Schizogonie
.jpg)
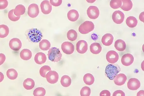
Schizogonie is een stadium in de ongeslachtelijke voortplanting van bepaalde eencellige protista, waaronder Plasmodium- (malaria-) en Cryptosporidium-parasieten. Door een beet van een mug met malariaparasieten, komen sporozoïeten van de parasiet in de bloedbaan terecht en vandaaruit in de lever. Daar groeien de kleine sporozoïeten tot een amoebe-achtige vorm, de schizont. De celkern van een schizont zal zich een aantal keren delen ten koste van de levercel waarin hij zich bevindt, tot de levercel en de schizont ten slotte openbarsten en er nieuwe organismen (merozoïeten) vrijkomen in de bloedbaan; die dringen elk weer een levercel binnen waar opnieuw een schizont ontstaat. Deze vermeerderingscyclus of schizogonie herhaalt zich enkele malen, tot er een nieuwe fase optreedt, waarbij de merozoïeten in rode bloedcellen terechtkomen waarin ze zich zullen ontwikkelen tot mannelijke en vrouwelijke gameten.
Schizonticiden zijn geneesmiddelen die schizonten in de bloedbaan doden en zo de infectie door dergelijke parasieten afremmen. Kinine, kinidine, artemisinine en proguanil zijn enkele voorbeelden van antimalaria-schizonticiden.