CADASIL-syndroom
| CADASIL-syndroom | ||||
|---|---|---|---|---|
| ||||
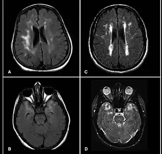
MRI van patiënten met het CADASIL waarin meerdere laesies te zien zijn
| ||||
| Coderingen | ||||
| ICD-11 | ||||
| OMIM | 125310 | |||
| DiseasesDB | 2161 | |||
| DOID | 13945 | |||
| MeSH | D046589 | |||
| ||||
Het CADASIL-syndroom (cerebrale autosomale dominant arteriopathie met subcorticale infarcten en leukencefalopathie) is de meest voorkomende vorm van erfelijke beroertes, en wordt verondersteld veroorzaakt te worden door mutaties van het Notch 3-gen op chromosoom 19.[1]
De aandoening is een vorm van leukodystrofie. De meest voorkomende klinische manifestaties zijn migraine, hoofdpijn en TIA's of beroertes die gemiddeld tussen 40- en 50-jarige leeftijd optreden, hoewel het ook is gevonden in individuen van 20 tot 70 jaar. Met DNA-onderzoek kan de aanwezigheid van de NOTCH-3 variant die CADASIL veroorzaakt worden aangetoond. Dit onderzoek kan ook worden uitgevoerd voor de ziekte zich manifesteert.[2]
In Nederland en België is sinds 2015 een patiëntenorganisatie actief: Platform CADASIL. Deze ondersteunt zowel patiënten als onderzoek naar een mogelijke behandeling.
Externe links
- (en) The CADASIL Foundation
- (en) United Leukodystrophy Foundation: CADASIL
- (en) Lesnik Oberstein SA, Boon EM, Terwindt GM (June 28, 2012). CADASIL. Gearchiveerd op 27 februari 2023. NBK1500. In GeneReviews™ [Internet]. University of Washington, Seattle, Seattle WA (1993–).
- (nl) Platform CADASIL
- ↑ Joutel A, Corpechot C, Ducros A, et al. (October 1996). Notch3 mutations in CADASIL, a hereditary adult-onset condition causing stroke and dementia. Nature 383 (6602): 707–10. PMID 8878478. DOI: 10.1038/383707a0.
- ↑ Artikel van Julie Rutten, MD and Saskia AJ Lesnik Oberstein, MD, PhD. in Pagon RA, Adam MP, Ardinger HH, et al., editors. Seattle (WA): University of Washington, Seattle; 1993-2015.
