Hersenkneuzing
Raadpleeg bij gezondheidsklachten een arts.
| Hersenkneuzing | ||||
|---|---|---|---|---|
| Contusio cerebri | ||||
| ||||
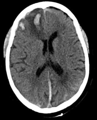
In de rechter frontale kwab (linksboven op de afbeelding) wordt een bloedingshaard gezien, passend bij hersenkneuzing
| ||||
| Synoniemen | ||||
| Nederlands | Hersencontusie[1] | |||
| Coderingen | ||||
| ICD-10 ICD-9 |
S06.2, S06.3 851 | |||
| MeSH | D000070624 | |||
| ||||
Een hersenkneuzing[1] of contusio cerebri[1] is een vorm van traumatisch hersenletsel en is, zoals het woord al zegt, een kneuzing van de hersenen. Bij een hersenkneuzing treedt per definitie bewusteloosheid op (maximaal 30 minuten), vaak geheugenverlies (maximaal 24 uur) en soms neurologische uitvalsverschijnselen. Op beeldvormend onderzoek van de hersenen (bijvoorbeeld een MRI-scan of een CT-scan) worden een of meerdere bloedingshaarden (kneuzingen) in de hersenen gezien.
Gevolgen
Na een hersenkneuzing kunnen er diverse neuropsychologische problemen optreden. Deze zijn onder te verdelen in cognitieve stoornissen, emotionele problemen en gedragsveranderingen. In de medische diagnostiek wordt een onderscheid gemaakt tussen de fases waarin een patiënt zich in het herstelproces bevindt. In de acute fase is ziekenhuisbehandeling geboden, waarbij de nadruk ligt op het controleren en stabiel houden van onder meer ademhaling en de bloedsomloop. In de post-acute fase worden de klachten in kaart gebracht om via een revalidatie het functioneren van de patiënt zo veel mogelijk te verbeteren. In de chronische fase richt een eventuele behandeling zich erop om de patiënt om te leren gaan met zijn of haar beperkingen.
Cognitieve stoornissen
Cognitieve stoornissen hebben betrekking op verstandelijke beperkingen. Bij patiënten met een hersenkneuzing kunnen deze stoornissen zich op de volgende manier uiten:
- Verminderd intellectueel functioneren
- Vertraging bij het verwerken van informatie (mentale traagheid)
- Aandachts-/concentratieproblemen
- Geheugenproblemen
- Oriëntatieproblemen
- Visueelruimtelijke problemen
- Problemen met het coördineren van dagelijkse en/of complexe handelingen (apraxie)
- Problemen met het herkennen van zaken
- Taalproblemen
- Problemen met het rekenen
- Problemen met de uitvoerende functies
Emotionele problemen
Een NAH-patiënt (een patiënt met niet-aangeboren hersenletsel) zal doorgaans een andere emotionele beleving doorgaan dan voor het letsel. Hij of zij is minder goed in staat om zijn of haar emoties te controleren en zal hier vaak diverse problemen mee vinden. Door het letsel lopen de hersengedeelten die de complexe zaken regelen en controleren schade op. Deze hersengedeelten zijn vervolgens minder goed in staat om de emoties enigszins te controleren, zoals normaal gesproken wel het geval is. Dit verklaart waarom de emoties bij een NAH-patiënt vaak hevig kunnen fluctueren (omdat ze minder goed dan voorheen gecontroleerd kunnen worden) en waarom patiënten gevoeliger zijn voor externe prikkels. De emotionele problemen kunnen zich op de volgende manieren uiten:
- Depressieve stemming
- Angst- en spanningsgevoelens
- Verlaagde weerstand ten opzichte van externe prikkels
- Slecht presteren onder tijdsdruk en problemen met omgaan van drukte en stress
- Verandering in seksualiteit
- Gebrek aan acceptatie en aanvaarding van de situatie
Gedragsveranderingen
Het letsel kan leiden tot aanzienlijke veranderingen in het gedrag van de patiënt. Dit is voor directbetrokkenen vaak lastig, omdat deze veranderingen heel plotseling komen en het vaak moeilijk is om te gaan met deze karakterveranderingen. Gedragsveranderingen kunnen zich op de volgende manieren uiten:
- Emotionele labiliteit
- Afwezigheid van emotionele reacties
- Onverschillig gedrag
- Ontremd gedrag (decorumverlies)
- Agressief gedrag
- Aandachtvragend gedrag
- Stereotiep gedrag (gebrek aan gedragsvariatie)
- Ongemanierd gedrag
- Impulsief en gehaast gedrag
- Egocentrisch gedrag
- Euforisch gedrag
- Slecht bestand tegen kritiek
- Dwangmatige lach- en huilbuien
- Imitatie en manipuleergedrag
- Gebrekkig ziekte-inzicht
- Sociaal onaangepast gedrag
Daarnaast kan het hersenletsel een versterking van reeds aanwezige gedragsproblemen teweegbrengen.
Fysieke problemen
Hersenletsel kan schade teweegbrengen in hersengedeelten verantwoordelijk voor de spierfuncties. Daarbij kan de mate en ernst verschillen. Tevens kunnen er fysieke beperkingen optreden, zoals gevoels-/krachtverlies, motorische en coördinatie-problemen of mogelijk zelfs een verlamming. De volgende fysieke complicaties kunnen optreden:
- Evenwichtsstoornis en problemen met bewegingscoördinatie (ataxie)
- Spasticiteit en spasme
- Gevoels- en of krachtverlies in de ledematen
- Verlammingen
Revalidatie
Tijdens de revalidatieperiode bekijkt en bespreekt een behandelteam met specifieke deskundigheid wat goed en minder goed gaat bij de patiënt. Cognitieve stoornissen kunnen worden opgespoord door het afnemen van testen en het observeren van verschillende activiteiten. Door middel van adviezen en door te oefenen kan de patiënt leren hoe hij bepaalde activiteiten (nog) kan uitvoeren (zo nodig met hulp of aanpassingen). Daarnaast geeft het team adviezen hoe om te gaan met stoornissen in het denken, onthouden en handelen. Dit laatste wordt cognitieve revalidatie genoemd. Afhankelijk van de situatie bestaat het behandelteam uit een revalidatiearts, een psycholoog, een ergotherapeut, een fysiotherapeut, een logopedist, een oefentherapeut Cesar en een maatschappelijk werker. Ook als de patiënt al enige tijd geleden een contusio cerebri heeft gehad, kan revalidatie nog zinvol zijn. Sommige problemen vallen pas later op of worden pas later hinderlijk, zoals geheugen-, concentratie- en denkstoornissen.
