Shakenbabysyndroom
Raadpleeg bij gezondheidsklachten een arts.
| Shakenbabysyndroom | ||||
|---|---|---|---|---|
| ||||
| Coderingen | ||||
| ICD-9 | 995.55 | |||
| MedlinePlus | 000004 | |||
| MeSH | D038642 | |||
| ||||
Shakenbabysyndroom, letterlijk vertaald syndroom van door elkaar geschudde baby, zijn de tekenen die een baby kan vertonen die op enige manier te hard door elkaar is geschud of te harde klappen heeft gekregen, maar meestal als gevolg van mishandeling. Het gaat daarbij vooral om slachtoffertjes van minder dan zes maanden met letsel aan het hoofd en de nek. Het soortgelijke syndroom voor iets oudere kinderen heet het battered-childsyndroom.
Men begon zich in de loop van de 19e eeuw, in 1860, medische zorgen te maken over de gevolgen van geweld op kleine kinderen.[1]
De baby wordt in de gevallen dat het voorkomt vaak door elkaar geschud uit onmachtsgevoel bij de ouder of de persoon aan wie de verantwoordelijkheid werd overgedragen. Dit gebeurt vaak naar aanleiding van het onophoudelijk huilen van de baby. Wanneer de baby niet tot bedaren kan worden gebracht, probeert iemand door de baby hard te schudden hem, haar daarmee op te laten houden.
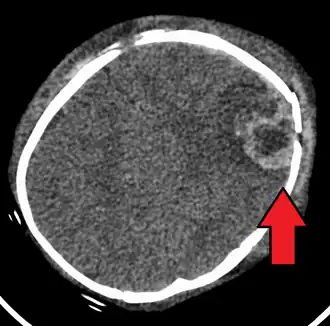
Vooral het hoofd van een baby is erg broos en kwetsbaar omdat het naar lichaamsverhouding erg groot is en de nekspieren van het jonge kind nog maar weinig zijn ontwikkeld. Wanneer de baby zodanig wordt geschud dat het hoofdje heen en weer beweegt, kan het schudden beschadigingen van hersenen, bloedvaten en zenuwen veroorzaken, met blijvend letsel of met de dood tot gevolg. De gevolgen van de beschadiging aan bloedvaten, de hersenen of hersenzenuwen bij het shakenbabysyndroom zijn blijvend. Ieder jong kind dat, heftig of niet, op deze wijze wordt geschud, gedurende vijf seconden of langer, heeft onmiddellijk medische hulp nodig. Snelle medische hulpverlening kan het verergeren van de gevolgen voorkomen, bijvoorbeeld door een hersenoedeem te behandelen.
Er zijn de volgende medische indicaties voor het shakenbabysyndroom:
- Bloedingen in beide ogen
- Bloeduitstortingen in de nek
- Hersenbloeding
- Hersenoedeem
- Hersenkneuzing
- Kneuzing van de schedel
Mogelijke gevolgen zijn:
- Ademhalingsproblemen
- Blindheid
- Braken
- Coma
- Doofheid
- Dysfagie (onvermogen te slikken)
- Leerstoornissen
- Ontwikkelingsachterstand
- Overlijden
- Verlamming
- ↑ (fr) Ambroise Tardieu. Étude médico-légale sur les sévices et mauvais traitements exercés sur des enfants, 1860.
Studie op het raakvlak van de geneeskunde en het recht over geweld op dat op kinderen is uitgeoefend
gekopieerd uit Annales d’hygiène publique et de médecine légale, dus uit 1860, in Enfances & Psy 2008, 2, 39
