Monteggiafractuur
Raadpleeg bij gezondheidsklachten een arts.
| Monteggiafractuur | ||||
|---|---|---|---|---|
| ||||
| Coderingen | ||||
| ICD-10 ICD-9 |
S52.0 813.03, 813.13 | |||
| eMedicine | orthoped/201 | |||
| MeSH | D009011 | |||
| ||||
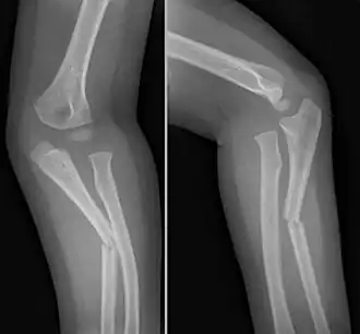
Een monteggiafractuur[1] is een type botbreuk in de onderarm. Er is dan sprake van een breuk van de ellepijp in het proximale deel (het deel wat het dichtst bij de elleboog ligt), samen met een ontwrichting van de kop van het spaakbeen.
De fractuur dankt haar naam aan Giovanni Battista Monteggia, een Italiaans chirurg.
Mechanisme
Een monteggiafractuur kan worden veroorzaakt als men valt op de uitgestrekte hand terwijl de onderarm in extreme pronatie is. De andere oorzaak heeft te maken met het pareren tijdens bijvoorbeeld een gevecht. Er kan dan na direct trauma tegen de handrugzijde (dorsale zijde) van het meest proximale deel van de onderarm en monteggiafractuur ontstaan.
Omdat het spaakbeen en de ellepijp stevig met elkaar verbonden zijn door een syndesmose (de membrana interossea antebracchii, een pezige structuur tussen beide botten), zorgt een fractuur van de ellepijp voor een dergelijke kracht op het radio-ulnaire gewricht (het gewricht tussen de ellepijp en het spaakbeen), dat er een ontwrichting ontstaat.
Classificatie
De monteggiafracturen worden volgens Bado ingedeeld in 4 klassen, voornamelijk gebaseerd op de mate van ontwrichting van de spaakbeenkop.
Behandeling
Monteggiafracturen worden meestal operatief behandeld door middel van een open reductie, interne fixatie (ORIF-procedure); de ellepijp wordt weer rechtgezet en met osteosynthesemateriaal (platen, schroeven en/of pennen) gefixeerd. Meestal komt het spaakbeenkopje tijdens de procedure vanzelf weer in de goede stand te staan.
Bronnen
- Van Kampen A. Letsels van de bovenste extremiteit. In: Verhaar JAN, Van Mourik JBA, editors. Orthopedie. Houten: Bohn Stafleu Van Loghum; 2008. p. 139.
- ↑ Everdingen, J.J.E. van, Eerenbeemt, A.M.M. van den (2012). Pinkhof Geneeskundig woordenboek (12de druk). Houten: Bohn Stafleu Van Loghum.
