Multipele osteochondromen
Raadpleeg bij gezondheidsklachten een arts.
| Multipele osteochondromen | ||||
|---|---|---|---|---|
| Hereditaire multipele exostosen | ||||
| Synoniemen | ||||
| Nederlands | osteocartilaginaire exostose[1] multipele exostosen (MO) | |||
| Coderingen | ||||
| ICD-10 | Q78.6 | |||
| OMIM | [1] | |||
| DOID | 206 | |||
| MeSH | D005097 | |||
| ||||
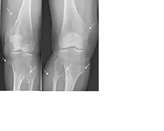
Multipele osteochondromen[1] of hereditaire multipele exostosen[1] (HME) is een erfelijke skeletaandoening die de pijpbeenderen, het bekken en de schoudergordel aantast (ICD-10 Q78.6).
Karakteristiek zijn de (vele) in principe goedaardige bottumoren (exostosen; osteochondromen) die voorzien zijn van kraakbeenkap en waarbij de mergholte verbinding heeft met die van het betreffende bot. Ze zijn vrijwel altijd gelokaliseerd rondom een gewricht en worden bij HME in tegenstelling tot bij het solitaire osteochondroom niet beschreven in de schedel of het aangezicht. Het osteochondroom kan gesteeld of breedbasisch zijn en heeft altijd een groeirichting van het gewricht af. De exostosen ontstaan vaak al op zeer jonge leeftijd (peuter- of kleuterleeftijd) en groeien vooral tijdens de groeileeftijd erg hard. Ze veroorzaken regelmatig vergroeiingen, groeistoornissen, bewegingsproblemen en pijn. Met name bij lokalisaties rondom de knie wordt een pijnlijke bursa onder de aanhechting van de hamstrings pes anserinus op het scheenbeen beschreven. Pijnklachten als gevolg van tractie op de zenuwen of pezen wordt ook frequent gezien.[2] Lokalisaties van osteochondromen in de pols kunnen ernstige deformiteiten (verkorting van de ulna en bowing van de radius) veroorzaken (39-60%). In 10-50 % van de patiënten wordt een beenlengteverschil beschreven en in 8-33% varus-valgus angulatie van de knie (O- of X-benen).[2] Grote gesteelde osteochondromen, met name in de onderste extremiteit, lopen de kans af te breken bij lichamelijke activiteiten of ongevallen. Dit wordt in ongeveer 5% van de gevallen beschreven. Ten slotte wordt soms een afwijkende wondgenezing bij HME-patiënten beschreven.
De belangrijkste complicatie van het hebben van een exostose/osteochondroom met name voor HME-patiënten is de ontwikkeling van een kwaadaardige kraakbeentumor in de kraakbeenkap (maligne degeneratie). Volwassenen hebben een verhoogde kans op kwaadaardige ontaarding van het kraakbeenweefsel van een exostose, vooral bij exostosen van de schoudergordel, het bekken, de ribben en het bovenbeen. De kans op kwaadaardige ontaarding voor patiënten met een bewezen HME wordt geschat tussen de 0,5 en 5%. Zowel bij patiënten met een solitaire exostose (osteochondroom), als bij HME patiënten is deze maligne degeneratie op adolescente leeftijd zeer zeldzaam. Klinisch aanwijzingen voor maligne degeneratie zijn met name: groei van de exostose na het sluiten van de groeischijven en progressieve pijn (met name gedurende de nacht). Pijn bij sport en of belasting wordt in veel gevallen veroorzaakt door een irritatie van de bursa (slijmbeurs)gelegen over de exostose. Daarnaast, volgens zelf-reportage studies ervaart het merendeel van de patienten pijn en ongeveer de helft gegeneraliseerde pijn.[3]
Voorkomen (frequentie)
HME is een zeer zeldzame aandoening en komt bij ongeveer 1 op de 50.000 mensen voor. Dat betekent dat er in Nederland, bij 16 miljoen inwoners, ongeveer 320 mensen HME hebben. Solitaire exostosen (osteochondroom) komen ongeveer 6 maal zo frequent voor.
Overerving
De overerving van HME verloopt autosomaal dominant (zie de animatie 'overerving en dragerschap').
In 40% van de gevallen is er sprake van een spontane verandering in het erfelijk materiaal (bijvoorbeeld na een totale lichaamsbestraling) en speelt overerving geen rol. Iemand die op deze spontane manier HME heeft gekregen kan de ziekte wel weer doorgeven aan zijn kinderen via autosomaal dominante overerving.
Om de diagnose te bevestigen kan een erfelijkheidsonderzoek worden uitgevoerd. Door middel van DNA-onderzoek is het mogelijk om een van de drie bekende genen (EXT-1, EXT-2, EXTL) die de HME veroorzaken vast te stellen (90%). Ook is genetisch onderzoek mogelijk voordat de verschijnselen bij kinderen optreden. Bij patiënten met een positieve familieanamnese (familieleden met HME) lijkt DNA-onderzoek voor het stellen van de diagnose niet noodzakelijk, maar geeft dit onderzoek wel een beter inzicht in de genetische component van de deze ziekte.
Er spelen waarschijnlijk meer genen een rol, want niet in alle gevallen wordt een afwijkend gen gevonden terwijl de diagnose HME-MO wel gesteld is. Prospectief wetenschappelijk onderzoek naar het voorkomen van deze verschillende genetische afwijkingen in HME-MO patiëntenpopulatie is dan ook van zeer grote waarde.
Diagnose

HME wordt vaak vastgesteld aan de hand van röntgenfoto's. In het algemeen wordt aangenomen dat men kan spreken van een HME-MO als er meer dan 2 exostosen/osteochondromen bestaan. Aanvullend onderzoek kan nodig zijn in de vorm van een CT-scan, een nucleaire bot-scan of MRI-scan om zo nog onbekende lokalisaties (bv achter de scapula of in het bekken/wervelkolom) van osteochondromen te diagnosticeren. Een MRI scan van de exostose zelf kan worden gebruikt om de dikte van de kraakbeenkap bij volwassen patiënten te meten. Een kraakbeenkap dikker van 1 cm kan een aanwijzing zijn voor maligne degeneratie. Verder worden op een MRI-scan de aanwezigheid van; een weke delenuitbereiding, in het bijzonder als er verkalkingen in de weke delen bestaan, een onregelmatig oppervlak of een 'septal and ring enhancement pattern' van de kraakbeenkap en cortexdestrucie gezien als kwaadaardige radiologische kenmerken. Na de puberteit (na het sluiten van de groeischijven)ontstaan er geen nieuwe exostosen meer en behoren bestaande exostosen niet te groeien. Is er na de puberteit toch sprake van pijn of groei is het verstandig extra onderzoek in de vorm van een MRI-scan te verrichten. Veelal werd een botscan gebruikt om een kwaadarige ontaarding van een osteochondroom te beoordelen. Deze kan alleen niet differentiëren tussen een actieve kraakbeenkap met enchondrale kraakbeen afzetting en kwaadaardige ontaarding. Met het intreden van het gebruik van de MRI-scan is de beoordeling van de kraakbeenkap dan ook sterk verbeterd.
Behandeling
Er is geen genezing mogelijk. Dat betekent dat de behandeling in het teken staat van het chirurgisch verwijderen van de exostosen en het operatief herstellen van de vergroeiingen. Verwijdering van exostosen vindt over het algemeen alleen plaats als er sprake is van: pijn, groei of cosmetische problemen. Verder is aanvullende behandeling van belang in de vorm van fysiotherapie, revalidatie en pijnbestrijding.
Om deformiteiten en eventuele maligne degeneratie op tijd te kunnen diagnosticeren moet jaarlijkse screening worden overwogen. Na het bereiken van de volwassen skeletleeftijd kan een botscan of total body MRI een goed beeld geven van de bestaande exostosen en hun activiteit. (NB een botscan kan ten onrechte aangeven dat een exostose actief is als er een geïrriteerde bursa over heen ligt) Tegenwoordig heeft een total body MRI daarom de voorkeur. Zodra er verandering van een exostose is (groei en/of pijn) of als er een verandering wordt gezien op een röntgenfoto van een niet voelbare exostose (achter het schouderblad, in de ribbenkast of in het bekken) kan met behulp van een dynamische MRI scan eventuele maligne ontaarding worden beoordeeld. Er zijn tot op heden geen studies bekend die een jaarlijkse of tweejaarlijkse screening ondersteunen. Toch lijkt het verstandig en moet een (twee)jaarlijkse screening in een ervaren behandelcentrum worden overwogen.[4]
In het geval van een maligne ontaarding van een exostose (in 94 % van de gevallen in een perifeer chondrosarcoom) is een volledige verwijdering van de exostose met haar kraakbeenkap en pseudokapsel noodzakelijk. De meest voorkomende locatie van maligne degeneratie is een exostose in het bekken. Deze zijn vaak niet goed te voelen en verdienen daarom extra aandacht met bijvoorbeeld röntgenfoto's. In Nederland zijn voor de chirurgische behandeling van kwaadaardige tumoren ontstaan uit bot of kraakbeen vier Academische Ziekenhuizen aangewezen: het Radboudumc Nijmegen, AMC, UMCG, en LUMC).[5] De enige en beste kans op genezing is een ruime resectie van de kwaadaardige afwijking. Tot op heden is aanvullende therapie zoals radiotherapie of bestraling nog onvoldoende effectief. Indien de exostose in zijn geheel, inclusief kraakbeenkap en pseudokapsel, wordt verwijderd is de kans op een recidief zeer klein, maar niet verwaarloosbaar.
Referenties
- (en) Judith VMG Bovée (2008). Multiple osteochondromas. Orphanet Journal of Rare Diseases 3 (3). PMID 18271966. DOI: 10.1186/1750-1172-3-3.
- Nederlandse Commissie voor Beentumoren, iknl.nl (gearchiveerd)
Links
- Multipele osteochondromen, erfelijkheid.nl
- HME-MO Vereniging Nederland
- Oncologie (bot- en wekedelen tumoren), lumc.nl (gearchiveerd)
- ↑ a b c Everdingen, J.J.E. van, Eerenbeemt, A.M.M. van den (2012) Pinkhof Geneeskundig woordenboek (12de druk). Houten : Bohn Stafleu Van Loghum. ISBN 978-90-313-9121-9.
- ↑ a b Bouvée (2008)
- ↑ (en) Darilek S, Wicklund C, Novy D, Scott A, Gambello M, Johnston D, Hecht J (May 2005). Hereditary multiple exostosis and pain. Journal of Pediatric Orthopedy 25 (3): 369–76. PMID 15832158. DOI: 10.1097/01.bpo.0000150813.18673.ad.
- ↑ Oncologie (bot- en wekedelen tumoren), lumc.nl (gearchiveerd)
- ↑ Nederlandse Commissie voor Beentumoren, iknl.nl (gearchiveerd)