Multipel myeloom
Raadpleeg bij gezondheidsklachten een arts.
| Ziekte van Kahler | ||||
|---|---|---|---|---|
| Multipel myeloom | ||||
| ||||
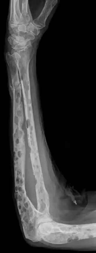
botafbraak in onderarm tgv Multipel myeloom
| ||||
| Synoniemen | ||||
| Latijn | morbus Kahler[1]
lymphadenia ossea[2] | |||
| Nederlands | multipele myelomen[3] | |||
| Classificatie | ||||
| Specialisme | hematologie | |||
| Gerelateerde aandoeningen | plasmocytoom | |||
| Coderingen | ||||
| ICD-11 | ||||
| ICD-O | M9732/3 | |||
| OMIM | 254500 | |||
| DiseasesDB | 8628 | |||
| DOID | [http://disease-ontology.org/term/xxx xxx xxx] | |||
| MedlinePlus | 000583 | |||
| eMedicine | med/1521 | |||
| MeSH | D009101 | |||
| ||||
Multipel myeloom[4] (MM), ook wel de ziekte van Kahler[3] genoemd, is een kwaadaardige woekering van plasmacellen (een bepaald soort witte bloedcellen). Deze woekeringen komen veelal voor in het beenmerg, waardoor de aandoening ook wel als een vorm van beenmergkanker wordt gezien. De woekeringen kunnen echter overal in het lichaam voorkomen.
Plasmacellen leveren een bijdrage in de bestrijding van infectieziekten. Hiervoor maken zij immunoglobulinen (bloedeiwitten) aan. De incidentie van MM bedraagt 4,3 per 100.000 (cijfers uit de VS, 2000). MM komt bij mensen met een donkere huidskleur tweemaal zo vaak voor als bij blanke mensen en bij mannen iets vaker dan bij vrouwen. Het eerste gedocumenteerde geval van MM werd in 1844 beschreven door Samuel Solly. Het betrof de 39-jarige Sarah Newbury; zij had last van moeheid, botpijn en botbreuken. De ziekte van Kahler is vernoemd naar de Oostenrijkse arts Otto Kahler, die ook relatief vroeg verslag deed van een geval van de ziekte bij zijn patiënt, dr. Loos. Hoewel dit verslag vanaf 1885 werd samengesteld, kreeg het pas vele jaren later bekendheid.
Geschiedenis
Historisch overzicht van ontdekkingen en behandelmethoden met betrekking tot MM:
- 1844 Beschrijving van het eerste geval door Solly, behandeling met rabarber en schil van sinaasappel.
- 1845 Abnormaal eiwit, later Bence Jones eiwit genaamd, aanwezig in de urine. Behandeling met staalpillen en kinine (T. Watson).
- 1895 Beschrijving van plasmacellen.
- 1928 Beschrijving van de eerste grote reeks MM patiënten.
- 1938 Identificatie eiwit-piek in serum.
- 1947 Behandeling met urethaan (N. Alwall).
- 1956 Karakterisering van de "lichte-ketens" (ook wel vrije-ketens genaamd).
- 1958 Behandeling met melfalan (N. Blokhin).
- 1962 Behandeling met corticosteroïden (R.E. Maas)
- 1975 Indeling van de gradaties van MM met behulp van het Salmon-Durie-systeem.
- 1983 Autologe (van de patiënt zelf) beenmergtransplantatie (T.J. McElwain en R.L. Powers).
- 1999 Behandeling met thalidomide (S. Singhal en B. Barlogie).
- 2002 Behandeling met bortezomib (R.Z. Orlowski).
- 2002 Behandeling met lenalidomide (P.G. Richardson en K.C. Anderson).
- 2005 Indeling van de gradaties van MM met behulp van het International Staging System.
- 2005 Cytogenetische indeling.
- 2011 Behandeling met carfilzomib[5]
- 2013 Behandeling met daratumumab (HuMax-CD38)[6][7]
Verschijnselen
Deze hematologische aandoening, verantwoordelijk voor zo'n 10% van alle hematologische kankers, wordt gekenmerkt door inname van het beenmerg door kwaadaardige plasmacellen: een plasmocytoom. Deze kwaadaardige plasmacellen (een witte bloedcel die immunoglobulines of antistoffen uitscheidt) produceren in overmaat een bepaald type immunoglobuline of delen ervan (de zogenaamde vrije of lichte ketens). Indien men deze overmaat aan één type immunoglobuline aantreft in het serum en/of urine, spreekt men van een monoklonale gammopathie. De aanwezigheid van vrije of lichte ketens (kappa of lambda) in urine noemt men Bence-Jones proteïnurie. Proteïnurie is de aanwezigheid van een te grote hoeveelheid eiwit (proteïne) in de urine.
Als kwaadaardige plasmacellen het beenmerg innemen, kan de productie van rode bloedcellen, bloedplaatjes en witte bloedcellen in de vorm van neutrofielen in het gedrang komen. Hierdoor kunnen dan respectievelijk bloedarmoede, blauwe plekken en infecties optreden. De eerste symptomen zijn vaak echter botpijnen die ontstaan door zogenaamde osteolytische letsels. De kwaadaardige plasmacellen produceren namelijk OAF (Osteoclast Activating Factor), een eiwit dat aanzet tot botafbraak. Door deze botafbraak kan het calciumgehalte in het bloed verhoogd zijn (hypercalciëmie), wat aanleiding kan geven tot misselijkheid, verminderde eetlust, neurologische afwijkingen, hartklachten, jeukende ogen en obstipatie. Op termijn kunnen er ook nierbeschadigingen optreden ten gevolge van verhoogde eiwit- en calciumuitscheiding. De botten worden hierdoor broos en pijnlijk. Ook pathologische botbreuken en compressie van het ruggenmerg kan optreden bij deze patiënten. Bij de ziekte van Kahler worden veel defecte eiwitten (immunoglobulines) geproduceerd, die kunnen neerslaan in bijvoorbeeld de nieren. Nierfunctiestoornissen kunnen dan ook voorkomen bij de ziekte van Kahler. Indien er tevens amyloïd (onderdeel van de defecte eiwitten) afgezet wordt, kan men spreken van de ziekte amyloïdose.
Diagnose
De diagnose wordt gesteld door middel van een beenmergonderzoek (punctie ter hoogte van het borstbeen of heupkam), de hoeveelheid van de immunoglobulines in het serum/urine (eiwitelektroforese met immunofixatie), de aanwezigheid van een woekering van plasmacellen en/of de aanwezigheid van botletsels van het skelet. Dit laatste kan worden bepaald door een Multipel Myeloomserie, waarbij er röntgenfoto's worden gemaakt van de pijpbeenderen, de ruggenwervels en het bekken.
Behandeling
De meest toegepaste behandelingen bij de ziekte van Kahler zijn:
- chemotherapie, waarbij iemand celdelingremmende medicijnen krijgt en meestal is dit melfalan
- bestraling
- ondersteunende behandeling, bijvoorbeeld met thalidomide
Bij mensen jonger dan 65 jaar worden de beste resultaten behaald met een zware chemotherapiekuur gevolgd door een autologe stamceltransplantatie. In bijzondere gevallen wordt gekozen voor een allogene stamceltransplantatie. Ook kan de behandeling bestaan uit een autologe en vervolgens een allogene stamceltransplantatie. Of allogene transplantatie van grote waarde is bij de behandeling van MM, is nog steeds onderwerp van onderzoek.[8]
De ondersteunende behandeling bestaat uit antibiotica, bloedproducten, corticosteroïden, allopurinol en bisfosfonaten. De laatste worden toegepast om de botafbraak tegen te gaan.
Symptomatisch multipel myeloom wordt behandeld met chemotherapie (+ radiotherapie). Hiervoor bestaan verschillende chemotherapeuticaregimes al naargelang de leeftijd van de patiënt en mate waarin de ziekte gevorderd is. Na een vier tot zes cycli chemotherapie wordt er meestal een stabiele fase bereikt. Soms wordt de stabiele fase onderhouden met medicatie, zoals thalidomide of alfa-interferon. De meeste patiënten krijgen echter een verslechtering van de ziektesituatie, de mediane overleving bedroeg in 2004 ongeveer vijf jaar.[9] Dankzij moderne behandelmethoden blijven patiënten gemiddeld meer dan zeven jaar in leven na de diagnose, maar er zijn grote verschillen in de agressiviteit van de ziekte.[10]
Prognose
De ziekte reageert in het begin bij de meeste patiënten goed op een behandeling, maar keert altijd terug en wordt steeds minder gevoelig voor een behandeling. De meeste patiënten overlijden uiteindelijk aan gevolgen van de ziekte.
Zie ook
Externe links
- ↑ Reuter, P. (2007). Springer Klinisches Wörterbuch. Heidelberg: Springer Medizin Verlag.
- ↑ Sliosberg, A. (1975). Elsevier’s medical dictionary in five languages. English/American / French / Italian / Spanish and German. (2nd Edition). Amsterdam/Oxford/New York: Elsevier’s Scientific Publishing Company.
- ↑ a b Leflot-Soetemans, C. & Leflot, G. (1975). Standaard Geneeskundig woordboek Frans-Nederlands. Antwerpen-Amsterdam: Standaard Uitgeverij.
- ↑ Beijer, T. & Apeldoorn, C.G.L. (1996). Woordenboek van medische eponiemen. Houten/Diegem: Bohn Stafleu Van Loghum.
- ↑ Krachtig tegen Kahler, Erasmus Medisch Centrum
- ↑ Daratumumab Responses High and Durable in Multiple Myeloma, Medscape, 18 juni 2013
- ↑ Elie Dolgin (2013). Cancer's true breakthroughs. Nature Medicine 19: 660–663. DOI: 10.1038/nm.3245.
- ↑ Katzel JA et al. Multiple myeloma: charging toward a bright future. CA Cancer J Clin. 2007;57:301-18.
- ↑ Cristina Gasparetto. Stem Cell Transplantation for Multiple Myeloma, Medscape
- ↑ Nederlandse Vereniging voor Hematologie
