Hondsdolheid

Esculaap
Neem het voorbehoud bij medische informatie in acht.
Raadpleeg bij gezondheidsklachten een arts.
Hondsdolheid
Rabies
Een tegen hondsdolheid gevaccineerde hond draagt een penning die iedere 3 jaar vervangen moet worden (Nobivac Rabies is 3 jaar geldig)
Een tegen hondsdolheid gevaccineerde hond draagt een penning die iedere 3 jaar vervangen moet worden (Nobivac Rabies is 3 jaar geldig)
Coderingen
ICD-11
1C82
Eerdere versies
ICD-10: A82
ICD-9: 071
DiseasesDB 11148
DOID 11260
MedlinePlus 001334
eMedicine med/1374
emerg/493 ped/1974
MeSH D011818
Portaal  Portaalicoon   Geneeskunde

Hondsdolheid of rabiës, ook wel lyssa en historisch soms aangeduid als hydrofobie, watervrees of hondsrazernij, is een ernstige aandoening als gevolg van een infectie met het rabiësvirus, meestal door een beet van een (klein) door rabiës besmet roofdier of huisdier (onder andere honden, vossen, vleermuizen en katten). Hondsdolheid is uiterst gevaarlijk voor mensen en leidt onbehandeld tot de dood.

Algemeen

Hondsdolheid is een virusinfectie van de hersenen die als ze eenmaal is uitgebroken, dat wil zeggen als de patiënt eenmaal symptomen van infectie vertoont, vrijwel altijd dodelijk afloopt.[1] Er zijn wereldwijd in de medische literatuur slechts 6 mensen bij wie genezing optrad. Een geval in 2005 gaf hoop op een nieuwe behandelmethode,[2] maar het resultaat kon door anderen niet worden gereproduceerd.[3] Het virus wordt verspreid door het speeksel van besmette zoogdieren, meestal (maar niet altijd) carnivoren (onder andere honden, vossen, katten, apen en vleermuizen). In Noord-Amerika wordt de ziekte ook wel overgebracht door beten van wasberen en stinkdieren. Met rabiës besmette dieren zijn niet altijd te herkennen, sommige dieren dragen het virus bij zich zonder er zichtbaar last van te hebben. Verdacht is het als een dier agressief en onrustig is, of als een dier dat normaal in het wild leeft zoals een vos abnormaal tam is. In Nederland is in 2007 en 2013 één geval van menselijke hondsdolheid geregistreerd; wereldwijd vergt hondsdolheid nog 40.000-70.000 doden per jaar, voor 80% in Azië (onder andere India) en Afrika. Ca 10 miljoen mensen worden per jaar wereldwijd na een beet profylactisch behandeld. De ziekte was al bij de oude Grieken als een aparte entiteit bekend.

Verwekker

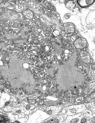
Foto gemaakt middels TEM met talrijke rabiesvirionen (kleine, donkergrijze, staafvormige deeltjes) en Negri-lichaampjes (de grotere pathognomonische cellulaire insluitsels van rabiesvirus)

Het rabiësvirus is de typesoort van het genus Lyssavirus, in de familie Rhabdoviridae, orde Mononegavirales. Lyssavirussen hebben een helixvormige symmetrische structuur, met een lengte van ongeveer 180 nm en een doorsnede van ongeveer 75 nm.[4] Deze virussen hebben een envelop en zijn RNA virussen met een genoom van enkelstrengs RNA in negatieve (omgekeerde) richting (sense). Het genetische materiaal is verpakt als ribonucleoproteïnecomplex waarin RNA stevig is gebonden door het virale nucleoproteïne. Het RNA-genoom van het virus bevat vijf genen waarvan de volgorde zeer geconserveerd is: nucleoproteïne (N), fosfoproteïne (P), matrixproteïne (M), glycoproteïne (G) en het virale RNA-polymerase (L).[5]

Wanneer het virus zich in een spier- of zenuwcel bevindt, begint het virus zich te vermenigvuldigen. De uitstekende trimeren aan de buitenkant van het membraan van het virus binden aan een specifieke celreceptor, meest waarschijnlijk de acetylcholinereceptor. De cellulaire membraan stulpt in, een proces dat pinocytose heet, waardoor het virus de cel kan binnendringen in een endosoom. Het virus gebruikt dan het zure milieu van het endosoom en bindt dan aan de endosoom-membraan, waardoor bovengenoemde vijf virale eiwitten en enkelstrengs-RNA in het cytoplasma van de cel komen.[6]

Het L-proteïne maakt dan een afschrift in de vorm van vijf messenger-RNA-strengen (mRNA) en een positieve RNA-streng van de hele oorspronkelijke negatieve RNA-streng. Dit enzym maakt daarbij gebruik van vrije nucleotides in het cytoplasma. Van deze vijf mRNA-strengen wordt dan middels translatie omgezet in de bijbehorende eiwitten (P-, L-, N-, G- en M-proteïnes) in vrije ribosomen in het cytoplasma. Sommige eiwitten hebben nog post-translationale veranderingen nodig. Zo gaat het G-proteïne door het ruwe endoplasmatisch reticulum, waar het verder gevouwen wordt, waarna het wordt getransporteerd naar het Golgi-apparaat waar er nog een suikergroep wordt aangehangen (glycosylering).[6]

Als er genoeg eiwitten zijn gemaakt, gaat het viraal polymerase nieuwe negatieve RNA-strengen maken waarbij de positieve RNA-streng als mal dient. Deze negatieve strengen vormen daarna complexes met de N-, P-, L- en M-proteïnes en gaan daarna naar de binnenste membraan van de cel, waar een G-proteïne zich heeft ingenesteld. Het G-proteïne draait daarna om het N-P-L-M-proteïnecomplex waarbij het de membraan van de gastheercel meeneemt, die vervolgens de envelop van het nieuwe virusdeeltje gaat vormen. Het nieuw ontstane virusdeeltje ontknopt dan uit de cel.[6]

Het virus is neurotroop (het richt zich op het zenuwweefsel): vanaf de plaats waar het virus het lichaam binnendringt, klimt het virus langs de zenuwbanen naar het centraal zenuwstelsel, en daarna naar andere organen.[7] De speekselklieren bevatten hoge concentraties van het virus, wat verdere overdracht via speeksel en/of een bijtwond mogelijk maakt. Dit wordt versterkt door het feit dat het virus de speekselproductie verhoogt en door de hydrofobie (afkeer van water en hevige krampen), alsmede de razernij veroorzaakt door de aantasting van de hersen- en zenuwcellen door het virus. Bij dieren verhoogt dit gedrag de kans op bijten en daarmee besmetting.

Verloop

De efficiënte binding van RABV-G aan gastheercelreceptoren zorgt voor virusopname en bevordert virulentie. Op deze manier speelt RABV-G een essentiële rol in de transsynaptische verspreiding van RABV door het centrale zenuwstelsel. RABV-G is ook relevant voor de immuunrespons tegen RABV. Als het enige eiwit dat op het oppervlak van het virion wordt blootgesteld, is RABV-G het belangrijkste doelwit voor het neutraliseren van antilichamen en vaccinontwikkeling.[8]

Aangetast weefsel

Er is na de besmetting een incubatietijd waarvan de lengte vooral afhangt van de plaats waar men gebeten wordt: hoe verder van de hersenen, hoe langer de incubatietijd. Beten in het gezicht hebben de kortste incubatietijd. In deze tijd reist het virus langs de zenuwbanen omhoog naar het centraal zenuwstelsel. De incubatietijd kan van twee weken tot vele maanden bedragen; twee jaar is beschreven.

Deze tijd kan worden benut om het slachtoffer alsnog te beschermen door passieve en actieve immunisatie: er worden immunoglobulinen gegeven en er wordt een rabiësvaccin toegediend in een aantal sessies. Hiermee lukt het vrijwel altijd om het uitbreken van de ziekte te voorkomen. Vooral vroegere vaccins hadden ernstige potentiële bijwerkingen, reden om ze niet te gretig uit te delen aan mensen met een zeer laag risico. Als men eenmaal gebeten is wordt vrijwel ieder risico van een vaccin geaccepteerd, gelet op de onvermijdelijk fatale afloop van de ziekte.

Symptomen

Wordt er niet gevaccineerd, dan kan het slachtoffer na verloop van tijd ziek worden. De symptomen kunnen nogal wisselen, meestal begint het met aspecifieke symptomen: lichte koorts, algehele malaise, hoofdpijn en verminderde eetlust, zere keel en misselijkheid komen veel voor, gevolgd door prikkelbaarheid, verhoogde spierspanning en overgevoeligheid voor fel licht en harde geluiden, desoriëntatie, en uiteindelijk hallucinaties die kunnen leiden tot aanvallen van razernij.

De belangrijkste diagnostische symptomen zijn echter abnormale gevoelens in het gebeten lichaamsdeel. Een gevoel van pijn, koude, jeuk of tintelen treedt bij 80% van de patiënten op. Langzaam treedt er een verhoogde prikkelbaarheid op, soms met spierkrampen. Het zien van water en pogingen te drinken kan krampen uitlokken van de slikspieren en de ademhalingsspieren die zo onaangenaam zijn dat de patiënt angst krijgt voor water (een oude Engelse naam voor rabiës is hydrophobia, watervrees). Soms overlijdt de patiënt al tijdens zo'n krampaanval. Door het verlammen van de kaakspieren zal het slachtoffer gaan kwijlen, of proberen het overtollig speeksel door te spugen kwijt te raken om maar niet te hoeven slikken. Menselijke slachtoffers zijn in theorie besmettelijk (als ze anderen zouden bijten) maar besmetting van artsen of verplegend personeel komt eigenlijk in de praktijk niet voor. Ook kan men in theorie door een kus besmet raken.

Hierna ontstaan verlammingsverschijnselen en uiteindelijk coma en overlijden. Er zijn wereldwijd maar enkele gevallen beschreven van mensen die rabiës hebben overleefd.

Besmette symptomatische honden tonen de overbekende agressie, waarbij een kenmerkend gehuil ten gehore wordt gebracht dat het midden houdt tussen blaffen en janken. Ze hebben de neiging veel te kwijlen en zich vast te bijten in voorwerpen die voor hun bek komen (tralies, stok). Verder tonen ze rusteloosheid en drentelen ze rond. Op enkele uitzonderingen na eten en drinken dolle honden niet meer. In een later stadium raken ze gedesorienteerd en kunnen ze hun evenwicht niet meer bewaren, gevolgd door apathie, verlamming, coma en de dood.

Preventie bij mensen

  • Wie naar een gebied gaat waar hondsdolheid voorkomt kan zich laten inenten. Dit wordt alleen aanbevolen bij langdurig verblijf (meer dan drie maanden).
  • In bijna alle gevallen is de besmettingsweg een beet. Voorkom contact met potentiële dragers (ook honden) omdat een beet, en in (zeer) zeldzame gevallen ook een krab of een lik, besmetting kan overdragen.
  • In het buitenland nooit loslopende honden aaien.
  • Ook in Nederland en België: geen vleermuizen hanteren zonder handschoenen. Geen vossen proberen te aaien die onverwachts tam lijken.
  • Na een beet door een mogelijk hondsdol dier is het zeer gewenst dat dit dier wordt gevangen en in quarantaine wordt geplaatst om te kijken of het rabiës heeft. Er is wat tijd om te kijken of vaccinatie nodig is. Is het dier besmet, of is de mogelijkheid aanwezig maar is zekerheid niet te verkrijgen omdat het dier niet is gevangen, dan zal er preventief moeten worden ingeënt. Naast vaccinaties is het tegenwoordig ook mogelijk antistoffen te geven. Deze zijn niet in alle landen voorradig en ook de kwaliteit van het vaccin is niet altijd even goed – de oudere niet-recombinantvaccins hadden daarnaast ernstige potentiële bijwerkingen.
  • Wie een hond of kat wil nemen als huisdier doet er verstandig aan om deze zo snel mogelijk na de aanschaf preventief te laten vaccineren tegen hondsdolheid. Dit kan door een dierenarts worden gedaan. Op deze manier kan voorkomen worden dat de hond of kat de ziekte kan overdragen.

Nederland

In Nederland zijn in de 22 jaar tussen 1988 en 2010 twee gevallen van fatale rabiës gemeld; in beide gevallen betrof het mensen die in Afrika waren gebeten door respectievelijk een hond en een vleermuis. Bij beiden was te laat met de behandeling begonnen.[9] Op 26 juni 2013 werd bekend dat een 52-jarige man rabiës had opgelopen na een beet in zijn arm in mei in Haïti.[10] De laatste gevallen van rabiësoverdracht door dieren op mensen in Nederland dateren van 1962. De laatste rabiësuitbraak onder dieren dateert uit 1988. Deze uitbraak werd bestreden met een grote orale vaccinatiecampagne onder vossen (lokazen met vaccin). Sindsdien heeft er in Nederland geen overdracht van het klassieke rabiësvirus onder dieren meer plaatsgevonden.[9] Vleermuizen kunnen, ook in Nederland, wel besmet zijn.

In februari 2012 is er een hond in Nederland aangetroffen met hondsdolheid. Het ging om een hond van 8,5 week uit Marokko. Vijftig mensen werden door de gemeentelijke gezondheidsdienst benaderd, waarvan een deel werd gevaccineerd. De hond heeft men laten inslapen. Dit is het eerste geval sinds 1991.[11]

In oktober 2013 zijn er in Rotterdam en Zaandam twee honden uit Bulgarije afgemaakt. Na een herhaling van de test is er geen rabiës vastgesteld.[12] Hierna werden door België en Noorwegen de grenzen voor puppy's uit Nederland weer opengesteld.[13]

België

België wordt sinds 29 oktober 2008 door de Wereldorganisatie voor diergezondheid rabiësvrij beschouwd.[14] In 2020 eiste het FAVV voor de rechtbank dat het uit Peru meegesmokkeld katje Lee afgemaakt zou worden om een eventuele besmetting voor te blijven, dit volgens het hoofd van de FAVV omdat er geen quarantaine-infrastructuur zou zijn om de kat in observatie te houden. Het voorgestelde ombrengen van de kat door gebrek aan infrastructuur om quarantaine bij hondsdolheid mogelijk te maken, maakte veel emoties los en zorgde voor wekenlange verontwaardigde en emotionele discussies in kranten en op sociale media. De woordvoerster van het FAVV stelde ook dat ze doodsbedreiging(en) had ontvangen. [15]

Verenigd Koninkrijk

Tot 2001 werden zoogdieren van buiten niet binnengelaten, tenzij ze eerst negen maanden in quarantaine werden gehouden, wat voor vrijwel iedereen te lang was, om praktische redenen. Sinds dat jaar kunnen honden echter het land in mits ze:

  • minder dan zeven maanden geleden ingeënt zijn;
  • gecontroleerd zijn op het gevormd hebben van antistoffen;
  • recent zijn behandeld tegen wormen en teken;
  • voorzien zijn van een door een dierenarts getekend certificaat. Deze verklaring moet (ook) vermeld zijn in het hondenpaspoort;
  • eenduidig kunnen worden geïdentificeerd.

In 1996 werd voor het eerst bij een Britse vleermuis het vleermuizen-hondsdolheidvirus EBLV-2 gevonden[16] en in 2002 overleed een vleermuisliefhebber aan hondsdolheid na een beet,[17] het eerste inheemse Britse geval van hondsdolheid sinds bijna een eeuw.

Bestrijding

Sinds de Middeleeuwen wordt hondenbelasting geheven. Deze werd ingevoerd om de overlast van honden en de verspreiding van hondsdolheid tegen te gaan.

In continentaal West-Europa komt de ziekte vrijwel uitsluitend voor onder vossen. Vleermuizen zijn weleens besmet maar vormen geen belangrijke besmettingsbron. De ziekte die onder vleermuizen circuleert is niet van dezelfde vorm als die onder vossen. In Nederland en België komt hondsdolheid bij mensen al tientallen jaren niet meer voor, hoewel af en toe vossen vanuit Duitsland de besmetting over de grens brengen, in Nederland voor het laatst in Limburg eind jaren zestig. De ziekte is ook onder vossen uitstekend preventief te bestrijden.[18] Hondsdolheid kwam tot 1966 niet voor in België. In 1989 begon in België een nationaal programma waarbij 15 tot 20 lokazen per km² werden uitgeworpen vanuit een helikopter. Deze lokazen waren voorzien van een gemodificeerde rabiësvirusstam die de dieren immuun maakte voor de ziekte. Deze campagne werd herhaald, waardoor de ziekte in 1994 niet meer voorkwam onder vossen.

Zie de categorie Rabies van Wikimedia Commons voor mediabestanden over dit onderwerp.