Toxoplasmose
Raadpleeg bij gezondheidsklachten een arts.
| Toxoplasmose | ||||
|---|---|---|---|---|
| ||||
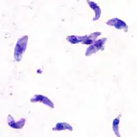
Toxoplasma gondii tachyzoïet
| ||||
| Coderingen | ||||
| ICD-11 | ||||
| DiseasesDB | 13208 | |||
| DOID | 9965 | |||
| MedlinePlus | 000637 | |||
| eMedicine | med/2294 | |||
| MeSH | D014123 | |||
| ||||
Toxoplasmose is een ziekte die wordt veroorzaakt door een microscopisch kleine, eencellige parasiet, Toxoplasma gondii. Deze parasiet kan vele diersoorten, waaronder de mens, infecteren, maar heeft in katachtigen een seksuele voortplantingscyclus. De ziekte wordt daarom weleens 'kattenziekte' genoemd. Dit is echter minder gewenst, omdat deze naam ook wordt gebruikt voor parvovirose bij katten: een (voor katten) zeer gevaarlijke virusziekte, die niets met toxoplasmose te maken heeft.
De naam toxoplasmose verwijst naar de boogvorm van de parasiet (toxon = boog). De ontwikkelingscyclus van de parasiet bestaat uit twee delen: seksueel en aseksueel.
Toxoplasmaparasieten komen met name voor in de uitwerpselen van een kat en in vlees van onder meer varkens, geiten en schapen. Men kan met deze parasiet in contact komen door:
- De kattenbak te verschonen als daar jonge katten in hebben gepoept. Alle katten raken ermee besmet, maar ze scheiden alleen een paar weken na de eerste besmetting cysten uit; de cysten worden pas infectieus nadat ze 48 uur buiten het lichaam zijn. Normale hygiëne en geregeld verschonen zijn voldoende om besmetting te voorkomen.
- Tuinieren.
- Rauw of onvoldoende verhit vlees (bijvoorbeeld van de barbecue) te eten.
- Ongewassen groenten te eten (risico op besmetting met mest van besmette dieren).
- Zandbakken waar ook katten in komen.
Na een primaire infectie ontstaat een levenslange immuniteit die gebaseerd is op pre-immuniteit, zolang er sprake is van een voortdurende latent aanwezige infectie. Bij immuno-incompetente personen kan een latent aanwezige infectie opleven en ernstige symptomen met zich meebrengen.
De seksuele ontwikkelingscyclus van de parasiet


Seksuele ontwikkeling van de parasiet vindt uitsluitend plaats in de kat of katachtige (de eindgastheer). De kat wordt besmet door het inslikken van infectieuze oöcysten of weefselcysten van prooidieren. Een oöcyst bestaat uit twee sporocysten met elk vier sporozoïten. Uit zowel sporozoïten als bradyzoïeten kunnen via schizogonie merozoïten ontstaan. Het merozoietstadium is het enige stadium dat in staat is tot seksuele reproductie. Hieruit ontstaan de gametocyten, de micro- en macrogameten. In de epitheelcellen van de dunne darm ontstaan uit de gametocyten weer oöcysten, die via de kattenfeces in het milieu terechtkomen. De kat is de eindgastheer en produceert gedurende hooguit 2 weken oöcysten. De oöcysten zijn pas infectieus na een rijpingsfase (sporulatie); deze duurt in een gematigd klimaat zoals in Nederland zo'n 2 tot 3 dagen. De oöcysten zijn erg resistent en kunnen meer dan een jaar infectieus blijven onder warme en vochtige omstandigheden. Infecties bij katachtigen zijn meestal symptoomloos, hoewel ook symptomatische infecties zijn beschreven.
De aseksuele ontwikkelingscyclus van de parasiet
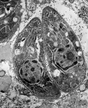
Aseksuele ontwikkeling van de parasiet kan in elk type cel van de tussengastheer plaatsvinden (de mens, maar ook een grote variëteit aan dieren), behalve in de rode bloedcellen. Het actieve stadium van de parasiet is de tachyzoïet. Deze komt na het inslikken vrij uit de oöcyste of uit de weefselcyste, dringt de gastheercel binnen en deelt intracellulair. Het delingsproces gaat door tot de gastheercel barst. De vrijgekomen tachyzoïeten dringen direct weer nieuwe cellen binnen en beginnen opnieuw met delen. Door een nog niet geheel begrepen mechanisme ontstaat na enige tijd een omslag in dit proces en ontstaan weefselcysten. Deze bevatten bradyzoïeten, dat wil zeggen een veel trager stadium van de parasiet met een zeer laag stofwisselingsniveau en slechts weinig deling. De bradyzoïet bevindt zich in de intracellulaire weefselcyst met een diameter van ongeveer 100 μm en bevat enkele duizenden parasieten. De weefselcysten variëren in grootte (tot 200 μm) en bevatten wisselende aantallen parasieten, variërend van enkele tot 3000 bradyzoïeten.
Bij de mens vindt alleen de aseksuele cyclus plaats. 1 tot 2 weken na infectie komt de vorming van weefselcysten (met daarin bradyzoïeten) tot stand. De cysten kunnen zich in elk weefsel bevinden en handhaven, maar de organen die het meest worden aangedaan zijn hersenen, netvlies (ogen), spierweefsel en de hartspier. Deze weefselcysten zijn vrijwel rond en veroorzaken geen ontstekingsreactie in de omliggende weefsels. Het aantal en de lokalisatie van de weefselcysten kan variëren, evenals de schade die ze teweeg kunnen brengen.
-
Diagram -
Oöcyst -
Oöcyst met sporozoïten -
Oöcyst met sporozoïten -
Merozoït -
Gametocyt -
Sporocyst -
Tachyzoïten -
Twee tachyzoïten omgeven door een membraan -
Bradyzoït
Een congenitale infectie ontstaat als een foetus intra-uterien wordt geïnfecteerd. Dit kan tot ernstige gevolgen leiden, met name als de infectie ontstaat in de eerste 3 maanden van de zwangerschap. Dan treedt geen adequate immuunrespons op en wordt de infectie niet bedwongen.
Er werd lange tijd verondersteld dat Toxoplasma slechts weinig onderlinge variatie kende, ondanks het feit dat de parasiet in vele diersoorten werd gevonden. Door toepassing van moleculaire technieken blijken er echter meerdere stammen van de parasiet te bestaan, die morfologisch identiek zijn maar verschillen in virulentie bij muizen. In Europa en Noord-Amerika is hoofdzakelijk sprake van drie afzonderlijke clonale lijnen (type I, II en III), waarbij type II-stammen domineren. In Brazilië komen alle typen voor, maar ook veel atypische stammen. Type I-stammen en atypische Toxoplasma-stammen zijn geassocieerd met ernstigere oculaire toxoplasmose, vergeleken met de type II-stammen. Dit verklaart mogelijk het veel ernstiger beloop van toxoplasmose in Brazilië.
Incubatieperiode
De incubatietijd bedraagt 10 tot 23 dagen.
Symptomen
De meeste mensen merken weinig tot niets als ze geïnfecteerd worden: de symptomen blijven uit of doen denken aan een griepje. Het meest voorkomende symptoom is lymfadenopathie, met name van de lymfeklieren in de nek. Toch komen ernstige symptomen voor, vaak bij mensen met een verminderde weerstand. Dit zijn bijvoorbeeld: koorts, algemene malaise, ooginfectie, lever- en miltvergroting en huiduitslag. Slechts bij een klein deel van de patiënten met een primaire infectie zal de ziekte ernstig worden, waarbij de ziekte bijvoorbeeld kan zorgen voor beschadigingen aan onder andere de hersenen en het netvlies. De afgelopen jaren zijn aanwijzingen gevonden dat toxoplasma-infectie geassocieerd is met een verandering in persoonlijkheidskenmerken en een verminderd psychomotorisch vermogen. Enige tientallen procenten van de bevolking hebben antistoffen tegen de parasiet en zijn er dus ooit mee besmet geweest. De meesten hebben daar nooit iets van gemerkt. De infectie blijft levenslang bestaan maar bij een normaal functionerend immuunsysteem wordt hij niet meer actief.
Toxoplasmose en gedrag
Er wordt vermoed dat de toxoplasmaparasiet een invloed kan hebben op het gedrag. Ratten met toxoplasmose worden makkelijker door katten gevangen, doordat ze de katten in sommige gevallen zelfs opzoeken, wat verspreiding van de parasiet in de hand werkt.[1] Mensen met toxoplasmose blijken vaker risico's te nemen, hun reactiesnelheid vertraagt en men maakt twee tot drie keer zoveel kans op een ongeluk in het verkeer.[2] Volgens een theorie zouden mensen die besmet zijn sneller geneigd zijn een kat als huisdier te nemen.[3] Ook lijkt het erop dat mensen met schizofrenie vaker met toxoplasma besmet zijn dan gemiddeld. Of dit een oorzaak of een gevolg van de schizofrenie is, is echter niet duidelijk.
Toxoplasmose en zwangerschap
T. gondii kan de ongeboren vrucht infecteren als de vrouw tijdens de zwangerschap besmet raakt. Zwangere vrouwen (of vrouwen met actieve kinderwens) die nog niet geïnfecteerd waren moeten daarom extra aandacht hebben voor het vermijden van de bekende risicofactoren (zoals het eten van rauw of onvoldoende gegaard vlees).
Naarmate de zwangerschap jonger is, is de kans op congenitale transmissie kleiner, maar zijn de mogelijke gevolgen ernstiger. Die omvatten afwijkingen aan de ogen, de oren en het zenuwstelsel van de vrucht (met als gevolg doofheid, mentale achterstand en/of schizofrenie), en spontane abortus (miskraam). [1]
Trivia
- In de film Trainspotting sterft Tommy aan de ziekte, in het bijzonder door een verzwakte weerstand ten gevolge van heroïnegebruik en Hiv.
- ↑ a b (en) Yolken RH, Dickerson FB, Fuller Torrey E (19 mei 2009). Toxoplasma and schizophrenia. Parasite Immunol. 31 (11): 706-15. ISSN: 0141-9838. PMID 19825110. DOI: 10.1111/j.1365-3024.2009.01131.x. Dit is een open access artikel.
- ↑ (en) Flegr J, Havlícek J, Kodym P, Malý M, Smahel Z (2 juli 2002). Increased risk of traffic accidents in subjects with latent toxoplasmosis: a retrospective case-control study. BMC Infect Dis. 2: 11. ISSN: 1471-2334. PMID 12095427. PMC 117239. DOI: 10.1186/1471-2334-2-11.
- ↑ (en) Flegr J (1 januari 2013). Influence of latent Toxoplasma infection on human personality, physiology and morphology: pros and cons of the Toxoplasma-human model in studying the manipulation hypothesis.
