Syndroom van Pellegrini-Stieda

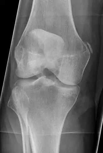
Het syndroom van Pellegrini-Stieda is een vrij zeldzame aandoening van de knie, waarbij er pijn en wat zwelling optreedt aan de condylus medialis femoris, dit is de knobbel onderaan het dijbeen, soms met, soms ook zonder duidelijk voorafgaand letsel. Op de röntgenfoto is een kalksikkeltje te zien ter hoogte van de aanhechting van de mediale knieband, het ligamentum collaterale mediale van de knie, en soms verkalkt het ligament geheel. De pijnklachten gaan meestal na enige maanden over. De behandeling bestaat uit het voorkomen van bewegingsbeperking door oefenen en waar nodig pijnstilling. Bij pijn op deze plaats kan ook gedacht worden aan een gewoon letsel van de knieband of aan aseptische botnecrose.