Baarmoederkanker
Raadpleeg bij gezondheidsklachten een arts.
| Baarmoederkanker | ||||
|---|---|---|---|---|
| Endometriumcarcinoom | ||||
| ||||
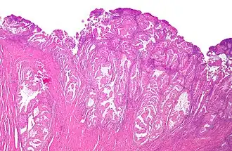
Histologisch preparaat van endometriaal adenocarcinoom, de meest voorkomende vorm van baarmoederkanker, gekleurd met hematoxyline en eosine.
| ||||
| Synoniemen | ||||
| Latijn | Carcinoma endometrii | |||
| Coderingen | ||||
| ICD-10 ICD-9 |
C54 182 | |||
| OMIM | 608089 | |||
| DiseasesDB | 4252 | |||
| DOID | 1380 | |||
| MedlinePlus | 000910 | |||
| ||||
Baarmoederkanker[1] of endometriumcarcinoom[1] is een vorm van kanker gelokaliseerd in het lichaam van de baarmoeder. Anders dan baarmoederhalskanker zijn nagenoeg alle gevallen van baarmoederkanker van het adenocarcinoom type. In 2005 werd in Nederland bij ongeveer 1850 vrouwen de diagnose baarmoederkanker gesteld. Het is de meest voorkomende vorm van kanker van de vrouwelijke geslachtsorganen. In hetzelfde jaar stierven in Nederland ruim 400 vrouwen aan de gevolgen van deze kanker. De vijfjaarsoverleving is 80% en is vergelijking met andere vormen van kanker relatief gunstig.[2]
Oorzaken
Vrouwen die obees zijn, hebben een vier keer zo groot risico als vrouwen met een normaal gewicht.[3] Behandeling met tamoxifen verhoogt het risico op deze vorm van kanker. Ook mensen met HNPCC en PCOS hebben een verhoogd risico op het krijgen van baarmoederkanker. Lichamelijke activiteit, het gebruik van de anticonceptiepil en het krijgen van kinderen verlaagt het risico.
Behandeling
De meest toegepaste behandelingen bij baarmoederkanker zijn:
- operatie (chirurgie)
- bestraling (radiotherapie)
Prognose
Overlevingskans
De vijfjaarsoverleving is 80% en is vergelijking met andere vormen van kanker relatief gunstig.[2] De meeste vrouwen (meer dan 75%) hebben FIGO stadium I of II en hebben in principe een goede prognose.[2] Hieronder staat per Figo stadium de overlevingskans weergegeven:[4]
| FIGO stadium | Vijfjaarsoverleving |
|---|---|
| I-A | 90% |
| I-B | 88% |
| I-C | 75% |
| II | 69% |
| III-A | 58% |
| III-B | 50% |
| III-C | 47% |
| IV-A | 17% |
| IV-B | 15% |
Herhalingskans
De kans op het opnieuw krijgen van baarmoederkanker ligt tussen de 3 en 17%.[2] 70% van de nieuwe gevallen wordt tijdens de eerste drie jaar na behandeling ontdekt.[2]
Kwaliteit van leven
In 2005 waren er 15.000 mensen in Nederland die baarmoederkanker hebben overleefd. In 2012 verwachtte men dat dit aantal in 2015 zou zijn toegenomen tot 25.000.[5] Meer dan 70% van de mensen die baarmoederkanker overleven heeft last van een of meer andere klachten naar aanleiding hiervan (co-morbiditeiten). Gemiddeld heeft men tussen de twee en drie 3 co-morbiditeiten.[6] Het blijkt dat overgewicht een negatief effect heeft voor de kwaliteit van leven van mensen die baarmoederkanker overleven.[6]
Gemiddeld maken mensen die baarmoederkanker overleven meer gebruik van medische controles dan de algemene bevolking.[2][7] Dit lijkt gerelateerd aan angst voor een nieuwe episode. Deze angst neemt niet af en is zelfs na een periode van 10 jaar nog aantoonbaar aanwezig.[2]
Studies onder mensen die baarmoederkanker hebben overleefd laten zien dat indien men tevreden is over de informatievoorziening rondom de aandoening, deze mensen een betere kwaliteit van leven hebben, minder depressie en minder angst.[8] Het is gebleken dat men niet altijd tevreden is over de informatievoorziening rondom de aandoening, en dat mensen die op papier informatie kregen (tegenover mondeling), aangaven meer informatie te hebben ontvangen en meer tevreden te zijn over de informatievoorziening.[5] Het Amerikaans Medisch Instituut en de Nederlandse gezondheidsraad adviseren om gebruik te maken van een Survivorship Care Plan; dit is een samenvatting van de behandeling, met advies voor toekomstige controle en gezondheidsadviezen.[9]
Externe links
- Webportaal op initiatief van KWF Kankerbestrijding, de vereniging van Integrale Kankercentra (VIKC) en de Nederlandse Federatie van Kankerpatiëntenorganisaties (NFK)
- Baarmoederkanker op www.kankerwiehelpt.nl
- ↑ a b Everdingen, J.J.E. van, Eerenbeemt, A.M.M. van den (2012). Pinkhof Geneeskundig woordenboek (12de druk). Houten: Bohn Stafleu Van Loghum.
- ↑ a b c d e f g Nicolaije K.A. et al. Follow-up practice in endometrial cancer and the association with patient and hospital characteristics: A study from the population-based PROFILES registry, Gynecologic Oncology, 129 (2), mei 2013, pag 324–331, Artikel op Pubmed[dode link]
- ↑ Schouten L et al. Anthropometry, physical activity, and endometrial cancer risk: results from the Netherlands Cohort Study. J Natl Cancer I 2004; 96: 1635-1638.
- ↑ www.cancer.org, How Is Endometrial Cancer Staged?, American Cancer Society, 22 oktober 2009, ingezien op 27 juli 2013.
- ↑ a b Nicolaije K.A. et al. Endometrial cancer survivors are unsatisfied with received information about diagnosis, treatment and follow-up: A study from the population-based PROFILES registry, Patient education and counseling, 88(3), sep 2012, pag 427-35, Artikel op Pubmed
- ↑ a b Oldenburg C.S. et al. The relationship of body mass index with quality of life among endometrial cancer survivors: a study from the population-based PROFILES registry. Gynecologic Oncology, 129 (1), april 2013, pag 216–21, Artikel op Pubmed.
- ↑ Ezendam N.P. et al. Health Care Use Among Endometrial Cancer Survivors: A Study From PROFILES, a Population-Based Survivorship Registry. International Journal of Gynecological Cancer, online gepubliceerd voor publicatie, juli 22, 2013, Artikel op Pubmed.
- ↑ Husson O. et al, The relation between information provision and health-related quality of life, anxiety and depression among cancer survivors: a systematic review, Ann Oncol, 22, 2011, pag 761–772
- ↑ Van de Poll-Franse L.V. et al. The impact of a cancer Survivorship Care Plan on gynecological cancer patient and health care provider reported outcomes (ROGY Care): study protocol for a pragmatic cluster randomized controlled trial. Trials, 5 (12). dec 2011, pag 256, Artikel op Pubmed
