Osteogenesis imperfecta

Esculaap
Neem het voorbehoud bij medische informatie in acht.
Raadpleeg bij gezondheidsklachten een arts.
Osteogenesis imperfecta
Brozebottenziekte
Osteogenesis imperfecta
Synoniemen
Latijn osteogenesis imperfecta tarda[1]

fragilitas ossium hereditaria[1]

Nederlands ziekte van Lobstein[2]

brekebeentje[3]
breekbare botten[3]

Coderingen
ICD-11
LD24.K0
Eerdere versies
ICD-10: Q78.0
ICD-9: 756.51
OMIM [1]
DiseasesDB 9342
DOID 12347
MedlinePlus 001573
eMedicine ped/1674
MeSH D010013
Portaal  Portaalicoon   Geneeskunde

Osteogenesis imperfecta[3] (OI) of brozebottenziekte is een zeldzame, aangeboren en erfelijke bindweefselaandoening, die met name gekenmerkt is door zeer broze botten. Door een genmutatie is de hoeveelheid en/of de samenstelling van het collageen type 1 (meestal) afwijkend.

Symptomen

De blauwe sclerae die veel voorkomen bij mensen met osteogenesis imperfecta

OI wordt vooral gekenmerkt door een verminderde stevigheid van de botten. Hierdoor kunnen gemakkelijk botbreuken (fracturen) ontstaan en vergroeiingen (deformaties) van de armen, benen, wervelkolom, borstkas en/of de schedel. Tevens kunnen de gewrichten overbeweeglijk (hyperlaxiteit) zijn. In sommige gevallen is ook het gebit aangetast, waarbij men spreek over dentinogenesis imperfecta. Daarnaast komen diverse nevenverschijnselen voor als blauw sclera (oogwit), bolle (enigszins uitpuilende) ogen (exophthalmus) en doofheid. Andere klachten kunnen zijn: vermoeidheid, pijn en/of overmatige transpiratie. Blauwe plekken en bloedneuzen treden eveneens gemakkelijk op. De symptomen kunnen tussen patiënten zeer verschillend in aard en in ernst zijn.

Diagnose

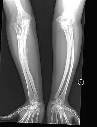
De diagnose wordt gesteld aan de hand van de bovengenoemde symptomen. Opvallend is dat baby's met ernstigere typen OI vaak al met gebroken botten geboren worden. Ook hebben patiënten vaak al op jonge leeftijd meerdere botbreuken opgelopen. Radiologisch onderzoek kan de diagnose bevestigen. Daarnaast is er genetisch onderzoek mogelijk om de diagnose met zekerheid vast te stellen en de exacte genmutatie te achterhalen.

Typen

Er zijn verschillende typen OI:

Type Ernst en prevalentie Toelichting
Type I De mildste vorm;
komt het meest voor
Het (normale) collageen is verminderd aanwezig. Ook zijn er bij dit type aanwijzingen (nog geen bewijzen) dat er rond de jongvolwasseneheid een verhoogd risico op osteoporose is.
Type II Ernstig De kwaliteit of de hoeveelheid van het collageen is onvoldoende. Patiënten sterven vaak in het eerste levensjaar ten gevolge van ademhalingsproblemen en hersenbloedingen.
Type III Ernstig Dit type kan al voor de geboorte breuken geven. Patiënten hebben vaak wel een normale levensverwachting, maar met langzaam progressieve verschijnselen en misvormingen.
Type IV Er is voldoende collageen, maar van een slechte kwaliteit. Botmisvormingen met name vanaf de puberteit.
Type V Symptomen vergelijkbaar met Type IV. Recent. ontdekt. Te onderscheiden door een andere histologie.
Type VI Symptomen vergelijkbaar met Type IV. Recent. ontdekt. Te onderscheiden door een andere histologie.

Behandeling

Er is geen behandeling van de oorzaak van de ziekte. Wel kunnen de eventuele symptomen en gevolgen worden bestreden. Dit vergt een multidisciplinaire benadering. De symptomatische therapie bestaat uit behandeling van fracturen, operatieve correctie van deformaties en adequate pijnstilling, ook bij jonge kinderen. Meestal volgt hierna een zo kort mogelijke periode van immobilisatie (bijvoorbeeld met tape, spalk of gips). Vaak kan behandeling met bisfosfonaten de botdichtheid verbeteren.

Erfelijkheid

Osteogenesis Imperfecta is een aangeboren aandoening. De overerving is meestal autosomaal dominant en soms autosomaal recessief. In de meeste gevallen krijgt iemand O.I door overerving via een aangedane ouder of via ouders die drager zijn van het afwijkende gen. Spontane mutaties komen echter ook voor: bij ongeveer 25-30% van de patiënten zijn beide ouders gezond.

Prevalentie

De prevalentie wordt wereldwijd geschat op ten minste 1/15.000 inwoners. In Nederland zijn er meer dan 1.000 mensen met OI. De exacte prevalentie- en incidentiecijfers zijn onbekend omdat bij patiënten zonder duidelijke symptomen niet altijd een diagnose wordt gesteld. Jaarlijks worden in Nederland 10-15 kinderen met OI geboren (bij 200.000 geboorten). De huisarts met een normpraktijk van 2.500 patiënten die dertig jaar werkt, heeft op basis van deze cijfers ten hoogste één patiënt met OI in zijn of haar praktijk. Door het erfelijke aspect zullen er echter per praktijk soms meerdere patiënten uit één familie zijn.

Preventie

Pre-implantatiegenetische diagnostiek is een medische procedure die gezinnen met OI kunnen ondergaan om te garanderen dat hun nakomelingen niet aangetast zijn.

Osteogenesis imperfecta en anesthesie

Door het veelvuldig breken van botten is er vaak een operatieve ingreep nodig. Extra maatregelen zijn dan nodig ter bescherming van de patiënt. Zo moet men bijvoorbeeld niet te vaak de bloeddruk meten, en mag de bloeddrukband niet te lang opgepompt blijven. De positie van de patiënt tijdens een operatie is extreem belangrijk. Manipulaties met de nek of andere lichaamsdelen dienen zorgvuldig plaats te vinden. Schade aan het gebit kan eenvoudig ontstaan.

Zie ook