Leukoaraiose
Raadpleeg bij gezondheidsklachten een arts.
| Leukoaraiose | ||||
|---|---|---|---|---|
| ||||
diffuse, samenvloeiende wittestofafwijkingen
| ||||
| Coderingen | ||||
| ICD-10 ICD-9 |
F01.2 290.4 | |||
| DiseasesDB | 8393 | |||
| MedlinePlus | 000746 | |||
| eMedicine | med/3150 neuro/227 | |||
| MeSH | D015161 | |||
| ||||
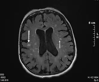
Leukoaraiose[1] (Oudgrieks λευκός, "wit"[2] en ἀραίωσις, "verdunning"[2] van ἀραιός, "dun"[2]) is de benaming voor diffuse, confluerende (samenvloeiende) afwijkingen in de witte stof gezien op CT- en MRI-scans van de hersenen.[3] De afwijkingen worden vaak gezien op hogere leeftijd en zijn geassocieerd met vasculaire risicofactoren zoals hoge bloeddruk en hyperhomocysteïnemie.
Kenmerken
Leukoaraiose wordt gekenmerkt door diffuse, samenvloeiende wittestofafwijkingen die een verlaagde densiteit (dichtheid) op CT-scans vertonen en op T2-gewogen en FLAIR MRI-opnames een hyperintens signaal geven.
Bij vorderende leeftijd worden steeds meer focale wittestofafwijkingen gevonden; "ware" leukoaraiose, waarbij er sprake is van diffuse afwijkingen is echter minder vaak voorkomend. Confluerende wittestofafwijkingen die voldoen aan de radiologische diagnose leukoaraiose worden bij 10% van de personen tussen 50 en 75 jaar gevonden, zonder dat zij daarbij symptomen vertonen. Leukoaraiose is een beschrijvende term voor de radiologische afwijkingen, zonder dat daarbij een uitspraak over de onderliggende pathologische veranderingen wordt gedaan. Gedissimineerde metastasering in de witte stof, lymfomen en een obstructiehydrocefalus kunnen vergelijkbare radiologische veranderingen geven.[3] De wittestofafwijkingen worden bij toenemende leeftijd in steeds grotere mate aangetroffen bij vrouwen dan bij mannen.[4]
Geschiedenis
De term leukoaraiose werd in 1987 geïntroduceerd door Vladimir Hachinski et al.,[5] toen bij de snelle toename in het gebruik van CT bij een groeiend aantal personen afwijkingen in de cerebrale witte stof werden gezien. Aanvankelijk werd gedacht dat deze wittestofafwijkingen het radiologische equivalent van de ziekte van Binswanger waren. Sindsdien is gebleken dat de oorzaak van de wittestofafwijkingen minder eenduidig is en dat het klassieke ziektebeeld dat Otto Binswanger beschreef uiterst zeldzaam is.
Klinische betekenis
Lange tijd is gedacht dat leukoaraiose een goedaardige radiologische bevinding was. Tegenwoordig is dit idee verlaten en blijkt leukoaraiose met tal van aandoeningen geassocieerd.
Herseninfarcten en -bloedingen
Leukoaraiose komt vaker voor bij mensen die een herseninfarct hebben doorgemaakt. Zo werd in grote populaties als die van de Lausanne Stroke Registry een prevalentie van 7% gemeld.[6] Het is met name geassocieerd met de zogenaamde lacunaire infarcten, die ongeveer 20% van de herseninfarcten omvatten.[3] Patiënten met leukoaraiose en een vernauwing van een halsslagader hebben 12% meer kans op het krijgen van een herseninfarct (en dan met name lacunaire infarcten) dan patiënten die een dergelijke carotisstenose hebben zonder wittestofafwijkingen op CT of MRI.[7] Ook hebben zij drie keer zoveel kans om te overlijden als gevolg van een vasculaire aandoening.[8] Verder lopen ouderen met leukoaraiose een groter risico op het krijgen van een hersenbloeding, zeker als zij anticoagulantia gebruiken.[9] Ook het geven van trombolyse in het acute stadium van een herseninfarct zorgt voor een groter aantal bloedingen bij patiënten met leukoaraiose. Dit relatieve risico bedroeg in een studie 2,7; bijna 10% van de patiënten met een lacunair infarct en leukoaraiose kreeg een bloeding na toediening van trombolyse.[10]
Cognitieve functies en dementie
Leukoaraiose is geassocieerd met een tragere informatieverwerking, executieve functies en een slechter geheugen.[11] Leukoaraiose wordt gezien bij 30-67% van de mensen die lijden aan een dementiesyndroom,[3] zowel bij vasculaire dementie als de ziekte van Alzheimer.[12]
Overige
Tachtig procent van de ouderen met leukoaraiose hebben een loopstoornis[13] en naarmate het lopen verder gestoord raakt, neemt ook de leukoaraiose toe.[14] De loopstoornis leidt tot vaker vallen met botbreuken tot gevolg. Verder sterven ze vaker ten gevolge van een longontsteking.[15] Leukoaraiose wordt ook in verband gebracht met verminderde controle over de blaas en veranderingen in de gemoedstoestand, zoals bij het CADASIL-syndroom, een genetische oorzaak van leukoaraiose.[3]
Pathologie
Verschillende pathologische veranderingen dragen bij aan de wittestofschade zoals deze wordt waargenomen op beeldvormende diagnostiek. Pathologisch kenmerkt leukoaraiose zich in verbleking van het myeline, gliose van de witte stof, verlies van axonen en toename van de ruimte rondom bloedvaatjes (de zogenaamde perivasculaire ruimte). Verder is er vaak sprake van een concentrische verdikking van het hyaline en verlies van gladde spiercellen, waardoor het lumen van bloedvaatjes kleiner wordt. Bij asymptomatische ouderen gaat het veranderingsproces van de bloedvaten niet verder dan deze arteriosclerose. Complexere veranderingen van de vaatwanden zijn tegenwoordig zeldzamer, waarschijnlijk als gevolg van een betere behandeling van hypertensie.[16] Bij grotere, confluerende laesies is naast myelineverlies en gliose ook sprake van microinfarcering.[17] Veranderingen in de witte stof rondom de hersenventrikels (de zogenaamde periventriculaire witte stof) zijn met name het gevolg van gliose en niet zo zeer van ischemie.
De leukoaraiose die wordt gezien bij alzheimerpatiënten blijkt niet zo zeer te correleren met de amyloïdangiopathie, maar meer met de non-amyloïde arteriosclerose.[18] Leukoaraiose wordt echter ook gezien bij patiënten die lijden aan sporadische cerebrale amyloïdangiopathie, waarbij er geen sprake is van de ziekte van Alzheimer. Bij die patiënten is er sprake van β-amyloïdafzettingen in de proximale delen van de arteriolen. Waarschijnlijk zijn deze amyloïdafzettingen op zichzelf in staat tot het veroorzaken van leukoaraiose.[3]
- ↑ Everdingen, J.J.E. van, Eerenbeemt, A.M.M. van den (2012). Pinkhof Geneeskundig woordenboek (12de druk). Houten: Bohn Stafleu Van Loghum.
- ↑ a b c Muller, F. (1932). Grieksch woordenboek. (3de druk). Groningen/Den Haag/Batavia: J.B. Wolters’ Uitgevers-Maatschappij N.V.
- ↑ a b c d e f O'Sullivan M., Leukoaraiosis Pract Neurol. 2008; 8: 26-38
- ↑ de Leeuw FE, de Groot JC, Achten F, et al. Prevalence of cerebral white matter lesions in elderly people: a population based magnetic resonance imaging study-the Rotterdam Scan Study J Neurol Neurosurg Pshcyiatry 2001; 70: 9-14
- ↑ Hachinski V.C., Potter P., Merskey H. Leuko-araiosis Arch Neurol. 1987; 44: 21-23
- ↑ Wiszniewska M., Devuyst G., Bogousslavsky J. et al., What is the significance of leukoaraiosis in patients with acute ischemic stroke? Arch Neurol., 2000; 57: 967-973
- ↑ Streifler J.Y., Eliasziw M., Benavente O.R., et al. Prognostic importance of leukoaraiosis in patients with symptomatic internal carotid artery stenosis Stroke 2002; 33: 1651-1655
- ↑ Inzitari D., Cadelo M., Marranci M.L., Pracucci G., Pantoni L., Vascular deaths in elderly neurological patients with leukoaraiosis. J Neurol Neurosurg Psychiatry 1997; 62: 177-81
- ↑ Smith E.E., Rosand J., Knudsen K.A., et al. Leukoaraiosis is associated with warfarin-related hemorrhage following ischemic stroke. Neurology 2002; 59: 193-197
- ↑ Palumbo V., Boulanger J.M., Hill M.D., et al. Leukoaraiosis and intracerebral hemorrhage after thrombolysis in acute stroke Neurology 2007; 68: 1020-1024
- ↑ Prins N., van Dijk E.J. et al. Cerebral small-vessel disease and decline in information processing speed, executive function and memory Brain 2005; 128: 2034-2041
- ↑ Steingart A., Hachinski V.C., Lau C. et al. Cognitive and neurologic findings in demented patients with diffuse white matter lucencies on computed tomographic scan (leuko-araiosis) Arch Neurol. 1987; 44: 36-39
- ↑ Briley D.P., Wasay M., Sergent S.., et al. Cerebral white matter changes (leukoaraiosis), stroke, and gait disturbance J Am Geriatr Soc 1997; 45: 1434-1438
- ↑ Whitman G.T. Tang Y., Lin A., et al. A prospective study of cererbral white matter abnormalities in older people with gait dysfunction Neurology 2001; 57: 990-994
- ↑ Briley D. P., Haroon S., Sergent S.M., et al. Does leukoaraiosis predict morbidity and mortality? Neurology 2000; 54: 90-94
- ↑ Lammie G.A., Brannan F., Slattery J. et al. Nonhypertensive cerebral small-vessel disease. An autopsy study. Stroke 1997; 28: 2222-2229
- ↑ Fazekas F., Kleinert R., Offenbacher H. et al. Pathologic correlates of incidental MRI white matter signal hyperintensities Neurology 1993; 43: 1683-1689
- ↑ Tomimoto H., Akiguchi I., Akiyama H., et al. Vascular changes in white matter lesions of Alzheimer's disease Acta Neuropathol (Berl) 1999; 97: 629-634
