Niersteen

Esculaap
Neem het voorbehoud bij medische informatie in acht.
Raadpleeg bij gezondheidsklachten een arts.
Niersteen
Nefrolithiasis
Niersteen van 8 mm
Niersteen van 8 mm
Niersteen
Coderingen
ICD-11
GB70.0
Eerdere versies
ICD-10: N20.0
ICD-9: 592.0
DiseasesDB 11346
MedlinePlus 000458
eMedicine med/1600
MeSH D007669
Richtlijnen
NHG-standaard M63/samenvatting
Portaal  Portaalicoon   Geneeskunde
Ultrasoon instrument met niersteen.

Een niersteen is een kristal dat zich vormt in de urinewegen.

Urine kan onder bepaalde omstandigheden (over)verzadigd zijn met bepaalde oplosbare stoffen, die daaruit soms neerslaan in de vorm van kristallen. Die kristallen kunnen soms groot genoeg worden om obstructies te vormen of andere klachten te veroorzaken in de urinewegen. Men spreekt dan van nierstenen, ureterstenen of blaasstenen, afhankelijk van waar de steen zich bevindt. Medische termen zijn nefrolithiasis (niersteen) of urolithiasis (urinewegsteen).

Nierstenen ontstaan vaak in de nierkelken en het nierbekken.

Grootte

Nierstenen variëren doorgaans in grootte van zandkorrelgroot tot kastanjegroot; de klachten nemen niet noodzakelijk toe met de grootte. In 2009 werd een uitzonderlijk grote niersteen met een diameter van 17 centimeter en een gewicht van ongeveer 1125 gram bij een Hongaarse man verwijderd[1]. De kleinere stenen worden als ze losraken meegespoeld en geven dan aanleiding tot pijn en meestal iets bloed in de urine; grote stenen blijven vaak symptoomloos maar kunnen een schuilplaats worden voor bacteriën, met recidiverende urineweginfecties tot gevolg, of kunnen leiden tot verstopping van een afvoersysteem.

Samenstelling

Nierstenen kunnen bestaan uit een aantal verschillende verbindingen. De meest voorkomende is calciumoxalaat. Het gebruik van veel calcium in het dieet leidt overigens niet tot een hoger niersteenrisico. Het is zelfs zo dat mensen met nierstenen gemiddeld minder calcium gebruiken dan mensen zonder nierstenen. De reden is waarschijnlijk dat calcium in de darm oxalaat bindt dat dan vervolgens niet meer door het lichaam wordt opgenomen. Calciumhoudende stenen zijn op de gewone röntgenfoto van de buik meestal waarneembaar; dit geldt niet voor alle stenen. Andere stoffen waaruit nierstenen kunnen bestaan zijn struviet, calciumfosfaat, urinezuur en cystine (alleen bij mensen met de ziekte cystinurie). Struvietstenen ontstaan meestal in aanwezigheid van een bepaalde bacterie (vooral Proteus mirabilis) die ureum omzet in ammoniak en koolstofdioxide (ammoniumcarbonaat).

Bij analyse van 8390 nierstenen in de periode 1970-1985 bleek de samenstelling van de stenen als volgt: alleen calciumoxalaat 44,0%, calciumoxalaat met calciumfosfaat 29,5%, alleen calciumfosfaat 6,3%, urinezuur bevattend 5,5% en cystine 1%. De stenen waren in 90% van de gevallen calciumhoudend. Analyse liet zien dat 24% van de stenen uit 1 component bestond, 59% bevatte 2 componenten. Verder bleken 338 van de onderzochte 8390 stenen (4%) geen niersteen maar iets anders.[2]

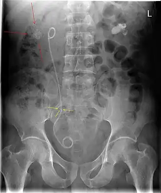
Röntgenfoto van de buik met beiderzijds een 'niersteen. Rechts, links op de afbeelding, zijn meerdere nierstenen zichtbaar (Zie rode pijlen). De grote witte vlek links, (rechts op de afbeelding) is één grote steen, vaak aangeduid met de naam 'koraalsteen' of 'afgietselsteen'. Verder is er ook een steen zichtbaar in de rechter urineleider (zie gele pijlen). Ter behandeling van de hierdoor optredende ureterstenose is er een dubbel-J katheter geplaatst.

Symptomen

Als nierstenen losraken uit de nier en in de urineleider tussen de nier en de blaas terechtkomen, kunnen ze leiden tot (vaak zeer hevige) pijn, vaak van krampend karakter (koliekpijn), in de rug, de lendenen, de buik en de lies, afhankelijk van de plaats van de steen, ook vaak met uitstraling langs dit traject, omhoog of omlaag. Bij mannen treedt vaak ook uitstraling naar de penis of het scrotum op, bij vrouwen naar de buitenste schaamlippen. De patiënt heeft tijdens de koliek 'bewegingsdrang', dit wil zeggen dat hij niet stil kan blijven zitten of liggen in tegenstelling tot de pijn bij blindedarmontsteking waarbij de patiënt meestal liefst zo stil mogelijk blijft liggen omdat bewegen pijn doet. Er is bij niersteenkolieken bijna altijd ook (microscopisch of macroscopisch) bloed in de urine aantoonbaar (hematurie).

Als de steen eenmaal in de blaas is, is het leed geleden; het uitplassen via de plasbuis gaat vaak ongemerkt omdat de diameter van de plasbuis groter is dan van de ureter. De steen wordt vaak spontaan geloosd na een aantal uren of dagen; gebeurt dat niet of treedt er langdurige stuwing of infectie op, dan zal er vaak moeten worden ingegrepen.

Diagnose

Vaak zijn de klachten samen met het aantonen van bloed in de urine voldoende om de diagnose te stellen. Er zijn echter meer ziekten die zich op een vergelijkbare manier presenteren. Als de klachten en het bloed in de urine in de loop van ongeveer een week niet verdwijnen wordt vaak een echo gemaakt van de nieren om te zien of de steen nog aanwezig is of dat er een andere reden gevonden kan worden voor de klachten. Tegenwoordig wordt er bij nierstenen geen IVP meer gemaakt, een CT-scan van de buik is hiervoor beter geschikt.

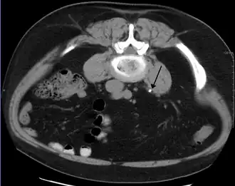
CT-scan van de buik met een steen van 3 mm in de linker ureter (pijl)

Behandeling

Meestal wordt iets gegeven tegen de hevige pijn die zoals gezegd typisch is voor een niersteenkoliek. Vaak is dat een NSAID zoals diclofenac. Na ongeveer een week zouden de klachten over moeten zijn en mag de urine geen bloed meer bevatten. Nierstenen die niet spontaan worden geloosd kunnen op een aantal manieren worden verwijderd:

  • door vergruizing (lithotripsie) met een niersteenvergruizer (lithotriptor)
  • door met een 'grijper' via de urineleider en de blaas de steen uit de nier of urineleider te halen
  • door operatief ingrijpen (nog maar zelden nodig)
  • door ze op te lossen (chemolyse).

Tijdens een niersteenaanval moet de patiënt niet te veel drinken omdat dit een nieuwe aanval kan uitlokken.

Preventie

Een algemene manier om nierstenen te voorkomen is meer te drinken. In het algemeen wordt aangeraden om zoveel te drinken dat de patiënt ca. 2 liter urine per dag produceert. Voor calciumstenen is het niet nuttig om kalkhoudende producten te vermijden. Een grotere calciuminname via de voeding lijkt de kans op het krijgen van nierstenen te verkleinen, waar gebruik van calciumtabletten de kans op steenvorming juist lijkt te vergroten. Bij steeds terugkerende calciumoxalaatstenen kan een thiazidediureticum worden gebruikt. In de praktijk blijkt het meestal niet mogelijk om de oorzaak voor de steenvorming op te sporen. In zeldzame gevallen, zoals bij primaire hyperoxalurie, kan het gebruik van vitamine B6 de steenvorming verminderen.

Pathogenese

Ondertussen is vast komen te staan dat er in de urine steenvormingbevorderende stoffen en steenvormingremmende stoffen voorkomen. Citraat (de basische zuurrest van citroenzuur) en carbonaat behoren tot de steenvormingremmers. Een zeldzame oorzaak van nierstenen is primaire hyperoxalurie. Daarbij produceert de lever de stof oxaalzuur. Dit komt in de urine en leidt tot calciumoxalaat nierstenen. Vitamine B6 op doktersvoorschrift kan de oxaalzuurvorming bij een deel van mensen met primaire hyperoxalurie verminderen.

Zoek niersteen op in het WikiWoordenboek.