Jicht
Raadpleeg bij gezondheidsklachten een arts.
| Jicht | ||||
|---|---|---|---|---|
| ||||
Jicht
| ||||
| Coderingen | ||||
| ICD-11 | ||||
| OMIM | 138900 300323 | |||
| DiseasesDB | 29031 | |||
| DOID | 13189 | |||
| MedlinePlus | 000422 | |||
| eMedicine | med/924 orthoped/124 emerg/221 med/1112 oph/506 radio/313 | |||
| MeSH | D006073 | |||
| ||||
Jicht of podagra, in de volksmond ook wel het pootje genoemd, is een pijnlijke reumatische ontsteking gekenmerkt door gekristalliseerd urinezuur in een gewricht. In het warme bloed lost urinezuur gemakkelijk op, maar bij een te hoge concentratie hiervan kan dit zuur neerslaan in de vorm van kleine naaldvormige kristallen. In een relatief koude omgeving, zoals handen en voeten, gebeurt dit het gemakkelijkst. In 60% van de gevallen is het basisgewricht van de grote teen aangedaan. In dergelijke gevallen wordt jicht ook wel het pootje of podagra genoemd. Andere voorkeursplaatsen voor jicht zijn de gewrichten van voorvoet, enkel, knie, pols en vingers. Gewoonlijk wordt er slechts één gewricht aangetast door jicht (monoarticulair), maar bij het ouder worden treft jicht meestal meerdere gewrichten (polyarticulair).
Verschijnselen
Jicht kan op verschillende manieren tot uiting komen, maar het meest gebruikelijk zijn terugkerende aanvallen van acute artritis (een rood, pijnlijk, warm en opgezet gewricht). Het metatarsofalangeale gewricht aan de basis van de grote teen wordt het vaakst aangetast, in de helft van de gevallen. Andere gewrichten, zoals de hielen, knieën, polsen en vingers, kunnen ook worden aangetast. Gewrichtspijn begint meestal in de loop van 2–4 uur en tijdens de nacht. De oorzaak van het ontstaan 's nachts is dat de lichaamstemperatuur dan lager is.[1] Naast pijnlijke gewrichten kunnen zich in zeldzame gevallen andere symptomen voordoen, waaronder vermoeidheid en hoge koorts.[1]
Het kristalliseren van urinezuur in een gewricht leidt tot een vaak snel opkomende hevige ontstekingsreactie met roodheid, zwelling, veel pijn, warmte en functiebeperking. Patiënten worden 's nachts opeens wakker van de pijn en kunnen vaak nauwelijks lopen. Behalve in de tenen kan jicht ook op andere plaatsen ontstaan, bijvoorbeeld in de enkel, knie, vingers of in de oorschelp.
Zonder behandeling gaat een acute jichtaanval gewoonlijk in vijf tot zeven dagen over. 60% van de patiënten krijgt echter binnen een jaar een tweede aanval.[1]
Een langdurig verhoogde urinezuurconcentratie (hyperurikemie) kan leiden tot andere symptomen, waaronder beschadiging van gewrichtsoppervlakken, vervormde gewrichten en tofi. Deze tofi zijn harde, pijnloze afzettingen van urinezuurkristallen (natriumuraat) die door de huid heen zichtbaar zijn. Deze tofi treden op bij 30% van de patiënten die vijf jaar niet worden behandeld, vaak in de oorschelp, op het olecranon of de achillespezen. Deze kunnen bijvoorbeeld op de handen, voeten, ellebogen of oren gevonden worden.[2]
Een verhoogde urinezuurconcentratie kan ook resulteren in de neerslag van natriumuraatkristallen in de nieren, waardoor er na verloop van tijd stenen kunnen ontstaan. Dit gebeurt bij 10 tot 40% van de patiënten, met als gevolg acute uraatnefropathie. Ook andere vormen van chronische nierinsufficiëntie kunnen zich voordoen.
Geschiedenis

Het Engelse woord "gout" (jicht) werd oorspronkelijk gebruikt door Randolphus of Bocking rond 1200 n.Chr. Het is afgeleid van het Latijnse woord "gutta", dat "druppel" (vloeistof) betekent. Dat zou weer afgeleid zijn van de middeleeuwse theorie van lichaamssappen en "het idee dat er vanuit het bloed een ziekteverwekkende stof in en rond de gewrichten 'druppelt'."
Jicht is echter al sinds de oudheid bekend. Vanouds werd jicht "de koning der ziekten en de ziekte van koningen" genoemd,[3] of "de ziekte van de rijken".[4] Het oudste document over de ziekte is afkomstig uit Egypte, dateert van 2600 v.Chr. en bevat een beschrijving van artritis van de grote teen. De arts Hippocrates uit de Griekse oudheid beschreef de ziekte rond 400 v.Chr. in zijn Aforismen, waarbij hij opmerkte dat jicht niet voorkwam bij eunuchen en vrouwen vóór de menopauze.[5]
Aulus Cornelius Celsus (30 n.Chr.) beschreef de relatie met alcohol, later optreden bij vrouwen en ermee gepaard gaande nierproblemen:
Dikke urine met een witte neerslag duidt erop dat voor pijn en ziekte in het gebied van de gewrichten of de ingewanden moet worden gevreesd... Gewrichtsproblemen in de handen en voeten komen vaak voor en zijn hardnekkig, zoals in gevallen van podagra en chiragra. Deze treden zelden op bij eunuchen of jongens vóór coïtus met een vrouw, noch bij vrouwen, behalve bij vrouwen bij wie de menses onderdrukt zijn. Sommigen hebben levenslange bescherming doordat zij zich onthouden van wijn, mede en wellust.[6]

In 1683 beschreef Thomas Sydenham, een Engelse arts, hoe de ziekte zich deed gelden in de vroege ochtend, vooral bij oudere mannen:
Jichtpatiënten zijn over het algemeen oude mannen of mannen die zich in hun jeugd zo hebben uitgeput dat zij voortijdig oud zijn geworden, door losbandig gedrag dat veelal bestaat uit te vroege en bovenmatige uitspattingen van wellust en soortgelijke uitputtende passies. Het slachtoffer gaat naar bed en slaapt gezond. Om ongeveer twee uur 's nachts wordt hij wakker door hevige pijn in de grote teen, in sporadische gevallen in de hiel, enkel of wreef. De pijn lijkt op die bij een ontwrichting, maar delen voelen aan alsof er koud water op wordt gegoten. Daarna volgen koude rillingen, beven en een lichte koorts... De rest van de nacht is een kwelling met slapeloosheid, heen en weer bewegen van het getroffen lichaamsdeel en voortdurend veranderen van houding; het woelen houdt net zomin op als de pijn in het gemartelde gewricht, en is het ergst als de aanval inzet.[7]
De Nederlandse wetenschapper Antonie van Leeuwenhoek beschreef in 1679 als eerste hoe uraatkristallen er onder de microscoop uitzien. Voortbouwend op deze ontdekking stelde de Duitse arts Friedrich Hoffmann (1660-1742) dat het bloed van jichtlijders een wijnsteenzout vervoert dat afkomstig is van de wijn die zij drinken.[8] In 1848 realiseerde de Engelse arts Alfred Baring Garrod zich dat dit overmatige urinezuur in het bloed de oorzaak was van jicht.[9]
Epidemiologie
Jicht komt wereldwijd voor maar kent een grote variatie in prevalentie. Dit is te wijten aan regionaal verschillende erfelijke, etnische, diëtaire en milieufactoren. In de Verenigde Staten komt jicht onder Afro-Amerikaanse mannen tweemaal zo vaak voor als onder Europees-Amerikaanse mannen: 3,11 per 1000 personen bij Afro-Amerikanen en 1,82 per 1000 bij blanke personen. In Afrika zelf komt jicht relatief zelden voor.[10] De percentages zijn hoog onder mensen van de eilanden in de Grote Oceaan en de Maori in Nieuw-Zeeland, maar de ziekte komt zelden voor onder Australische Aboriginals, ondanks een hogere gemiddelde urinezuurconcentratie in het bloedserum in deze groep.[11] De ziekte is algemeen geworden in China, Polynesië en de Afrikaanse stedelijke gebieden ten zuiden van de Sahara.
In Nederland en België lijden enkelen per duizend inwoners aan jicht.
Ongeveer 1–2% van de westerse bevolking krijgt op enige moment in het leven te maken met jicht, en het komt steeds vaker voor. Tussen 1990 en 2010 is het aantal gevallen van jicht ongeveer verdubbeld.[2] Deze toename wordt toegeschreven aan de langere levensduur, veranderingen in het voedingspatroon en een toename van ziekten die gepaard gaan met jicht, zoals metabool syndroom en hoge bloeddruk.
De aandoening komt frequenter voor bij mannen. Oestrogenen hebben namelijk een beschermend effect op het ontwikkelen van jicht. Hierdoor is jicht eerder zeldzaam bij vrouwen voor de menopauze.
In de leeftijdsgroep van 30 tot 60 jaar komt jicht gemiddeld het vaakst voor. Bij mannen met een genetische voorbestemdheid of die aan een aantal risicofactoren voldoen kan de aandoening vroeger optreden. Bij vrouwen daarentegen wordt de piek bereikt tussen het 60ste en 80ste levensjaar.
De hogere prevalentie bij ouderen wordt mede veroorzaakt door het vaker voorkomen van chronisch hartfalen en hypertensie en het daaruitvolgende gebruik van diuretica en cardioaspirine in deze leeftijdsgroep.
Uit sommige onderzoeken is gebleken dat jichtaanvallen vaker voorkomen in het voorjaar. Dit wordt toegeschreven aan seizoensveranderingen in voeding, alcoholgebruik, lichamelijke activiteit en temperatuur.
Jicht bij dieren
Bij de meeste dieren komt jicht zelden voor omdat zij uricase kunnen aanmaken, een enzym dat urinezuur afbreekt. Mensen en andere hogere primaten kunnen dit niet en daarom komt jicht bij hen wel voor.[1] Vermoedelijk heeft de dinosaurussoort Tyrannosaurus rex ook aan jicht geleden, zoals zou blijken uit het skelet van "Sue", een van de opgegraven exemplaren.
Oorzaken
Een sterk verhoogde concentratie urinezuur in het bloed (hyperurikemie) is de onderliggende oorzaak van jicht. Urinezuur is een afbraakproduct van bestanddelen van de celkern, met name van de purinebasen adenine en guanine. Zowel ziekten waarbij veel cellen afgebroken worden, als de consumptie van een voeding die rijk is aan purine kunnen hierdoor tot een verhoging van de urinezuurconcentratie leiden.
Ongeveer 10% van de mensen met hyperurikemie krijgt ergens in hun leven te maken met jicht.[12] Het risico varieert echter, afhankelijk van de mate van hyperurikemie. Wanneer de concentratie tussen 415 en 530 μmol/l ligt, is het risico 0,5% per jaar; wie een concentratie van meer dan 535 μmol/l heeft, loopt een risico van 4,5% per jaar.[1]
De oorzaak van hyperurikemie kan liggen in een grotere aanmaak van urinezuur of in een onvermogen urinezuur adequaat te verwijderen, of in een combinatie van beide. Bij primaire jicht leidt een aangeboren enzymtekort tot de opstapeling van uraat. Deze vorm komt slechts zeer zelden voor. Bij secundaire jicht is de aandoening het gevolg van verschillende mogelijke factoren die ofwel leiden tot een verhoogde productie van urinezuur ofwel een verminderde uitscheiding van urinezuur door de nieren. Een combinatie van beide is natuurlijk ook mogelijk.
De belangrijkste oorzaak van hyperurikemie is een te lage uitscheiding van urinezuur door de nieren; dit is de oorzaak van ongeveer 90% van alle gevallen. Factoren die leiden tot een verhoogd urinezuurgehalte in het bloed door een verminderde uitscheiding door de nieren:
- Bepaalde nierfunctiestoornissen, onder meer als gevolg van hypertensie of vergiftiging met zware metalen, zoals cadmium of lood. Chronische blootstelling aan lood en met lood vervuilde alcohol zijn risicofactoren voor jicht vanwege het schadelijke effect van lood op de werking van de nieren.[13]
- Alcohol.
- Bepaalde medicatie wordt in verband gebracht met een verhoogd urinezuurniveau in het bloed en soms ook met jicht. De urinezuurverhogende werking van de meeste van deze geneesmiddelen berust op een remming van de uitscheiding van het urinezuur met de urine, maar in enkele gevallen berust de werking ook op een stimulatie van de urinezuurvorming. Zo wordt vaak een verband gezien tussen thiazidediuretica en jichtaanvallen. Doseringen hydrochloorthiazide (een thiazidediureticum) van 25 mg of meer verhogen het jichtrisico, lagere doses lijken het risico echter niet te verhogen.[14] Andere medicijnen die geassocieerd worden met jicht zijn onder meer aspirine (acetylsalicylzuur)[2] en laxativa. De immunosuppressiva ciclosporine en tacrolimus worden ook in verband gebracht met jicht, de eerste vooral wanneer deze in combinatie met hydrochloorthiazide worden gebruikt.
- Vitamine B3 (niacine) gaat competitie aan met urinezuur voor haar uitscheiding in de nieren. Behandeling met hoge doseringen vitamine B3 kan daardoor een jichtaanval uitlokken.
- Sommige ziektetoestanden zoals dehydratatie, overdreven vasten en een traag werkende schildklier.
- Chronische nierziekten en nierfalen.
In minder dan 10% van de gevallen is de oorzaak een te hoge productie van urinezuur. Factoren die leiden tot een verhoogde productie van urinezuur:
- Een verhoogde purine-afbraak door chronisch alcoholgebruik of door cytostatica.
- Een verhoogde celafbraak in het lichaam door psoriasis en zwaarlijvigheid, of bijvoorbeeld na tumorbehandeling met chemotherapie.
- Een purinerijke voeding die bestaat uit orgaanvlees, bepaalde vissoorten zoals ansjovis, sardines, mosselen en kreeft, gevogelte en wild.
- Jicht kan een bijverschijnsel van slaapapneu zijn doordat cellen met een zuurstoftekort purinen afgeven. Als de apneu wordt behandeld, kunnen de jichtaanvallen afnemen.[15]
Pathofysiologie

Jicht is een stoornis van het purinemetabolisme, die zich voordoet wanneer de uiteindelijke metaboliet, urinezuur, kristalliseert tot natriumuraat dat neerslaat in de gewrichten, op pezen en in de omringende weefsels.[2] Deze kristallen lokken vervolgens een plaatselijke immuungemedieerde ontstekingsreactie uit,[2] waarbij een van de belangrijkste eiwitten in de ontstekingscascade interleukine-1-β is.
Door een evolutionaire ontwikkeling maken mensen en hogere primaten het enzym uricase niet meer aan en komt deze aandoening veel voor. Uricase breekt urinezuur af tot allantoïne, dat gemakkelijk wordt uitgescheiden via de nieren.
Het is niet duidelijk waardoor de neerslag van urinezuur wordt geactiveerd. Ook bij normale concentraties kunnen er kristallen ontstaan, maar de kans hierop wordt groter naarmate de concentratie stijgt.[2] Andere factoren die van belang worden geacht voor het activeren van een acute aanval van artritis zijn lage temperaturen, snelle schommelingen in de urinezuurconcentratie, acidose,[16] vochtophoping in gewrichten en extracellulairematrix-eiwitten zoals proteoglycanen, collagenen en chondroïtinesulfaat. De toenemende neerslag bij lage temperaturen verklaart gedeeltelijk waarom de gewrichten in de voeten het vaakst worden aangetast. De urinezuurconcentratie kan door verschillende factoren snel veranderen, waaronder trauma, chirurgie, chemotherapie, diuretica en het stoppen of beginnen met het gebruik van allopurinol.[1] Calciumantagonisten en losartan worden geassocieerd met een lager risico op jicht dan andere medicijnen voor hypertensie.[17]
Erfelijke aanleg
Jicht is ten dele een gevolg van erfelijke aanleg, die bijdraagt aan ongeveer 60% van de variatie in de urinezuurconcentratie. Er zijn drie genen gevonden (SLC2A9, SLC22A12 en ABCG2) die doorgaans worden geassocieerd met jicht, en bij variaties in deze genen is het risico ongeveer twee keer zo groot.[18][19] Mutaties in SLC2A9 en SLC22A12 die leiden tot functieverlies, veroorzaken erfelijke hypo-urikemie doordat de uraatopname wordt verminderd en uraat ongehinderd wordt uitgescheiden.[19] Bij enkele zeldzame genetische stoornissen, waaronder familiaire juveniele hyperurikemische nefropathie, medullair-cystische nier, fosforibosylpyrofosfaatsynthetase-overactiviteit en een tekort aan hypoxanthineguaninefosforibosyltransferase zoals zich voordoet bij het syndroom van Lesch-Nyhan, komt jicht als bijverschijnsel voor.
Jicht en voeding
Een verhoogde urinezuurconcentratie in het serum kan een gevolg zijn van voeding.[20][21][22]
Er is een sterke samenhang met de consumptie van alcohol, dranken die zijn gezoet met fructose, vlees, zeevis en schaal- en schelpdieren. De consumptie van koffie, vitamine C en zuivelproducten, en ook een goede lichamelijke conditie lijken het risico te verminderen.[2]
- Vlees, met name rood vlees en orgaanvlees. Mensen die rood vlees eten hebben 40% meer kans op jicht vergeleken met mensen die weinig rood vlees eten.[20]
- Alcoholhoudende dranken, met name bier en sterkedrank.[20] Twee tot vier glazen wijn per week heeft géén ongunstige invloed op het risico op jicht.[20] Alcoholgebruik leidt tot dehydratie (extra vochtverlies) en kan daarom ook een aanval uitlokken.
- Een hoge inname van zeevoedsel verhoogt de kans op jicht met 50% vergeleken met een lage inname.[20]
- Fructosehoudend voedsel. Consumptie van fructoserijke dranken, zoals vruchtensappen maar met name frisdranken, hangt in sterke mate samen met jicht, vooral bij mannen. Bij mensen die twee of meer glazen frisdrank per dag drinken verdubbelt het risico op jicht. De grote hoeveelheid fructose kan leiden tot een verhoogd urinezuurniveau in het bloed.[21][23][24] Fructose verhoogt de urinezuurproductie door een toegenomen afbraak van nucleotides. Erfelijke fructose-intolerantie is waarschijnlijk ook een tamelijk algemene oorzaak van jicht.[25]
- Tomaten zijn ook een mogelijke trigger van jicht.[26]
Er is een aantal voedingsmiddelen dat voorheen met jicht in verband werd gebracht, maar die uiteindelijk geen invloed blijken te hebben op het krijgen van jicht.[20]
- Plantaardige eiwitten (bijvoorbeeld tofoe)
- Purinerijke groenten, zoals peulvruchten (zoals bonen, erwten, linzen) en totaal eiwit.[27]
- Wijn (twee tot vier glazen per week)
Voedsel dat de kans op het krijgen van jicht zou kunnen doen verminderen:
- Consumptie van magere zuivel is geassocieerd met verlaging van de urinezuurspiegel en beschermt mogelijk tegen jicht. De melkeiwitten caseïne en lactalbumine bevorderen de renale uitscheiding van urinezuur. Bij een groep nonnen die als experiment vier weken geen zuivel gebruikte, steeg de urinezuurspiegel significant.[28]
- Koffieconsumptie. Bij mensen die veel koffie drinken komt minder jicht voor.[21] Antioxidanten in koffie, zoals chlorogeenzuur, verbeteren vermoedelijk de insulinegevoeligheid en verlagen de insulinespiegel, waardoor de renale uitscheiding van urinezuur toeneemt.
- Een traditionele remedie is het eten van zoete kersen. Deze kersen blijken de urinezuurconcentraties en het risico op jicht inderdaad te verlagen.[29][30][31]
- Door veel water te drinken neemt de concentratie urinezuur in het bloed af.
- Een evenwichtig dieet volgen en cholesterol beperken.
- Bij obese personen is gewichtsverlies een waardevolle maatregel.
- Ook vitamine C kan het urinezuurniveau in het serum verlagen.[32] Het gaat in competitie met de urinezuurabsorptie door de niertubuli in de nieren, en verlaagt ook het urinezuurniveau via de verhoging van de totale glomerulaire filtratiesnelheid in de nieren. In een twintig jaar durende studie bij bijna 50.000 mannen bleek het risico op jicht met bijna de helft verminderd door dagelijkse inname van 1500 mg vitamine C of meer.[33]
- Suppletie met polyfenolen kan waarschijnlijk ook het risico op jicht verminderen door een verlagend effect op de urinezuurniveaus in het lichaam en een remmend effect op het enzym xanthine oxidase. Xanthine oxidase zet xanthine (een afbraakproduct van purine) om in urinezuur.[34]
Het NHG (Nederlands Huisartsen Genootschap) acht een oorzakelijk verband met voeding nog onvoldoende bewezen, waardoor huisartsen niet actief wordt aanbevolen adviezen te geven over het vermijden van voedingsmiddelen.[35] De Nederlandse Vereniging voor Reumatologie geeft wél voedingsadviezen.[36]
Medische aandoeningen
Jicht komt vaak voor in combinatie met andere medische problemen. Metabool syndroom, een combinatie van abdominale obesitas, hypertensie, insulineresistentie en abnormale lipidenconcentraties komen voor in bijna 75% van alle gevallen. Andere aandoeningen waarbij jicht vaak als bijverschijnsel voorkomt, zijn onder meer: polycytemie, loodvergiftiging, nierfalen, hemolytische anemie, psoriasis en transplantatie van vaste organen. Een body mass index van 35 of hoger betekent voor mannen een driemaal zo hoog risico op jicht.
Het syndroom van Lesch-Nyhan wordt vaak in verband gebracht met jichtige artritis.
Jicht is ook een onafhankelijke risicofactor voor hart- en vaatziekten en is geassocieerd met het metabool syndroom.
Diagnose

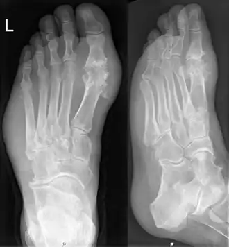
Jicht kan bij iemand met hyperurikemie en de klassieke podagra worden gediagnosticeerd en behandeld zonder verder onderzoek. Als aan de diagnose wordt getwijfeld, moet de gewrichtsvloeistof worden geanalyseerd.[1] Röntgenfoto's zijn nuttig voor het herkennen van chronische jicht, maar zijn nauwelijks van nut bij acute aanvallen.
Een diagnose kan bevestigd worden door afname van vocht uit een ontstoken gewricht en de karakteristieke naaldvormige kristallen aan te tonen. Dit is zeker noodzakelijk als het gewenst is vast te stellen of er sprake is van jicht of pseudojicht. Veel - zo niet de meeste - artsen zullen dit echter bij een typische presentatie niet nodig vinden.
Gewrichtsvloeistof
Een definitieve diagnose van jicht wordt gebaseerd op de identificatie van natriumuraatkristallen in de synoviale vloeistof of een tofus. Alle monsters gewrichtsvloeistof uit ontstoken gewrichten waarvan de oorzaak niet duidelijk is, moeten op deze kristallen worden onderzocht. Onder een microscoop met gepolariseerd licht hebben de kristallen een naaldachtige structuur en een sterk negatieve dubbele breking. Deze test is moeilijk uit te voeren en vereist vaak een getrainde waarnemer. De vloeistof moet ook relatief snel na het opzuigen worden onderzocht, omdat temperatuur en zuurgraad van invloed zijn op de oplosbaarheid van de kristallen.
Bloedonderzoek
Hyperurikemie is een klassiek kenmerk van jicht, maar jicht presenteert zich in bijna de helft van de gevallen zonder hyperurikemie, en de meeste mensen met een verhoogde urinezuurconcentratie krijgen nooit jicht.[37]
Het meten van de urinezuurconcentratie heeft dus een beperkte diagnostische waarde. Hyperurikemie wordt gedefinieerd als een uraatconcentratie in het plasma van meer dan 420 μmol/l (7,0 mg/dl) bij mannen en 360 μmol/l (6,0 mg/dl) bij vrouwen.[38] Ander bloedonderzoek dat vaak wordt uitgevoerd, is leukocytentelling, en bepaling van de elektrolyten, de nierfunctie en de bezinkingssnelheid van erytrocyten (BSE). Zowel het aantal leukocyten als de BSE kan verhoogd zijn door jicht zonder dat er sprake is van infectie.[39] Er is wel een leukocytentelling van maar liefst 40,0×109/l (40.000/mm3) gedocumenteerd.[1]
Differentiële diagnose
De belangrijkste differentiële diagnose van jicht is septische artritis. Dit moet worden overwogen bij patiënten die infectieverschijnselen vertonen of die niet opknappen van de behandeling. Ter ondersteuning van de diagnose kunnen een gramkleuring en kweek van de gewrichtsvloeistof worden gemaakt. Er zijn aandoeningen die erg veel op jicht lijken, zoals pseudojicht en reumatoïde artritis. Jichtknobbels kunnen, vooral wanneer ze niet in een gewricht optreden, worden aangezien voor basalecelcarcinomen of andere neoplasma's.
Behandeling
De behandeling van jicht kan uit 3 fases bestaan:
- Het behandelen van de acute fase en de daarmee samengaande pijn. De behandeling van de onderliggende hyperuricemie is meestal niet aangewezen zolang de acute aanval van jicht niet onder controle is.
- Het voorkomen van nieuwe acute opflakkeringen.
- Het verlagen van de hoeveelheid urinezuur om het neerslaan van uraatkristallen te voorkomen
Is de ontsteking eenmaal bedwongen dan kan ook worden begonnen met een preventief werkend medicijn, als de aanvallen met enige regelmaat terugkomen. Hiervoor bestaan verschillende effectieve middelen zoals benzbromaron of allopurinol, die echter bij sommige mensen vervelende bijwerkingen hebben.
De behandeling op langere termijn is gebaseerd op het verlagen van de hoeveelheid urinezuur in zowel het serum als de weefsels. Een dergelijke behandeling kan bestaan uit geneesmiddelen die het enzym xanthineoxidase remmen, middelen die de uitscheiding van urinezuur via de urine verhogen of die helpen urinezuur af te breken. Deze middelen kunnen in bepaalde gevallen toch acute aanvallen van jicht uitlokken. Dit ongewenste effect kan onderdrukt worden door profylactische geneesmiddelen als colchicine, lage dosissen NSAID's of lage dosissen prednison toe te passen.
Jicht is in de NHG-standaard als jichtartritis ondergebracht bij het ziektebeeld artritis. Het Nederlands Huisartsen Genootschap adviseert huisartsen vooral een medicamenteuze behandeling voor te schrijven, met een NSAID of een corticosteroïde als eerstekeusbehandeling, en in tweede instantie colchicine.[35] Bij tophi of een hoge aanvalsfrequentie adviseert de NHG-standaard een medicamenteuze urinezuurverlagende therapie.[35] In de richtlijn 'Jicht' van de Nederlandse Vereniging voor Reumatologie wordt naast een medicamenteuze behandeling wel een aantal voedingsmaatregelen geadviseerd, waaronder beperking van alcohol, fructoserijke voedingsmiddelen en purinerijke voedingsmiddelen, naast een gezonde leefstijl, waaronder gewichtsreductie.[36]
NSAID's
Meestal wordt begonnen met het behandelen van de acute fase, vooral gericht op het verminderen van de pijn en de ontsteking. De geneesmiddelen die hiervoor in aanmerking komen zijn voornamelijk de sterke niet-steroïde ontstekingsremmers (NSAID's) zoals indometacine, diclofenac, naproxen en ketoprofen; er is geen specifiek middel dat meer of minder effectief is dan andere. Binnen vier uur zijn verbeteringen waarneembaar en een behandeling van een tot twee weken wordt aanbevolen. Deze ontstekingsremmers worden echter niet aanbevolen voor patiënten met sommige andere gezondheidsklachten, zoals gastro-intestinale bloedingen, nierfalen of hartfalen. Hoewel indometacine van oudsher de meest gebruikte NSAID is, kan de voorkeur worden gegeven aan een alternatief zoals ibuprofen, dat niet effectiever is maar minder bijwerkingen heeft. Wie risico loopt op maagproblemen door NSAID's, kan als aanvulling een protonpompremmer voorgeschreven krijgen.
In het eerste decennium van de 21 eeuw is ontdekt dat middelen die het cyclo-oxygenase 2 enzym selectief remmen, even effectief zijn als de NSAID's met minder bijwerkingen.[2]
Steroïden
Glucocorticoïden, systemisch of intra-articulair toegediend, zijn net zo effectief als NSAID's in het kortstondig onderdrukken van de ontstekingsreactie bij een acute jichtaanval[40] en kunnen worden toegepast bij contra-indicaties voor NSAID's. Ze leiden ook tot verbetering wanneer ze worden geïnjecteerd in het gewricht; bij een gewrichtsinfectie is dit echter uitgesloten, omdat deze aandoening door steroïden wordt verergerd.
Colchicine
Het oudere geneesmiddel colchicine, een alkaloïde uit herfsttijloos (Colchicum autumnale), was jarenlang de eerstekeusbehandeling bij jicht. Het vermindert de inflammatie in gewrichten bij jicht. De bijwerkingen (vooral een verstoorde maag-darmwerking) beperken de toepassingsmogelijkheden.[41] Deze maag-darmproblemen hangen echter samen met de dosis, en het risico kan worden verkleind door gebruik van kleinere, maar toch effectieve doses.[42]
Vanwege de kleine therapeutische breedte van colchicine kent dit middel een beperkte plaats in het behandelen van de acute fase. Colchicine kan een wisselwerking aangaan met andere veel voorgeschreven medicijnen, zoals onder meer atorvastatine en erytromycine. Colchicine is vooral een alternatief voor wie geen NSAID's verdraagt.
Pegloticase
Pegloticase (merknaam Krystexxa) is in de VS in 2010 goedgekeurd voor behandeling van jicht.[43] Volgens de FDA is dit een optie voor de 3% van de patiënten die andere medicijnen niet verdragen.[43] Pegloticase wordt eens in de twee weken toegediend als intraveneus infuus,[43] en verlaagt de urinezuurconcentratie bij deze groep patiënten.[44]
-
jichttofi in de vorm van knobbels op de vinger en het oor -
Tofus op de knie -
Tofus op de teen en de buitenzijde van de enkel -
Jicht met als complicatie een gescheurde tofi (ontstekingsvocht bevatte bij onderzoek urinezuurkristallen)
- ↑ a b c d e f g h (en) Eggebeen AT. (15 September 2007). Gout: an update. (pdf). Am Fam Physician. 76 (6): 801–8. ISSN: 0002-838X. PMID 17910294. Gearchiveerd van origineel op 12 augustus 2017. Geraadpleegd op 19 oktober 2015.
- ↑ a b c d e f g h (en) Terkeltaub R. (Januari 2010). Update on gout: new therapeutic strategies and options. 2010 Jan;6(1):30–8. (pdf). Nat Rev Rheumatol. 6 (1): 30-38. ISSN: 1759-4804. PMID 20046204. DOI: 10.1038/nrrheum.2009.236. Gearchiveerd van origineel op 14 maart 2016. Geraadpleegd op 17 augustus 202317 oktober 2015.
- ↑ (en) Charles Dubow, The Disease Of Kings. Forbes (4 januari 2003). Geraadpleegd op 17 oktober 2015.
- ↑ (en) Rich Man's Disease. The free online medical dictionary, thesaurus and encyclopedia. Farlex. Geraadpleegd op 17 oktober 2015.
- ↑ (en) Hippocrates, Aphorisms by Hippocrates. The Internet Classics Archive (circa 400 voor Christus). Gearchiveerd op 7 juli 2010. Geraadpleegd op 17 oktober 2015.
- ↑ (en) A. Cornelius Celsus, Celsus On Medicine, Book IV. De Medicina (On Medicine) p. 355. Geraadpleegd op 17 oktober 2015.
- ↑ (en) Gout - The Affliction of Kings. The Hitchhiker's Guide to the Galaxy: Earth Edition. h2g2.com (31 mei 2006). Geraadpleegd op 17 oktober 2015.
- ↑ Michel de Lessines, Jicht behandelen, Speciaal Semper 1695, juli 1995
- ↑ (en) Storey GD. (Oktober 2001). Alfred Baring Garrod (1819-1907).. Rheumatology (Oxford) 40 (10): 1189–90. ISSN: 1462-0332. PMID 11600751. DOI: 10.1093/rheumatology/40.10.1189. Geraadpleegd op 17 oktober 2015. Dit artikel is door de uitgever gratis toegankelijk gemaakt.
- ↑ (en) Smith EUR, Díaz-Torné C, Perez-Ruiz F, March LM. (december 2010). Epidemiology of gout: an update (pdf). Best Pract Res Clin Rheumatol 24 (6): 811–27. ISSN: 1532-1770. PMID 21665128. DOI: 10.1016/j.berh.2010.10.004. Geraadpleegd op 11 maart 2016.
- ↑ (en) Roberts-Thomson RA, Roberts-Thomson PJ. (Mei 1999). Rheumatic disease and the Australian aborigine. Ann Rheum Dis. 1999 May;58(5):266–70. (pdf). Ann Rheum Dis. 58 (5): 266–70. ISSN: 0003-4967. PMID 10225809. PMC 1752880. DOI: 10.1097/00002281-200005000-00013. Geraadpleegd op 17 oktober 2015.
- ↑ (en) Vitart V, Rudan I, Hayward C, Gray NK, Floyd J, Palmer CNA, et al. (April 2008). SLC2A9 is a newly identified urate transporter influencing serum urate concentration, urate excretion and gout. (pdf). Nat. Genet. 40 (4): 437–42.. ISSN: 1546-1718. PMID 18327257. DOI: 10.1038/ng.106. Gearchiveerd van origineel op 14 maart 2016. Geraadpleegd op 17 oktober 2015.
- ↑ (en) Loghman-Adham M. (September 1997). Renal effects of environmental and occupational lead exposure.. Environmental Health Perspectives. 105 (9): 928–38. ISSN: 0091-6765. PMID 9300927. PMC 1470371. Dit is een open access artikel.
- ↑ (en) Gurwitz JH, Kalish SC, Bohn RL, Glynn RJ, Monane M, Mogun H, et al. (Augustus 1997). Thiazide diuretics and the initiation of anti-gout therapy. J Clin Epidemiol. 50 (8): 953–9. ISSN: 0895-4356. PMID 9291881. DOI: 10.1016/S0895-4356(97)00101-7.
- ↑ (en) Abrams B. (Februari 2005). Gout is an indicator of sleep apnea. Sleep. 2005 Feb;28(2):275. 28 (2): 275. ISSN: 0161-8105. PMID 16171252.
- ↑ (en) Halabe A, Sperling O. (1994). Uric acid nephrolithiasis.. Miner Electrolyte Metab. 20 (6): 424–31.. ISSN: 0378-0392. PMID 7783706.
- ↑ (en) Choi HK, Soriano LC, Zhang Y, Rodríguez LAG. (12 januari 2012). Antihypertensive drugs and risk of incident gout among patients with hypertension: population based case-control study.. BMJ 344: d8190. ISSN: 1756-1833. PMID 22240117. PMC 3257215. DOI: 10.1136/bmj.d8190. Dit is een open access artikel, beschikbaar onder de licentie Creative Commons Naamsvermelding Niet-commercieel (CC BY-NC; versie 2.0).
- ↑ (en) Merriman TR, Dalbeth N. (Januari 2011). The genetic basis of hyperuricaemia and gout. Joint Bone Spine. 2011 Jan;78(1):35–40. (pdf). Joint Bone Spine. 78 (1): 35–40. ISSN: 1778-7254. PMID 20472486. DOI: 10.1016/j.jbspin.2010.02.027. Gearchiveerd van origineel op 14 maart 2016. Geraadpleegd op 17 oktober 2015.
- ↑ a b (en) Reginato AM, Mount DB, Yang I, Choi HK. (Oktober 2012). The genetics of hyperuricaemia and gout. Nat Rev Rheumatol. 2012 Oct;8(10):610–21.. Nat Rev Rheumatol 8 (10): 610–21. ISSN: 1759-4804. PMID 22945592. PMC 3645862. DOI: 10.1038/nrrheum.2012.144. Dit is een open access artikel.
- ↑ a b c d e f (en) Choi HK, Curhan G. (Mei 2005). Gout: epidemiology and lifestyle choices.. Curr Opin Rheumatol. 17 (3): 341–5. ISSN: 1040-8711. PMID 15838248.
- ↑ a b c Hak AE, Choi HK. (Maart 2008). Lifestyle and gout.. Curr Opin Rheumatol. 20 (2): 179–86. ISSN: 1040-8711. PMID 18349748. DOI: 10.1097/BOR.0b013e3282f524a2.
- ↑ (en) Williams PT. (Mei 2008). Effects of diet, physical activity and performance, and body weight on incident gout in ostensibly healthy, vigorously active men. American Journal of Clinical Nutrition. 2008 May;87(5):1480–7.. American Journal of Clinical Nutrition 87 (5): 1480–7. ISSN: 1938-3207. PMID 18469274. PMC 4090353. Dit is een open access artikel.
- ↑ (en) Choi HK, Curhan G. Soft drinks, fructose consumption, and the risk of gout in men: prospective cohort study. (2008) BMJ 336:309-312. PMID 18244959 gratis volledige artikel. Gearchiveerd op 22 september 2022.
- ↑ (en) Choi JW, Ford ES, Gao X, et al. Sugar-sweetened soft drinks, diet soft drinks, and serum uric acid level: the Third National Health and Nutrition Examination Survey. (2008) Arthritis Rheum 59:109-116. PMID 18163396 gratis volledige artikel.
- ↑ (en) Seegmiller JE, Dixon RM, Kemp GJ, et al. Fructose-induced aberration of metabolism in familial gout identified by 31P magnetic resonance spectroscopy. (1990) Proc Natl Acad Sci USA; 87(21): 8326–8330. PMID 18244959 gratis volledige artikel.
- ↑ (en) Flynn TJ, Cadzow M, Dalbeth N, Jones PB, Stamp LK, Hindmarsh JH, et al. (19 augustus 2015). Positive association of tomato consumption with serum urate: support for tomato consumption as an anecdotal trigger of gout flares (pdf). BMC Musculoskelet Disord 16: 196. ISSN: 1471-2474. PMID 26286027. PMC 4541734. DOI: 10.1186/s12891-015-0661-8. Dit is een open access artikel, beschikbaar onder de licentie Creative Commons Naamsvermelding (CC BY; versie 4.0).
- ↑ (en) Choi HK, Atkinson K, Karlson EW, Willett W, Curhan G. (11 maart 2004). Purine-rich foods, dairy and protein intake, and the risk of gout in men.. N Engl J Med. 350 (11): 1093–103. ISSN: 1533-4406. PMID 15014182. DOI: 10.1056/NEJMoa035700. Dit artikel is door de uitgever gratis toegankelijk gemaakt.
- ↑ (en) Ghadirian P, Shatenstein B, Verdy M, Hamet P. (Juni 1995). The influence of dairy products on plasma uric acid in women.. Eur. J. Epidemiol. 11 (3): 275–81. ISSN: 0393-2990. PMID 7493659. DOI: 10.1007/BF01719431.
- ↑ (en) Jacob RA, Spinozzi GM, Simon VA, Kelley DS, Prior RL, Hess-Pierce B, et al. (Juni 2003). Consumption of cherries lowers plasma urate in healthy women. J. Nutr. 2003 Jun;133(6):1826–9.. J. Nutr. 133 (6): 1826–9. ISSN: 0022-3166. PMID 12771324. Dit artikel is door de uitgever gratis toegankelijk gemaakt.
- ↑ (en) Zhang Y, Neogi T, Chen C, Chaisson C, Hunter DJ, Choi HK (28 november 2012). Cherry consumption and decreased risk of recurrent gout attacks. Arthritis Rheum 64 (12): 4004–11. ISSN: 1529-0131. PMID 23023818. PMC 3510330. DOI: 10.1002/art.34677. Dit is een open access artikel
- ↑ (en) Schlesinger N, Schlesinger M (28 maart 2013). Previously reported prior studies of cherry juice concentrate for gout flare prophylaxis: comment on the article by Zhang et al.. Arthritis Rheum 65 (4): 1135–6. ISSN: 1529-0131. PMID 23334899. DOI: 10.1002/art.37864. Dit is een open access artikel.
- ↑ (en) Juraschek SP, Miller ER, Gelber AC. (29 augustus 2011). Effect of oral vitamin C supplementation on serum uric acid: a meta-analysis of randomized controlled trials.. Arthritis Care Res. 63 (9): 1295–1306. ISSN: 2151-4658. PMID 21671418. PMC 3169708. DOI: 10.1002/acr.20519. Dit is een open access artikel.
- ↑ (en) Choi HK, Atkinson K, Karlson EW, Willett W, Curhan G. (9 maart 2009). Choi HK, Gao X, Curhan G. Vitamin C intake and the risk of gout in men: a prospective study. Arch Intern Med. 2009 Mar 9;169(5):502–7.. Arch Intern Med. 169 (5): 502–7. ISSN: 1538-3679. PMID 19273781. PMC 2767211. DOI: 10.1001/archinternmed.2008.606. Dit is een open access artikel.
- ↑ (en) Moriwaki Y, Okuda C, Yamamoto A, Ka T. (Januari 2011). Effects of Oligonol®, an oligomerized polyphenol formulated from lychee fruit, on serum concentration and urinary excretion of uric acid.. Journal of Functional Foods. 3 (1): 13-16. ISSN: 1756-4646. DOI: 10.1016/j.jff.2010.11.002. Besproken in: Nathan Gray - Polyphenols may reduce risk of gout. Nutraingredients.com 13 december 2010.
- ↑ a b c Janssens HJEM, Lagro HAHM, Van Peet PG, Gorter KJ, Van der Pas P, Van der Paardt M†, Woutersen-Koch, NHG-standaard M90 Artritis - kopje 'Beleid bij jichtartritis'. NHG-standaarden (augustus 2009). Geraadpleegd op 12 maart 2016.
- ↑ a b Nederlandse Vereniging voor Reumatologie, Richtlijn Jicht (pdf). NVR Richtlijnen, standpunten en zorgpaden. Nederlandse Vereniging voor Reumatologie (2013). Geraadpleegd op 12 maart 2016.
- ↑ (en) Sturrock RD. (15 januari 2000). Gout. Easy to misdiagnose. BMJ 320 (7228): 132–3. ISSN: 0959-8138. PMID 10634714. PMC 1128728. Dit is een open access artikel.
- ↑ (en) Sachs L, Batra KL, Zimmermann B. (November 2009). Medical implications of hyperuricemia. Med Health R I. 2009 Nov;92(11):353–5. (pdf). Med Health R I. 92 (11): 353–5. ISSN: 1086-5462. PMID 19999892. Gearchiveerd van origineel op 17 augustus 2023. Geraadpleegd op 20 februari 2016.
- ↑ (en) Rothschild, BM, Gout and Pseudogout. Medscape Drugs & Diseases. Medscape (21 september 2015). Geraadpleegd op 17 oktober 2015.
- ↑ (en) Man CY, Cheung ITF, Cameron PA, Rainer TH. (mei 2007). Comparison of oral prednisolone/paracetamol and oral indomethacin/paracetamol combination therapy in the treatment of acute goutlike arthritis: a double-blind, randomized, controlled trial. (pdf). Annals of Emergency Medicine 49 (5): 670–7. ISSN: 1097-6760. PMID 17276548. DOI: 10.1016/j.annemergmed.2006.11.014. Geraadpleegd op 16 februari 2016.
- ↑ (en) U.S. Food and Drug Administration, Information for Healthcare Professionals: New Safety Information for Colchicine (marketed as Colcrys). US Food and Drug Administration (30 juli 2009). Geraadpleegd op 16 februari 2016.
- ↑ (en) Laubscher T, Dumont Z, Regier L, Jensen B. (December 2009). Taking the stress out of managing gout. Canadian family physician 55 (12): 1209–12. ISSN: 1715-5258. PMID 20008601. PMC 2793228.
- ↑ a b c (en) US Food and Drug Administration, FDA approves new drug for gout (14 september 2010). Geraadpleegd op 18 februari 2016.
- ↑ (en) Sundy JS, Baraf HSB, Yood RA, Edwards NL, Gutierrez-Urena SR, Treadwell EL, et al. (17 augustus 2011). Efficacy and tolerability of pegloticase for the treatment of chronic gout in patients refractory to conventional treatment: two randomized controlled trials. JAMA 306 (7): 711–20. ISSN: 1538-3598. PMID 21846852. DOI: 10.1001/jama.2011.1169. Dit is een open access artikel.
