Endochondrale ossificatie




Endochondrale ossificatie, ook wel endochondrale botvorming is het vormen van lange botten en korte botten, de ribben en wervels en de bovenste en onderste ledematen,[1] de botten van de schedelbasis (inclusief het zeefbeen en wiggenbeen)[2] en het mediale uiteinde van het sleutelbeen.[3] Bovendien is endochondrale ossificatie niet beperkt tot de embryonale ontwikkeling, maar speelt het ook een cruciale rol bij de genezing van botbreuken.[4] De term endochondraal betekent dat het proces van binnenuit wordt uitgevoerd.
Bij de endochondrale ossificatie vindt ossificatie plaats, vanuit kraakbeen, en vindt bijvoorbeeld in de epifysairschijven, groeischijven, plaats. Hiervoor is een hyaline kraakbeenprecursor nodig. Er zijn twee centra van ossificatie voor endochondrale ossificatie.
Variaties in het ritme van endochondrale ossificatie, zoals het stoppen van de laatste endochondrale ossificatie, zijn op röntgenfoto's te zien als groei-stop-strepen met een hogere botdichtheid (Harris-lijnen).
Het primaire centrum
In lange botten verschijnt botweefsel eerst in het primaire ossificatiecentrum in het midden van de diafyse (midden van de schacht). Na de vorming van het beenvlies beginnen chondrocyten in het primaire ossificatiecentrum te groeien (hypertrofie). Ze beginnen met het afscheiden van:[5][6]
- Collageen type X, dat stijfheid en het samendrukken van de extracellulaire matrix veroorzaakt.
- Matrixmetalloproteasen.
- Vasculaire endotheliale groeifactor (VEGF), die de komende vasculaire invasie controleert.
- Alkalische fosfatase, die verkalking van de kraakbeenmatrix veroorzaakt. Deze verkalking voorkomt de doorgang van voedingsstoffen naar chondrocyten, wat leidt tot hun dood.
Wanneer chondrocyten sterven, resulteren matrixmetalloproteïnasen in katabolisme van verschillende componenten binnen de extracellulaire matrix en verzwakken de fysieke grenzen tussen aangrenzende lacunae (de ruimtes waarin chondrocyten zich bevinden). Dit kan leiden tot het samensmelten van deze lacunae, waardoor grotere lege ruimtes ontstaan.[7][8] Bloedvaten die uit het beenvlies ontspringen, dringen deze lege ruimtes binnen (vasculaire invasie) en mesenchymatische stamcellen migreren geleid door binnendringende bloedvaten. Na de binnendringende bloedvaten bereiken mesenchymale stamcellen deze lege ruimtes en ondergaan differentiatie tot osteoprogenitorcellen. Deze progenitorcellen rijpen verder tot osteoblasten, die ongemineraliseerde botmatrix afzetten, osteoïd genoemd. Chondrocyten vermenigvuldigen zich en vormen trebeculae.[6] Kraakbeen wordt geleidelijk geërodeerd en vervangen door verhard bot, dat zich uitstrekt tot aan de epifyse. Een perichondriumlaag rond het kraakbeen vormt het beenvlies, dat osteogene cellen genereert die vervolgens een kraag vormen die de buitenkant van het bot omsluit en de medullaire holte aan de binnenkant hermodelleert. De botkraag ondersteunt het groeiende bot en helpt het zijn vorm te behouden.
De voedingsslagader komt binnen via het voedingsforamen vanuit een kleine opening in de diafyse. Het dringt het primaire ossificatiecentrum binnen en brengt osteogene cellen (osteoblasten aan de buitenkant, osteoclasten aan de binnenkant) mee. Het kanaal van het voedingsforamen wordt weggeleid van het actievere uiteinde van het bot wanneer het ene uiteinde meer groeit dan het andere. Wanneer bot aan beide uiteinden even snel groeit, staat de voedingsslagader loodrecht op het bot.
De meeste andere botten (bijv. wervels) hebben ook primaire ossificatiecentra en bot wordt op een vergelijkbare manier aangelegd.
Secundaire centra
De secundaire centra verschijnen over het algemeen bij de epifyse. Secundaire ossificatie vindt meestal plaats na de geboorte (behalve bij het distale femur en proximale tibia, die plaatsvinden tijdens de 9e maand van de foetale ontwikkeling). De epifysaire slagaders en osteogene cellen dringen de epifyse binnen en zetten osteoclasten en osteoblasten af die respectievelijk het kraakbeen eroderen en bot opbouwen. Dit gebeurt aan beide uiteinden van lange botten, maar slechts aan één uiteinde van vingers en ribben.
Naarmate de secundaire ossificatiecentra groter worden, blijft restkraakbeen op twee verschillende locaties bestaan:[6]
- Gewrichtskraakbeen: Deze laag bedekt de uiteinden van het bot en is betrokken bij gewrichtsbewegingen.
- Epifysaire groeischijf: Deze transversale laag ligt tussen de epifyse en diafyse. Het is samengesteld uit zeer actieve chondrocyten en verantwoordelijk voor overlangse botgroei. Bijgevolg wordt het bot langer bij deze groeischijf totdat het bij skeletvolwassenheid wordt gesloten.
Aan het einde van de groeiperiode van een individu stopt de productie van nieuw kraakbeen in de epifysaire plaat. Na dit punt verandert bestaand kraakbeen in de schijf in volgroeid botweefsel.[7]

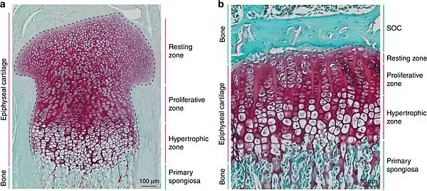
Epifysairschijven
In de epifysairschijven zijn vier zones betrokken bij endochondrale ossificatie:
I. Zone van inactief kraakbeen (reservezone): In deze zone ligt inactief hyalien kraakbeen opgeslagen
II. Proliferatiezone: Hier delen de chondrocyten zich sterk
III. Kraakbeen ombouwzone: De talrijke chondrocyten gaan de kraakbeenmatrix grotendeels resorberen, hierdoor zwellen ze op en sterven ze af en vormen zo pilaartjes, die transversale septa worden genoemd.
IV. Openingszone (ossificatiezone): In deze zone hechten de bloedvaten zich aan de transversale septa, om daar vervolgens bot te vormen
Chondrogenese en ossificatie
Chondrogenese en ossificatie zijn nauwer met elkaar verbonden dan gedacht en cellen die oorspronkelijk afkomstig zijn van het kraakbeen transformeren in botvormende osteoblasten en uiteindelijk osteocyten in tegenstelling tot alleen osteoprogenitoren. Deze osteoblasten worden epigenetisch beïnvloed door de extracellulaire matrix, die tijdens deze overgang wordt aangetroffen.[9]
Botbreukgenezing
Voor volledig herstel van een gebroken bot moet de genezen breukplek dezelfde krachten en spanningen weerstaan als vóór de botbreuk. Indirecte breukgenezing, het meest voorkomende type botherstel,[5] is sterk afhankelijk van endochondrale ossificatie. Bij dit type genezing vindt endochondrale ossificatie plaats binnen de breukopening en buiten het beenvlies. Endesmale ossificatie vindt daarentegen direct onder het beenvlies plaats, grenzend aan de uiteinden van het gebroken bot.[5][10]
Zie ook
- E. Schulte, U. Schumacher, M. Schünke, et al., Anatomische atlas Prometheus - Algemene anatomie en bewegingsapparaat, Houten, 2016. ISBN 978-90-368-1538-3
Referenties
- ↑ Blumer, Michael J. F. (1 May 2021). Bone tissue and histological and molecular events during development of the long bones. Annals of Anatomy - Anatomischer Anzeiger 235: 151704. ISSN: 0940-9602. PMID 33600952. DOI: 10.1016/j.aanat.2021.151704.
- ↑ Sadler, T.W. (2023). Langman's medical embryology, 15th. Wolters Kluwer Health. ISBN 978-1975179960.
- ↑ Hyland, S; Charlick, M; Varacallo, M (2023), "Anatomy, Shoulder and Upper Limb, Clavicle", StatPearls, Treasure Island, Florida FL): StatPearls Publishing, PMID 30252246
- ↑ Šromová, V, Sobola, D, Kaspar, P (5 november 2023). A Brief Review of Bone Cell Function and Importance.. Cells 12 (21). PMID 37947654. PMC 10648520. DOI: 10.3390/cells12212576. Sjabloon:CC-notice
- ↑ a b c Richard, Marsell, Thomas A, Einhorn (1 June 2012). The biology of fracture healing. Injury 42 (6): 551–555. PMID 21489527. PMC 3105171. DOI: 10.1016/j.injury.2011.03.031.
- ↑ a b c Chagin, AS, Chu, TL (December 2023). The Origin and Fate of Chondrocytes: Cell Plasticity in Physiological Setting.. Current Osteoporosis Reports 21 (6): 815–824. PMID 37837512. PMC 10724094. DOI: 10.1007/s11914-023-00827-1.
- ↑ a b Pawlina, Wojciech (2024). Histology: a text and atlas: with correlated cell and molecular biology, 9th. Wolters Kluwer. ISBN 9781975181574.
- ↑ (en) Mescher, Anthony L. (2023). Junqueira's Basic Histology: Text and Atlas, 17th. McGraw-Hill Education. ISBN 978-1264930395.
- ↑ Javaheri B, Caetano-Silva SP, Kanakis I, Bou-Gharios G and Pitsillides AA (2018) The Chondro-Osseous Continuum: Is It Possible to Unlock the Potential Assigned Within? Front. Bioeng. Biotechnol. 6:28. doi: 10.3389/fbioe.2018.00028
- ↑ Bahney, Chelsea S., Hu, Diane P., Miclau, Theodore, Marcucio, Ralph S. (5 February 2015). The Multifaceted Role of the Vasculature in Endochondral Fracture Repair. Frontiers in Endocrinology 6: 4. ISSN: 1664-2392. PMID 25699016. PMC 4318416. DOI: 10.3389/fendo.2015.00004.