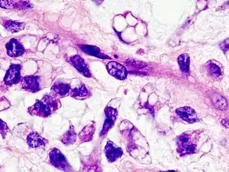
Liposarcoom

Esculaap
Neem het voorbehoud bij medische informatie in acht.
Raadpleeg bij gezondheidsklachten een arts.
Liposarcoom
Liposarcoom
Synoniemen
Latijn Liposarcoma[1]
Coderingen
ICD-11 XH2J05
ICD-O M8850/3
DiseasesDB 31482
DOID 3382
eMedicine derm/856
MeSH D008080
Portaal  Portaalicoon   Geneeskunde

Een liposarcoom[1] is een maligne tumor uitgaande van de vetcellen of de lipoblasten in de diepe weke delen, zoals in de dijen of in het retroperitoneum.

De tumoren zijn typisch grote gezwellen die vaak meerdere kleine satellietlaesies hebben buiten de grenzen van de tumor. Hoewel zeldzaam zijn liposarcomen de meest frequente tumoren van de weke delen. Behandeling voor liposarcomen geschiedt over het algemeen in gespecialiseerde centra.

Symptomen

Over het algemeen ondervinden patiënten nauwelijks klachten van groeiende zwellingen in hun weke delen. Pas zodra de tumor is gegroeid tot een aanzienlijke grootte, kan pijn optreden of kan de tumor zorgen voor functionele klachten. Retroperitoneale tumoren kunnen zich presenteren door gewichtsverlies en buikpijn. Deze tumoren kunnen de nieren of de urineleiders verdrukken, waardoor nierfalen kan optreden.

Voorkomen

Liposarcomen komen het vaakst voor bij volwassenen van middelbare leeftijd of ouder (40 jaar en ouder). De incidentie bedraagt ongeveer 2,5 per miljoen per jaar.

Prognose

De prognose is afhankelijk van de plaats en grootte van de tumor en de differentiatie van de tumorcellen. Ook de nabijheid van lymfklieren en de aanwezigheid van metastasen zijn belangrijke voorspellers voor de prognose. De vijfjaarsoverleving voor een hooggradig liposarcoom is lager dan 50%.

Zie ook