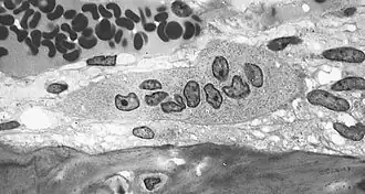
Osteoclast





Er vindt in het menselijk lichaam voortdurend ombouw plaats van botweefsel. Cellen met de naam osteoclasten[1] (van het Oudgriekse ὀστέον (osteon) 'bot' en κλαστός (clastos) 'gebroken') breken bot af (osteoclasie), de osteoblasten bouwen bot op. Osteoclasten worden gekenmerkt door een cytoplasma met een homogeen, "schuimig" uiterlijk. Dit uiterlijk is te danken aan een hoge concentratie blaasjes en vacuolen. Deze vacuolen omvatten lysosomen gevuld met zure fosfatase. Dit maakt karakterisering van osteoclasten mogelijk door hun kleuring voor hoge expressie van tartraatresistente zure fosfatase (TRAP) en cathepsine K. Het ruw endoplasmatisch reticulum van osteoclasten is schaars en ze hebben een uitgebreid golgicomplex.[2][3][4] Osteoclasten ontstaan uit de fusie van monocyten, dit leidt tot de vormig van grote, meerkernige cellen. Menselijke osteoclasten hebben doorgaans vier celkernen[5] en hebben een diameter van 150–200 μm. Osteoclasten werden in 1873 ontdekt door Albert von Kölliker.[6]
De periode dat de osteoclasten het bot oplossen, wordt osteolyse genoemd. Bij de opbouw van het bot, hebben de osteoblasten calcium nodig. Dit calcium wordt uit het bloed gehaald, door het kanaal van Havers.
Bij osteoporose ligt het evenwicht te ver naar de osteoclasten. Onder meer in de jeugd hebben de osteoblasten de overhand.
De osteoclast breekt af en verteert de samenstelling van gehydrateerde eiwitten en mineralen op moleculair niveau door zuur en collageenase af te scheiden, een proces dat bekendstaat als botresorptie. Dit proces helpt ook bij het reguleren van het calciumgehalte in het bloed.
Osteoclasten worden aangetroffen op die oppervlakken van bot die resorptie ondergaan. Op dergelijke oppervlakken bevinden de osteoclasten zich in ondiepe depressies die resorptie uithollingen worden genoemd (lacunae van Howship). De resorptie uithollingen worden gevormd door de erosieve werking van osteoclasten op het onderliggende bot. De rand van het onderste deel van een osteoclast vertoont vingerachtige uitsteeksels vanwege de aanwezigheid van diepe instulpingen van het celmembraan; deze rand wordt de gerafelde rand genoemd. De gerafelde rand maakt contact met het botoppervlak binnen een resorptie uitholling. De periferie van de gerafelde rand is omgeven door een ringvormige zone van cytoplasma die geen organellen bevat, maar rijk is aan actinefilamenten. Deze zone wordt heldere zone of afdichtingszone genoemd. De actinefilamenten zorgen ervoor dat het celmembraan rondom de afdichtingszone stevig verankerd wordt aan de benige wand van de lacune van Howship. Op deze manier wordt een gesloten subosteoclastisch compartiment gecreëerd tussen de gerafelde rand en het bot dat resorptie ondergaat. De osteoclasten scheiden waterstofionen, collageenase, cathepsine K en hydrolytische enzymen af in dit compartiment. Resorptie van botmatrix door de osteoclasten omvat twee stappen:
- oplossen van anorganische componenten (mineralen) en
- vertering van organische componenten van de botmatrix.
De osteoclasten pompen waterstofionen in het subosteoclastische compartiment en creëren zo een zure micro-omgeving, die de oplosbaarheid van botmineralen vergroot, wat resulteert in de afgifte en herintreding van botmineralen in het cytoplasma van osteoclasten om te worden afgeleverd aan nabijgelegen haarvaten. Na verwijdering van mineralen worden collageenase en gelatinase afgescheiden in het subosteoclastische compartiment. Deze enzymen verteren en breken collageen en andere organische componenten van de ontkalkte botmatrix af. De afbraakproducten worden door osteoclasten gefagocyteerd aan de ingestulpte rand. Vanwege hun fagocytische eigenschappen worden osteoclasten beschouwd als een component van het mononucleaire fagocytensysteem(MPS). Het MPS is een onderdeel van het immuunsysteem dat bestaat uit de fagocytische cellen[1] die zich in het reticulair bindweefsel bevinden. De activiteit van osteoclasten wordt gecontroleerd door hormonen en cytokinen. Calcitonine, een hormoon van de schildklier, onderdrukt de osteoclastische activiteit. De osteoclasten hebben geen receptoren voor het parathyroïdhormoon (PTH). PTH stimuleert de osteoblasten echter om het cytokine osteoclaststimulerende factor af te scheiden, wat een krachtige stimulator is van de osteoclastische activiteit.[7]
Een odontoclast is een osteoclast die geassocieerd wordt met de absorptie van de wortels van melktanden.[8][9][10]
Functie
De osteoclastische resorptie is afhankelijk van een reeks externe regulerende factoren zoals parathyroïdhormoon, 1,25-dihydroxycalciferol (vitamine D3) en calcitonine. Andere factoren die de functionaliteit van osteoclasten beïnvloeden zijn glucocorticoïden en prostaglandinen. Het neemt ook deel aan de processen van endochondrale ossificatie en endesmale ossificatie bij botbreuken. Dit komt door de resorptie van materiaal en de daaropvolgende tussenkomst van osteocyten bij botherstel.
Na activering verplaatsen osteoclasten zich door chemotaxis naar gebieden met microfracturen in het bot. De afdichtingszone is de hechting van het celmembraan van de osteoclast aan het onderliggende bot. De afdichtingszones worden begrensd door gordels van gespecialiseerde adhesiestructuren, podosomen genoemd. Hechting aan de botmatrix wordt mogelijke gemaakt door integrinereceptoren, zoals αvβ3, via het specifieke structuurmotief Arg-Gly-Asp in botmatrixproteïnen, zoals osteopontine. De osteoclast geeft waterstofionen af door de werking van koolzuuranhydrase (H2O + CO2 → HCO3− + H+) door de rafelige rand in de resorptie holte, waardoor de gemineraliseerde botmatrix wordt verzuurd en opgelost in Ca2+, H3PO4, H2CO3, water en andere stoffen. Er is gedocumenteerd dat door het niet functioneren van koolzuuranhydrase bepaalde vormen van osteopetrose veroorzaakt. Waterstofionen worden tegen een hoge concentratiegradiënt gepompt door protonpompen. Dit enzym is gericht op de preventie van osteoporose. Daarnaast worden verschillende hydrolytische enzymen, zoals leden van de cathepsine- en matrixmetalloprotease (MMP)-groepen, vrijgegeven om de organische componenten van de extracellulaire matrix te verteren. Deze enzymen worden door lysosomen in het compartiment vrijgegeven. Van deze hydrolytische enzymen is cathepsine K het belangrijkst.
Cathepsine K en andere cathepsinen
Cathepsine K is een collagenolytisch papaïne-achtig cysteïneprotease dat voornamelijk tot expressie komt in osteoclasten en wordt afgescheiden in de resorptie uitholling. Cathepsine K is de belangrijkste protease dat betrokken is bij de afbraak van type I collageen en andere niet-collageenachtige eiwitten. Mutaties in het cathepsine K-gen worden geassocieerd met pycnodysostose, een erfelijke osteopetrotische ziekte, gekenmerkt door een gebrek aan functionele cathepsine K-expressie. knockoutstudies van cathepsine K bij muizen leiden tot een osteopetrotisch fenotype, dat gedeeltelijk wordt gecompenseerd door verhoogde expressie van andere proteasen dan cathepsine K en verbeterde osteoclastogenese.
Cathepsine K heeft een optimale enzymatische activiteit in zure omstandigheden. Het wordt gesynthetiseerd als een pro-enzym met een moleculaire massa van 37kDa en wordt na activering door autokatalytische splitsing getransformeerd in de volwassen, actieve vorm met een moleculaire massa van ~27kDa.
Na polarisatie van de osteoclast over de plaats van resorptie wordt cathepsine K afgescheiden van de gerafelde rand in de resorptie uitholling. Cathepsine K transmigreert over de gerafelde rand door intercellulaire blaasjes en wordt vervolgens vrijgegeven door het functionele uitscheidingsdomein. Binnen deze intercellulaire blaasjes breekt cathepsine K, samen met reactieve zuurstofsoorten gegenereerd door TRAP, de extracellulaire matrix van het bot verder af.
Verschillende andere cathepsinen worden tot expressie gebracht in osteoclasten, waaronder cathepsinen B, C, D, E, G en L. De functie van deze cysteïne- en asparaginezuur-proteasen is over het algemeen onbekend in bot en ze worden tot expressie gebracht op veel lagere niveaus dan cathepsine K.
Studies met cathepsine L knockout muizen vertonen verschillende resultaten, met een rapport van verminderd trabeculair bot in homozygote en heterozygote cathepsine L knockout muizen vergeleken met wildtype en een ander rapport dat geen skeletafwijkingen vond.
Fysiologie van osteoclasten
In de jaren 80 en 90 werd de fysiologie van typische osteoclasten in detail bestudeerd. Met de isolatie van de gerafelde rand werd het ionentransport eroverheen direct in biochemisch detail bestudeerd. Energieafhankelijk zuurtransport werd geverifieerd en de veronderstelde protonpomp gezuiverd.[11][12] Met de succesvolle kweek van osteoclasten werd het duidelijk dat ze georganiseerd zijn om het enorme transport van protonen te ondersteunen voor verzuring van het resorptiecompartiment en het oplossen van het botmineraal. Dit omvat de Cl−-permeabiliteit van de gerafelde rand om het membraanpotentieel en de basolaterale Cl−/HCO3−-uitwisseling te regelen om de cytosolaire pH binnen fysiologisch aanvaardbare bereiken te houden.[13][14][15]
De effectiviteit van de ionenafscheiding hangt af van een effectieve afdichting rond het resorptiecompartiment. De positionering van deze afdichtingszone lijkt te worden gemedieerd door integrinen die tot expressie komen op het osteoclastoppervlak.[20] Met de afdichtingszone op zijn plaats reorganiseert de meerkernige osteoclast zichzelf. De ontwikkeling van het sterk ingegroeide gerafelde membraan dat het resorptiecompartiment vormt, maakt een enorme uitscheidingsactiviteit mogelijk. Bovendien staat het de vesiculaire transcytosis van het mineraal en afgebroken collageen toe van de gerafelde rand naar het vrije celmembraan, en de afgifte ervan in de extracellulaire ruimte.[21][22] Deze activiteit voltooit de botresorptie, en zowel de minerale componenten als de collageenfragmenten worden vrijgegeven aan de algemene circulatie. Transcytosis is het transcellulair transport waarbij verschillende macromoleculen door het inwendige van een cel worden getransporteerd.
Matrixmetalloproteïnasen
De matrixmetalloproteïnasen (MMP's) vormen een familie van meer dan 20 zinkafhankelijke proteasen. De rol van matrixmetalloproteïnasen in de osteoclastbiologie is slecht gedefinieerd, maar in een ander weefsel zijn ze in verband gebracht met tumorbevorderende activiteiten, zoals activering van groeifactoren en zijn ze vereist voor tumormetastase en angiogenese.
MMP9 is geassocieerd met de botmicro-omgeving. Het wordt tot expressie gebracht door osteoclasten en is bekend dat het vereist is voor osteoclastmigratie en is een krachtige gelatinase. Transgene muizen zonder MMP-9 ontwikkelen defecten in botontwikkeling, intraossale angiogenese en fractuurherstel.
Er wordt aangenomen dat MMP-13 betrokken is bij botresorptie en osteoclastdifferentiatie, aangezien knockout-muizen een verminderd aantal osteoclasten, osteopetrose en verminderde botresorptie vertoonden.
Tot de door de osteoclast tot expressie gebrachte MMP's behoren MMP-9, -10, -12 en -14. Afgezien van MMP-9 is er weinig bekend over hun relevantie voor de osteoclast. Er worden echter hoge niveaus van MMP-14 aangetroffen in de afdichtingszone.
Regulering
Osteoclasten worden gereguleerd door verschillende hormonen, waaronder parathyroïdhormoon (PTH) uit de bijschildklier, calcitonine uit de schildklier en groeifactor interleukine 6 (IL-6). Dit laatste hormoon, IL-6, is een van de factoren bij de ziekte osteoporose. Osteoporose treedt op wanneer er geen evenwicht is tussen de botresorptieactiviteiten van osteoclasten en de botvormingsactiviteiten van osteoblasten.[16]
De activiteit van osteoclasten wordt ook gemedieerd door de interactie van twee moleculen die door osteoblasten worden geproduceerd, namelijk osteoprotegerine en RANK-ligand. Deze moleculen reguleren ook de differentiatie van de osteoclast.[17][18]
Ontwikkeling


Sinds hun ontdekking in 1873 is er veel discussie geweest over hun oorsprong.
- Van 1949 tot 1970 was de oorsprong van bindweefsel populair, die stelde dat osteoclasten en osteoblasten van dezelfde afstammingslijn zijn, en osteoblasten fuseren tot osteoclasten.
- Na jaren van controverse is het nu duidelijk dat deze cellen zich ontwikkelen uit de fusie van macrofagen.[19]
- Begin 1980 werd het monocyten-fagocytische systeem erkend als voorloper van osteoclasten.[6] Voor de vorming van osteoclasten is de aanwezigheid van RANKL (receptor activator of nuclear factor κβ ligand) en M-CSF (macrophage colony-stimulating factor) vereist. Deze membraangebonden eiwitten worden geproduceerd door naburige mesenchymatische stamcelcellen en osteoblasten, waardoor direct contact tussen deze cellen en osteoclastprecursoren vereist is.
M-CSF werkt via zijn receptor op de osteoclast, c-fms (koloniestimulerende factor 1-receptor), een transmembraantyrosinekinasereceptor, wat leidt tot secundaire messenger-activering van tyrosinekinase Src. Beide moleculen zijn noodzakelijk voor osteoclastogenese en zijn breed betrokken bij de differentiatie van monocyten/macrofagen-afgeleide cellen.
RANKL is een lid van de tumornecrosefactor (TNF) en is essentieel bij osteoclastogenese. RANKL knockout-muizen vertonen een fenotype van osteopetrose en defecten van het doorkomen van tanden, samen met een afwezigheid of tekort aan osteoclasten. RANKL activeert NF-κB en NFATc1 via RANK. NF-κβ-activering wordt bijna onmiddellijk gestimuleerd nadat RANKL-RANK-interactie optreedt en wordt niet upgereguleerd. NFATc1-stimulatie begint echter ~24–48 uur nadat binding optreedt en de expressie ervan is aangetoond RANKL-afhankelijk te zijn.
Osteoclastdifferentiatie wordt geremd door osteoprotegerine (OPG), dat wordt geproduceerd door osteoblasten en bindt aan RANKL, waardoor interactie met RANK wordt voorkomen. Terwijl osteoclasten afkomstig zijn van de hematopoëtische stamcellen, zijn osteoblasten afkomstig van mesenchymatische stamcellen.[20][21]
Botplaatsspecifieke osteoclasten
Er zijn botplaatsspecifieke osteoclasten, die een ander enzymatisch repertoire gebruiken tijdens de botresorptiefunctie.[22] Bijvoorbeeld osteoclasten in het schedeldak- of schouderbladbot gebruiken bij voorkeur matrixmetalloproteïnasen voor hun afbraak, hoewel ze cathepsines tot expressie kunnen brengen. Een ander opmerkelijk verschil tussen groepen osteoclasten op verschillende botlocaties is de hoeveelheid tartraatresistente zure fosfatase die vrijkomt op bothermodelleringsplaatsen.[22] Schedeldak-osteoclasten vertonen verhoogde niveaus van tartraatresistente zure fosfatase - tot 25 keer hoger - vergeleken met de niveaus op lange botten, waarschijnlijk ter compensatie van de hogere activiteit van het bovengenoemde cysteïne-protease en ook om de niet-collageenachtige eiwitten van dit bottype af te breken.[23]
Klinische betekenis
Gigantische osteoclasten kunnen voorkomen bij sommige ziekten, waaronder de botziekte van Paget en bisfosfonaattoxiciteit.
Bij katten kan abnormale odontoclast-activiteit leiden tot odontoclastische resorptielaesies bij katten, waardoor extractie van de aangetaste tanden noodzakelijk is.
Osteoclasten spelen een belangrijke rol bij orthodontische tandverplaatsing en pathologische migratie van parodontaal aangetaste tanden.
Zie ook
Dit artikel of een eerdere versie ervan is een (gedeeltelijke) vertaling van het artikel Osteoclast op de Engelstalige Wikipedia, dat onder de licentie Creative Commons Naamsvermelding/Gelijk delen valt. Zie de bewerkingsgeschiedenis aldaar.
- ↑ Everdingen, J.J.E. van, Eerenbeemt, A.M.M. van den (2012). Pinkhof Geneeskundig woordenboek (12de druk). Houten: Bohn Stafleu Van Loghum.
- ↑ Gray's Anatomy, 39th. Elsevier (2005).
- ↑ Holtrop ME, King GJ (1977). The ultrastructure of the osteoclast and its functional implications. Clinical Orthopaedics and Related Research 123 (123): 177–96. PMID 856515. DOI: 10.1097/00003086-197703000-00062. Gearchiveerd van origineel op Mar 25, 2024.
- ↑ Väänänen HK, Zhao H, Mulari M, Halleen JM (February 2000). The cell biology of osteoclast function. Journal of Cell Science 113 (3): 377–81. PMID 10639325. DOI: 10.1242/jcs.113.3.377.
- ↑ Piper K, Boyde A, Jones SJ (1992). The relationship between the number of nuclei of an osteoclast and its resorptive capability in vitro. Anatomy and Embryology 186 (4): 291–9. PMID 1416078. DOI: 10.1007/BF00185977.
- ↑ a b Nijweide PJ, Burger EH, Feyen JH (October 1986). Cells of bone: proliferation, differentiation, and hormonal regulation. Physiological Reviews 66 (4): 855–86. PMID 3532144. DOI: 10.1152/physrev.1986.66.4.855.
- ↑ Medical Histology by Laiq Hussain Siddiqui (6th Edition)
- ↑ Odontoclast. Farlex, The Free Dictionary (2007). Geraadpleegd op 6 november 2013.
- ↑ Wang Z, McCauley LK (March 2011). Osteoclasts and odontoclasts: signaling pathways to development and disease. Oral Diseases 17 (2): 129–42. PMID 20659257. DOI: 10.1111/j.1601-0825.2010.01718.x.
- ↑ Chatterjee K (1 december 2006). Essentials of Oral Histology. Jaypee Brothers Publishers, p. 155. ISBN 978-81-8061-865-9.[dode link]
- ↑ Blair HC, Teitelbaum SL, Ghiselli R, Gluck S (August 1989). Osteoclastic bone resorption by a polarized vacuolar proton pump. Science 245 (4920): 855–7. PMID 2528207. DOI: 10.1126/science.2528207.
- ↑ Mattsson JP, Schlesinger PH, Keeling DJ, Teitelbaum SL, Stone DK, Xie XS (October 1994). Isolation and reconstitution of a vacuolar-type proton pump of osteoclast membranes. The Journal of Biological Chemistry 269 (40): 24979–82. PMID 7929181. DOI: 10.1016/S0021-9258(17)31485-0.
- ↑ Teti A, Blair HC, Teitelbaum SL, Kahn AJ, Koziol C, Konsek J, Zambonin-Zallone A, Schlesinger PH (January 1989). Cytoplasmic pH regulation and chloride/bicarbonate exchange in avian osteoclasts. The Journal of Clinical Investigation 83 (1): 227–33. PMID 2910910. PMC 303666. DOI: 10.1172/jci113863.
- ↑ Blair HC, Teitelbaum SL, Tan HL, Koziol CM, Schlesinger PH (June 1991). Passive chloride permeability charge coupled to H(+)-ATPase of avian osteoclast ruffled membrane. The American Journal of Physiology 260 (6 Pt 1): C1315-24. PMID 1829326. DOI: 10.1152/ajpcell.1991.260.6.C1315.
- ↑ Schlesinger PH, Blair HC, Teitelbaum SL, Edwards JC (July 1997). Characterization of the osteoclast ruffled border chloride channel and its role in bone resorption. The Journal of Biological Chemistry 272 (30): 18636–43. PMID 9228032. DOI: 10.1074/jbc.272.30.18636.
- ↑ Dance, Amber (23 February 2022). Fun facts about bones: More than just scaffolding. Knowable Magazine. DOI: 10.1146/knowable-022222-1. Geraadpleegd op 8 March 2022.
- ↑ Schoppet M, Preissner KT, Hofbauer LC (April 2002). RANK ligand and osteoprotegerin: paracrine regulators of bone metabolism and vascular function. Arteriosclerosis, Thrombosis, and Vascular Biology 22 (4): 549–53. PMID 11950689. DOI: 10.1161/01.ATV.0000012303.37971.DA.
- ↑ Shirazi, Sajjad, Ravindran, Sriram, Cooper, Lyndon F. (2022). Topography-mediated immunomodulation in osseointegration; Ally or Enemy. Biomaterials 291: 121903. ISSN: 1878-5905. PMID 36410109. PMC 10148651. DOI: 10.1016/j.biomaterials.2022.121903.
- ↑ S. L. Teitelbaum (2000). Bone Resorption by Osteoclasts. Science 289 (5484): 1504–1508. PMID 10968780. DOI: 10.1126/science.289.5484.1504.
- ↑ Michou, Laëtitia, Numan, Mohamed, Amiable, Nathalie, Brown, Jacques P. (2015). Paget's disease of bone: An osteoimmunological disorder?. Drug Design, Development and Therapy 9: 4695–707. PMID 26316708. PMC 4544727. DOI: 10.2147/DDDT.S88845.
- ↑ Numan, Mohamed, Brown, Jacques, Michou, Laëtitia (2015). Impact of Air Pollutants on Oxidative Stress in Common Autophagy-Mediated Aging Diseases. International Journal of Environmental Research and Public Health 12 (2): 2289–2305. PMID 25690002. PMC 4344726. DOI: 10.3390/ijerph120202289.
- ↑ a b Everts, Teun J. de Vries et Miep H. Helfrich, « Osteoclast heterogeneity: », Biochimica et Biophysica Acta (BBA) - Molecular Basis of Disease, vol. 1792, no 8, août 2009, p. 757–765 (DOI 10.1016/j.bbadis.2009.05.004, geraadpleegd op 9 maart 2024
- ↑ Perez-Amodio, D. C. Jansen, T. Schoenmaker et I. M. C. Vogels (Oktober 2006). S. Calvarial Osteoclasts Express a Higher Level of Tartrate-Resistant Acid Phosphatase than Long Bone Osteoclasts and Activation Does not Depend on Cathepsin K or L Activity. Calcified Tissue International 79 (4): 245–254. DOI: 10.1007/s00223-005-0289-z. , geraadpleegd op 9 maart 2024