor bij 3 op de 100.000 geboorten.[7] Veel gevallen van anoftalmie komen ook voor bij microftalmie. Uit onderzoek in het Verenigd Koninkrijk bleek dat anoftalmie en microftalmie gemiddeld bij 1 op de 10.000 geboorten voorkomen.[2] Het jaarlijkse aantal geboortes van anoftalmie/microftalmie in de Verenigde Staten bedraagt ongeveer 780 kinderen per jaar.[8] Het meest uitgebreide epidemiologische onderzoek naar deze aangeboren afwijking is uitgevoerd door Dharmasena et al.[9] In ongeveer twee derde van alle gevallen van anoftalmie is er sprake van een genetische oorzaak. Anoftalmie is een van de belangrijkste oorzaken van aangeboren blindheid en is verantwoordelijk voor 3-11% van de blindheid bij kinderen.[10]
Diagnose
Prenataal
- Echografie kan worden gebruikt om anoftalmie te diagnosticeren tijdens de zwangerschap. Vanwege de resolutie van de echografie is het moeilijk om het te diagnosticeren voor het tweede trimester. Het vroegste moment om anoftalmie op deze manier vast te stellen is ongeveer 26 weken van de zwangerschap.[6]
- Het is mogelijk om prenataal te diagnosticeren met vruchtwaterpunctie na ongeveer 14 weken zwangerschap. Chromosomale afwijkingen vormen echter slechts een minderheid van de gevallen van anoftalmie.[11]
Postnataal

- Magnetic resonance imaging (MRI) en computertomografie (CT-scan) kunnen worden gebruikt om de hersenen en oogkassen te scannen. Radiologen gebruiken dit om de interne structuren van de oogbol, de oogzenuw en oogspieren en de anatomie van de hersenen te beoordelen.
- Artsen, met name oogartsen, kunnen het kind onderzoeken en een juiste diagnose stellen. Sommigen zullen moleculaire DNA-onderzoeken uitvoeren om te zien of de oorzaak verband houdt met genmutaties.
Genetische testen kunnen chromosomale microarray-analyse, testen op één gen of testen op meerdere genen omvatten. Genomische testen, waaronder exoomsequentie, DNA-sequencing en Mitochondriaal DNA-sequencing, kunnen worden overwogen als testen op één gen of het gebruik van een multigenenpaneel een moleculaire diagnose niet bevestigen.
Behandeling
Oogprothese
Momenteel is er geen behandelingsoptie om het zicht terug te krijgen door een nieuw oog te ontwikkelen. Er zijn echter cosmetische opties, zodat de afwezigheid van het oog minder opvalt. Meestal moet het kind naar een oogarts om conformers in het oog te laten plaatsen. Conformers zijn gemaakt van helder plastic en worden in de oogkas geplaatst om de groei en expansie van de oogkas te bevorderen. Naarmate het gezicht van het kind groeit en zich ontwikkelt, moet de conformer worden vervangen. Een expander kan ook nodig zijn bij anoftalmie om de aanwezige oogkas te vergroten. De conformer wordt de eerste twee levensjaren om de paar weken vervangen. Daarna kan een geschilderd kunstoog worden aangemeten voor de oogkas van het kind.[12] Het kunstoog kan worden schoongemaakt met milde babyzeep en water. 2-propanol moet worden vermeden omdat het de oogprotese kan beschadigen. Kinderen moeten regelmatig worden gecontroleerd om er zeker van te zijn dat de pasvorm en maat goed zijn.[13]
Cosmetische chirurgie
Als de juiste maatregelen niet worden genomen om de oogkas te vergroten, kunnen er veel fysieke misvormingen optreden. Het is belangrijk dat als deze misvormingen optreden, die operatie pas na de eerste twee levensjaren wordt uitgevoerd. Veel mensen ondergaan een ooglidcorrectie, zoals een bovenste ooglidptosis-operatie en het strak trekken van het onderste ooglid. Deze operaties kunnen de functie van de omliggende structuren zoals het ooglid herstellen om het best mogelijke uiterlijk te creëren. Dit komt vaker voor bij mensen met degeneratieve anoftalmie.[14]
Oorzaken ontstaan van anoftalmie
Genetische oorzaken
SOX2

De meest voorkomende genetische oorzaak voor anoftalmie komt door het gemuteerde SOX2-gen. Het Sox2 is een transcriptiefactor die essentieel is voor het in stand houden van zelfvernieuwing, of pluripotentie, van ongedifferentieerde embryonale stamcellen. Sox2 speelt een cruciale rol bij het in stand houden van embryonale en neurale stamcellen.
Het Sox2-anoftalmie syndroom wordt veroorzaakt door een mutatie in het Sox2 gen waardoor het niet in staat is om het Sox2 eiwit te produceren dat de activiteit van andere genen reguleert door binding aan bepaalde delen van het DNA. Zonder dit Sox2 eiwit wordt de activiteit van genen die belangrijk zijn voor de ontwikkeling van het oog verstoord. Sox2-anoftalmie syndroom is een autosomaal dominante overerving, maar de meerderheid van de patiënten met Sox2-anoftalmie zijn de eersten in hun familiegeschiedenis die deze mutatie hebben. In bepaalde gevallen zal één ouder het gemuteerde gen alleen in hun eicel of spermacel bezitten en de nakomelingen zullen het hierdoor overerven. Dit wordt kiembaanmozaïcisme genoemd.[15] Er zijn minstens 33 mutaties in het Sox2-gen waarvan bekend is dat ze anoftalmie veroorzaken. Sommige van deze genmutaties zorgen ervoor dat het Sox2-eiwit niet wordt gevormd, terwijl andere mutaties een niet-functionele versie van dit eiwit opleveren.
RBP4
RBP4 (retinol bindend proteïne 4) is een transporteiwit voor retinol (vitamine A). RBP4 is in verband gebracht met de autosomaal dominante vorm van anoftalmie.[16] Deze vorm van anoftalmie heeft een variabele penetrantie en een uniek moederlijk erfelijk effect dat voorkomt tijdens de zwangerschap. De ziekte treedt specifiek alleen op wanneer een moeder en foetus beiden een RBP4-mutatie dragen die de foetus vatbaar maakt voor vitamine A-tekort (een bekende omgevingsrisicofactor voor anoftalmie) tijdens de zwangerschap. Als vitamine A-tekort optreedt tijdens de eerste paar maanden van de zwangerschap wanneer het oog zich ontwikkelt, kan dit leiden tot anoftalmie. Deze vorm van anoftalmie is de eerste die kan worden aangepakt met vitamine A-suppletie van retinoïde tijdens de eerste paar maanden van de zwangerschap. Deze strategie maakt gebruik van een RBP-onafhankelijk reactiepad.
Andere van belang zijnde genen
Andere van belang zijnde genen die anoftalmie kunnen veroorzaken zijn OTX2, CHX10 en RAX. Elk van deze genen is belangrijk voor de retinal-expressie. Mutaties in deze genen kunnen een falen van retinale celdifferentiatie veroorzaken.[7] OTX2 wordt dominant overgeërfd. Mutatie-effecten variëren in ernst en kunnen microftalmie omvatten. BMP4 is ook gekoppeld aan anoftalmie, en veroorzaakt ook myopie en microftalmie. Het wordt dominant overgeërfd. BMP4 interageert met het Sonic hedgehog (SHH) reactiepad en kan anoftalmie veroorzaken.[17] Haploinsufficiëntie van PRR12 staat er ook om bekend dat het resulteert in anoftalmie naast andere afwijkingen.[18][19]
Chromosoomafwijkingen
.jpg)
Chromosoom 3
Een de novo deletie van 1,69 Mb (chr3:182.649.000–184.339.000 equivalent aan hg19 chr3:181.166.306–182.856.306) resulteerde in een verlies van een enkele kopie van SOX2, weergegeven in rood. Deleties zijn gemarkeerd met rode balken. Genomische coördinaten zijn gebaseerd op de Human Genome Assembly (NCBI36/hg18) van maart 2006. Deze deletie veroorzaakte tweezijdige anoftalmie. Zie afbeelding (a).
Chromosoom 13
Trisomie van chromosoom 13 veroorzaakt het syndroom van Patau met relatief vaak anoftalmie.
Chromosoom 14
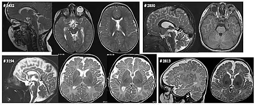
Een deletie van 6,5 Mb in CaseID 3000 (chr14:56.094.000–62.594.000; equivalent aan hg19 chr14:57.024.247–63.524-247) en een de novo deletie van 455 kb in CaseID 3346 (chr14:56.224.000–56.679.000; equivalent aan hg19 chr14:57.154.247–57.609.247) veroorzaakten tweezijdige anoftalmie. Zie afbeelding (b).
Een tussenliggende deletie op chromosoom 14 is soms ook de oorzaak van anoftalmie. De deletie van dit chromosoomgebied is ook in verband gebracht met patiënten met een kleine tong en een hoog gehemelte, ontwikkelings- en groeiachterstand, niet ingedaalde (cryptorchisme) teelballen met een micropenis en hypothyreoïdie. Het gebied dat verloren is gegaan is gebied q22.1-q22.3. Dit bevestigt dat regio 22 op chromosoom 14 de ontwikkeling van het oog beïnvloedt.[20]
Invloed van infecties
Deze infecties zijn meestal viraal. Enkele bekende pathogenen die anoftalmie kunnen veroorzaken zijn toxoplasmose, rodehond en bepaalde stammen van het influenzavirus.[21]
Invloed van het mlieu
Bekende mlieu-invloeden die tot anoftalmie hebben geleid zijn vitamine A-tekort tijdens de zwangerschap, blootstelling aan röntgenfoto's tijdens de zwangerschap, oplosmiddelen en blootstelling aan thalidomide.[7]
- ↑ Huisartsenbrochure anolftalmie en microftalmie. Gearchiveerd op 2 december 2024. Geraadpleegd op 27 september 2024.
- ↑ a b Questions about Anophthalmia. Anophthalmia.org. Gearchiveerd op 28 juli 2012. Geraadpleegd op 17 juli 2012.
- ↑ Wiese, K. Günter, Vogel, Martin, Guthoff, Rudolf, Gundlach, Karsten K.H. (1999). Treatment of congenital anophthalmos with self-inflating polymer expanders: A new method. Journal of Cranio-Maxillofacial Surgery 27 (2): 72–6. PMID 10342141. DOI: 10.1016/S1010-5182(99)80016-X.
- ↑ Anophthalmia | Radiology Reference Article. Radiopaedia.org. Gearchiveerd op 17 december 2023. Geraadpleegd op 17 juli 2012.
- ↑ Microftalmie met ledemaatanomalieën Orphanet
- ↑ a b Duong Dieu. Case Report: Anophthalmia. January 2022. International Case Studies Journal 11(1):28-30. Case Report: Anophthalmia
- ↑ a b c Verma, Amit S, Fitzpatrick, David R (2007). Anophthalmia and microphthalmia. Orphanet Journal of Rare Diseases 2: 47. PMID 18039390. PMC 2246098. DOI: 10.1186/1750-1172-2-47.
- ↑ CDC - Birth Defects, Data and Statistics - NCBDDD. Cdc.gov (19 september 2011). Gearchiveerd op 18 juni 2018. Geraadpleegd op 17 juli 2012.
- ↑ Dharmasena, Aruna, Keenan, Tiarnan, Goldacre, Raph, Hall, Nick, Goldacre, Michael J (2017). Trends over time in the incidence of congenital anophthalmia, microphthalmia and orbital malformation in England: Database study. British Journal of Ophthalmology 101 (6): 735–739. PMID 27601422. DOI: 10.1136/bjophthalmol-2016-308952. Gearchiveerd van origineel op 6 april 2023. Geraadpleegd op 31 augustus 2020.
- ↑ MCYSHN: Anophthalmia and Microphthalmia Health Condition Fact Sheet. Health.state.mn.us (16 november 2010). Gearchiveerd op 7 augustus 2012. Geraadpleegd op 17 juli 2012.
- ↑ https://contact.org.uk/help-for-families/information-advice-services/health-medical-information/patterns-of-inheritence/#prenatdiag
- ↑ Anophthalmia and Microphthalmia, Facts About [NEI Health Information]. Nei.nih.gov. Gearchiveerd op 18 juli 2012. Geraadpleegd op 17 juli 2012.
- ↑ ican - the International Children's Anophthalmia Network. Information and support for Anophthalmia, Microphthalmia and Coloboma. Anophthalmia.org. Gearchiveerd op 12 juli 2012. Geraadpleegd op 17 juli 2012.
- ↑ Prosthetic Eye - Fake Eye -Socket Surgery. Tabanmd.com. Gearchiveerd op 26 april 2012. Geraadpleegd op 17 juli 2012.
- ↑ SOX2 - SRY (sex determining region Y)-box 2 - Genetics Home Reference. Ghr.nlm.nih.gov (9 juli 2012). Gearchiveerd op 12 juli 2023. Geraadpleegd op 17 juli 2012.
- ↑ (2015). Biochemical Basis for Dominant Inheritance, Variable Penetrance, and Maternal Effects in RBP4 Congenital Disease. Cell 161 (3): 634–646. PMID 25910211. PMC 4409664. DOI: 10.1016/j.cell.2015.03.006.
- ↑ Summary of Results from Anophthalmia-Microphthalmia Genetics Study. Macs.org.uk. Gearchiveerd op 28 juli 2012. Geraadpleegd op 17 juli 2012.
- ↑ Chowdhury, Fuad, Wang, Lei, Al-Raqad, Mohammed, Amor, David J., Baxová, Alice (July 2021). Haploinsufficiency of PRR12 causes a spectrum of neurodevelopmental, eye, and multisystem abnormalities. Genetics in Medicine 23 (7): 1234–1245. ISSN: 1098-3600. PMID 33824499. DOI: 10.1038/s41436-021-01129-6. Gearchiveerd van origineel op 1 juli 2024. Geraadpleegd op 9 februari 2024.
- ↑ (en) Steinbuch, Yaron, Baby born without eyes due to rare genetic disorder (8 februari 2024). Gearchiveerd op 9 februari 2024. Geraadpleegd op 9 februari 2024.
- ↑ Elliott, J, Maltby, E L, Reynolds, B (1993). A case of deletion 14(q22.1→q22.3) associated with anophthalmia and pituitary abnormalities. Journal of Medical Genetics 30 (3): 251–2. PMID 7682620. PMC 1016311. DOI: 10.1136/jmg.30.3.251.
- ↑ What is Anophthalmia. Macs.org.uk. Gearchiveerd op 28 juli 2012. Geraadpleegd op 17 juli 2012.