Lobus venae azygos


De lobus venae azygos is een zeldzaam voorkomende extra longkwab in de rechterlong. De lobus venae azygos wordt van de rechter bovenkwab gescheiden door de fissura venae azygos.
De lobus venae azygos ontstaat doordat de vena azygos niet zijn normale verloop door het achterste deel van mediastinum volgt, maar door het bovenste deel van de rechterlong loopt, waardoor een extra kwab wordt gevormd.
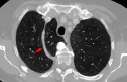
De lobus venae azygos als anatomische variant van een normale long wordt meestal als toevalsbevinding ontdekt bij radiologisch onderzoek. Op longfoto's is de fissura venae azygos namelijk als een gebogen witte lijn zichtbaar in het mediale bovenveld van de rechterlong.[1]
Het verschijnen van de sikkelvormige fissura venae azygos op röntgenfoto's van de borst werd voor het eerst beschreven door Wessler en Jaches in 1923.[2] In 1927 werd reeds gesuggereerd dat de op röntgenfoto's zichtbare schaduw een extra longkwab voorstelde, maar bewijs door middel van obductie kon toen vooralsnog niet worden geleverd.[3] De extra longkwab bleek bij nader onderzoek reeds in 1778 door Heinrich August Wrisberg te zijn beschreven en wordt derhalve soms aangemerkt als lobus Wrisbergi. Na 1927 verschenen er diverse publicaties die de röntgenologische bevinding beschreven, in enkele gevallen met bevestiging door middel van autopsie. Tevens werd beschreven dat een vergrote thymus of een achter het borstbeen gelegen schildklier de anatomische anomalie konden simuleren op röntgenfoto's.[1]
Bij radiologisch onderzoek van 10.000 gezonde personen kwam een rechtszijdige lobus venae azygos voor in 0,7% van de gevallen[4]. Er zijn incidentele gevallen bekend van een linkszijdige lobus venae azygos.[5] In 1986 werd na het maken van röntgenfoto's bij twaalf familieleden bij vijf een lobus venae azygos gevonden. Het werd daarbij vermoed dat de anatomische variant hier autosomaal dominant overerfde.[6]
Literatuurverwijzingen
- ↑ a b E.H. Shannon, The azygos lobe of the lung, Can Med Assoc J, 1931; 4: 498-500
- ↑ Wesler and Jaches, Clinical Roentgenology of Diseases of the Chest. The Southworth Co., Troy, New York, 1923, 17
- ↑ Velde, Fortschr. a. d. Geb. d. Röntgenstrahlen. 1927; 36: 315
- ↑ Günther D., Müller G., The azygos vein lobe and its clinical significance. Rofo. 1980; 132: 639-40 (Duits)
- ↑ Takasugi J.E., Godwin J.D. Left azygos lobe. Radiology, 1989; 171: 133-134
- ↑ Postmus P.E., Kerstjens J.M., Breed A., v.d. Jagt E. A family with lobus venae azygos. Chest, 1986; 90: 298-299