Lipoblast

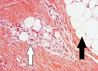
Een lipoblast, ook wel steatoblast genoemd, is een precursorcel voor een adipocyt.[1] Alternatieve termen zijn onder meer adipoblast[2] en preadipocyt.[3] Vroege stadia zijn bijna niet te onderscheiden van fibroblasten.[4]
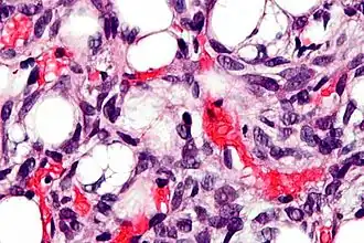
Liposarcomen ontstaan uit de lipoblasten of adipocyten in vetweefsel.
![]() |
![]() |
Bronnen, noten en/of referenties
- ↑ Wheater's functional histology: a text and colour atlas. Elsevier Health Sciences (2006), 74–. ISBN 978-0-443-06850-8. Geraadpleegd op 18 april 2010.
- ↑ Dani C (1999). Embryonic stem cell-derived adipogenesis. Cells Tissues Organs (Print) 165 (3–4): 173–80. PMID 10592389. DOI: 10.1159/000016697.
- ↑ Coskun H, Summerfield TL, Kniss DA, Friedman A (April 2010). Mathematical modeling of preadipocyte fate determination. J Theor Biol 265 (1): 87–94. PMID 20385145. DOI: 10.1016/j.jtbi.2010.03.047.
- ↑ Histology. Lippincott Williams & Wilkins (31 July 1997), 118–. ISBN 978-0-683-06225-0. Geraadpleegd op 18 april 2010.
Zie de categorie Lipoblast van Wikimedia Commons voor mediabestanden over dit onderwerp.

