Acute lymfatische leukemie

Esculaap
Neem het voorbehoud bij medische informatie in acht.
Raadpleeg bij gezondheidsklachten een arts.
Acute lymfatische leukemie
Acute lymfatische leukemie
Coderingen
ICD-11
Eerdere versies
ICD-10: C91.0
ICD-9: 204.0
ICD-O M9835/3
OMIM [1]
DiseasesDB 195
DOID 9952
MedlinePlus 000541
eMedicine med/3146
ped/2587
MeSH D054198
Portaal  Portaalicoon   Geneeskunde

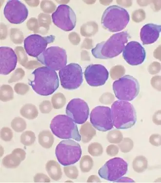
Acute lymfatische leukemie, ook acute lymfoblastische leukemie of acute lymfoïde leukemie (ALL), is een acute vorm van leukemie, dat is kanker van de witte bloedcellen. ALL wordt gekenmerkt door een overproductie en stapeling van maligne, onvolgroeide witte bloedcellen of lymfoblasten. Bij patiënten met ALL worden in het beenmerg continu lymfoblasten geproduceerd, waarbij de productie van normale bloedcellen, in de vorm van bloedplaatjes, rode en witte bloedlichaampjes verhinderd wordt, en de ziekte zich verspreidt naar andere organen. ALL komt het meest voor bij kleine kinderen tussen 2 en 5 jaar, en bij ouderen op hoge leeftijd.

Zie ook