Naevuscel

Naevuscellen zijn cellen van omstreden herkomst, óf afstammend van een stamcel uit de neurale lijst via naevoblasten, óf afstammend van een melanocyt. Het zijn in nesten liggende cellen met een grote celkern en veel cytoplasma met grove granulen (korrels).[1][2] Ze hebben geen dendrieten.
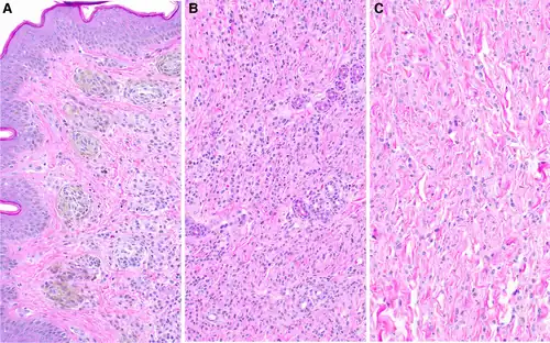
Ze bevinden zich meestal op de dermo-epidermale verbinding of in de dermis van de huid. Dermale naevuscellen kunnen verder worden onderverdeeld: type A (epithelioïde) dermale naevuscellen rijpen uit tot type B (lymfocytoïde) dermale naevuscellen, die vervolgens uitgroeien tot type C dermale naevuscellen, via een proces met neerwaartse celmigratie.[2] Daarna groeien ze nog verder uit in een dieper gelegen deel.[3]
Naevuscellen variëren in vorm, afhankelijk van hun locatie in de huid. Dieper liggende cellen vormen koord- of plaatvormige nesten.
Typen:
- Type A. In de bovenste dermis en epidermis hebben de cellen pigment en zijn ze epitheelachtig met een kubusvormige of ovale vorm, een ronde of ovale celkern, iets kleiner dan die van aangrenzende keratinocyten en met goed gedefinieerde celgrenzen. Ze hebben overvloedig cytoplasma met grove melaninekorrels. Ze hebben fijn verdeeld chromatine en een fijn kernmembraan. Er zijn geen of kleine nucleoli.
- Type B. In de middelste dermis zijn naevuscellen niet gepigmenteerd, zijn ze kleiner en hebben ze een lymfocytachtig uiterlijk. Ze hebben minder cytoplasma dan type A cellen en geen melanine. De kernen zijn kleiner met verspreid chromatine en geen nucleoli.
- Type C. In de onderste dermis zijn ze spoelvormig met een ovale kern en lijken ze op fibroblasten of Schwanncellen.
- ‘Uitgegroeid’. Dieper gelegen deel van de moedervlek heeft kleinere cellen met minder pigment en zijn atypisch. Ze komen voor in kleinere nesten of als afzonderlijke cellen. Ze kunnen lijken op zenuwweefsel.[4][3]
Naevuscellen zijn de belangrijkste component van een moedervlek.[5]
Naevuscellen zijn ook te vinden in het fibreuze kapsel en de trabeculae van lymfeklieren, in het lymfeklierparenchym[6] en de thymus.[7]
Afbeeldingen
![]() |
![]() |
![]() |
Zie ook
- ↑ Pinkhof naevuscel
- ↑ a b Habif, Thomas P. (2010). Clinical Dermatology, 5th ed.. Mosby, p. 847. ISBN 978-0-7234-3541-9.
- ↑ a b Hale CS. Nevi-general. PathologyOutlines.com website. Accessed July 13th, 2025.
- ↑ JAMES G. MARKSJR. MD, JEFFREY J. MILLER MD, Laboratory and Biopsy, Chapter Pigmented Growths, 2006, Lookingbill & Marks' Principles of Dermatology (Fourth Edition)
- ↑ "nevus cell" at Dorland's Medical Dictionary
- ↑ Biddle DA, Evans HL, Kemp BL, etal (May 2003). Intraparenchymal nevus cell aggregates in lymph nodes: a possible diagnostic pitfall with malignant melanoma and carcinoma. Am. J. Surg. Pathol. 27 (5): 673–81. PMID 12717252. DOI: 10.1097/00000478-200305000-00011.
- ↑ Parker JR, Ro JY, Ordóñez NG (March 1999). Benign nevus cell aggregates in the thymus: a case report. Mod. Pathol. 12 (3): 329–32. PMID 10102620.
.jpg)

