Chronische lymfatische leukemie
Neem het voorbehoud bij medische informatie in acht.
Raadpleeg bij gezondheidsklachten een arts.
Raadpleeg bij gezondheidsklachten een arts.
| Chronische lymfatische leukemie | ||||
|---|---|---|---|---|
| ||||
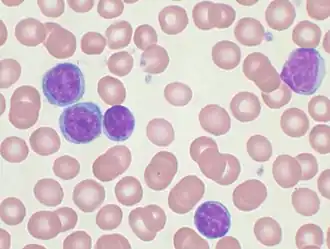
Bloedmonster met CLL-cellen
| ||||
| Coderingen | ||||
| ICD-11 | ||||
| ICD-O | 9823/3 | |||
| OMIM | {{{OMIM}}} | |||
| DOID | 1040 | |||
| MedlinePlus | 000532 | |||
| MeSH | D015451 | |||
| ||||
Chronische lymfatische leukemie[1] of CLL[1] is een type bloedkanker (in medische terminologie leukemie genoemd) waarbij te veel witte bloedcellen (lymfocyten) worden aangemaakt. Hoewel de maligne lymfocyten bij CLL er gewoon uitzien onder een microscoop, zijn ze dat niet en kunnen de lymfocyten infecties niet effectief bestrijden. CLL wordt tot maligne lymfomen gerekend en is de meest voorkomende vorm van leukemie bij volwassenen, waarbij mannen twee keer zo vaak CLL ontwikkelen als vrouwen. Meer dan driekwart van de nieuwe gevallen wordt gediagnosticeerd bij patiënten boven de 50 jaar. Hoewel CLL over het algemeen als niet te genezen wordt beschouwd, schrijdt de ziekte doorgaans langzaam voort, soms zelfs gedurende tientallen jaren.
Externe links
- CLL Topics
- CLL Research Consortium
- Leukemia & Lymphoma Society
- Lymphomation.org
- US National Cancer Institute
- CLLResearch
- Stichting Contactgroep Leukemie
