Synovitis villonodularis pigmentosa
Raadpleeg bij gezondheidsklachten een arts.
| Synovitis villonodularis pigmentosa | ||||
|---|---|---|---|---|
| ||||
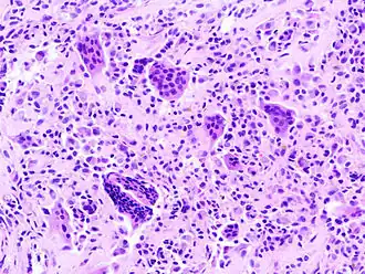
Histopathologie van PVNS
| ||||
| Coderingen | ||||
| ICD-11 | ||||
| DOID | 2702 | |||
| eMedicine | article/1253223 | |||
| MeSH | D013586 | |||
| ||||
Synovitis villonodularis pigmentosa (SVP), in het Engels Pigmented Villonodular Synovitis (PVNS), is een zeldzame chronische gewrichtsaandoening, die meestal voorkomt in een knie of een heup. Er bestaan ook gevallen waarbij het voorkomt in een schouder, enkel, elleboog, hand of voet. De ziekte is niet erfelijk en blijft beperkt tot 1 gewricht. De oorzaak van de aandoening is niet bekend. De aandoening is in 1941 voor het eerst beschreven[1].
SVP valt onder de reumatische aandoeningen. Het kenmerkt zich als een aanhoudende/chronische gewrichtsvlies-ontsteking waarbij pigment-korrels worden gevormd. Deze pigmentkorrels zijn een woekering van "goedaardig" weefsel en kunnen schade toebrengen aan het gewricht. De pigmentkorrels kunnen zich in het bot "vreten". Kortgezegd heeft men last van een goedaardige tumor.
Over de aandoening is weinig bekend. De symptomen zijn: zwelling en stijfheid van het gewricht en pijn. De symptomen hebben veel weg van reumatische klachten. Deze aandoening kan vaak alleen aangetoond worden door middel van een Magnetic Resonance Imaging (MRI-scan of het histologisch onderzoek van weefsel, na biopsie.
De diagnose is moeilijk te stellen in de eerste vier jaar (of meer) na het ontstaan, doordat er weinig specifieke symptomen zijn.
De behandeling verschilt per patiënt en de mate waarin de SVP voorkomt. De meest gangbare behandeling is een synovectomie van het betreffende gewricht, waarbij een deel van het synoviale membraan of synoviale gewricht operatief weggehaald wordt. Het door ontsteking aangetaste bot wordt daarbij verwijderd. Gezien de grote kans op terugkeer van de ontsteking, 45%[1], wordt radiotherapie ook als behandeling overwogen. In sommige gevallen is een volledige vervanging van het gewricht noodzakelijk om de klachten te verlichten als SVP serieuze schade heeft toegebracht aan het gewricht.
- ↑ a b Frassica FJ, Bhimani MA, McCarthy EF, Wenz J (October 1999). Pigmented villonodular synovitis of the hip and knee. Am Fam Physician 60 (5): 1404–10; discussion 1415. PMID 10524485. Gearchiveerd van origineel op 6 juni 2011. Geraadpleegd op 14 maart 2009.
.jpg)