Subcutaan emfyseem

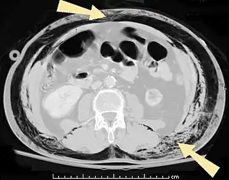
Subcutaan emfyseem of emphysema subcutaneum[1] treedt op als er lucht in het onderhuidse (vet)weefsel aanwezig is. Subcutaan betekent onderhuids, emfyseem opgesloten lucht. Subcutaan emfyseem ontstaat doordat lucht weglekt uit de luchtwegen of een orgaan in de onderhuidse weefsels. Hierdoor treedt pijnloze zwelling op van de huid, die bij aanraking knisperend aanvoelt. Soms wordt dit omschreven als het aanraken van een zakje met gepofte rijst. Met een stethoscoop is dit vaak knetterend te horen.
Subcutaan emfyseem ontstaat vaak als gevolg van letsels van de hals, borstkas of buikholte. Zo wordt het gezien na een fractuur van het strottenhoofd, bij ribfracturen, bij een pneumomediastinum of een pneumothorax, na het inbrengen van een thoraxdrain, na een hart- of longoperatie en soms bij perforaties in de maag of darm.
Wanneer men duwt op de plaats van het subcutaan emfyseem voelt het aan alsof men met schoenen op sneeuw loopt (crepitatie).
Literatuurverwijzingen
- ↑ Haan, H.R.M. de & Dekker, W.A.L. (1955-1957). Groot woordenboek der geneeskunde. Encyclopaedia medica. Leiden: L. Stafleu.