Hepatotoxiciteit
Raadpleeg bij gezondheidsklachten een arts.

| Alternatieve namen |
|---|
| Toxische leverziekte Toxine-geïnduceerde leverziekte |
| Ondergeschikte termen |
| Toxische hepatitis Toxin induced hepatitis |
Hepatotoxiciteit is de eigenschap van sommige stoffen, zoals medicijnen, die ze in staat stelt de lever te beschadigen.
De lever speelt een onmisbare rol in het afbreken en verwijderen van stoffen, maar kan zelf ook beschadigd raken door deze stoffen. Sommige medicijnen kunnen, wanneer er veel van ingenomen wordt, de lever beschadigen. Soms gebeurt dat zelfs bij een normale dosis. Ook andere stoffen kunnen de lever beschadigen, bijvoorbeeld stoffen uit een laboratorium, de industrie, de natuur, planten en kruiden. Stoffen die wereldwijd veel leverbeschadiging veroorzaken, zijn alcohol en paracetamol.
Afbraak van medicijnen in de lever

Het menselijk lichaam herkent bijna alle medicijnen als lichaamsvreemd en breekt ze chemisch af (metabolisme), om ze te kunnen uitscheiden. Daarvoor is het nodig om:
- ze minder vetoplosbaar te maken,
- de biologische activiteit te verminderen.
Hoewel alle weefsels van het lichaam chemicaliën af kunnen breken, is het glad endoplasmatisch reticulum van de lever dé grote chemische fabriek die in het lichaam zelf gevormde stoffen af kan breken. Voorbeelden hiervan zijn cholesterol, steroïde hormonen, vetzuren, hormonen, en eiwitten. Ook breekt het van buiten het lichaam komende stoffen zoals medicijnen en alcohol af.[1] De centrale rol die de lever speelt bij het uitscheiden en afbreken van chemicaliën zorgt ervoor dat beschadiging van de lever een grote invloed heeft op het lichaam.
De afbraak van stoffen verloopt meestal in twee fasen. In de eerste fase worden stoffen zo aangepast, dat ze in fase 2 verwerkt kunnen worden. In deze fase vinden talloze chemische reacties plaats, waaronder reductie of oxidatie, hydrolyse of hydratatie. Over het algemeen maken deze reacties de af te breken stof meer wateroplosbaar. Echter kunnen er tussenproducten ontstaan die chemisch actiever zijn en soms meer kwaad doen dan de oorspronkelijke stof. Veel stoffen komen meteen in fase 2.
De meeste fase- 2- reacties vinden plaats in de cytosol en bestaan uit het vastmaken van lichaamseigen stoffen via transferase enzymen. Dit inactiveert de stoffen uit fase 1, die hierdoor kunnen worden uitgescheiden.
Cytochroom P450
Een groep enzymen die zich in het endoplasmatisch reticulum bevindt, staat bekend als cytochroom P450. Dit is de belangrijkste familie van afbrekende enzymen in de lever. Cytochroom P450 is het eindstation, de oxidatiekant van een keten van elektronentransport. Het bestaat dus niet uit één enkel enzym, maar eerder uit zo’n 50 zogenaamde isovormen, waarvan zes zo’n 90% van alle medicijnen afbreekt.[2][3] Er is een grote diversiteit aan individuele P450-producten. Deze variatie stelt de lever in staat om allerlei stoffen in fase 1 te oxideren, en ook vrijwel alle medicijnen. Drie belangrijke eigenschappen van het P450-systeem spelen een rol bij hepatotoxiciteit en schadelijke effecten van medicijnen:
1. Erfelijke eigenschappen
Elk P450-eiwit is uniek en draagt er in bepaalde mate aan bij dat de snelheid, waarmee medicijnen worden afgebroken, per persoon verschilt. Er moet rekening worden gehouden met genetische variaties in het P-450-metabolisme, wanneer patiënten meer of juist minder effect van de normale dosis van een medicijn merken dan gebruikelijk. Deze variatie zorgt er ook voor dat patiënten met een verschillende etnische achtergrond verschillend reageren op medicijnen.
2. Veranderde activiteit van het enzym
| Krachtige inductors | Krachtige inhibitoren | Substraten |
|---|---|---|
| Rifampicine, Carbamazepine, Fenobarbital, Fenytoïne, Sintjanskruid), |
Amiodaron, cimetidine, ciprofloxacine, fluconazol, fluoxetine, erytromycine, isoniazide, diltiazem |
Cafeïne, clozapine, omeprazol, losartan, theofylline |
Veel stoffen kunnen het P450-enzym-mechanisme beïnvloeden. Medicijnen kunnen verschillende wisselwerkingen hebben met de enzymfamilie.[6] Medicijnen die het cytochroom P450-enzym beïnvloeden, zijn inhibitoren, of incutoren. Enzyminhibitoren blokkeren de metabole activiteit van één of meer P-450-enzymen. Meestal werken zij meteen. Inductoren daarentegen verhogen de P450-activiteit door de synthese te verhogen. Afhankelijk van de halfwaardetijd, duurt het meestal een tijdje voor het enzym een verhoogde activiteit heeft.[3]
3. Competitieve inhibitie
Wanneer medicijnen door hetzelfde P-450 complex moeten worden afgebroken, moeten ze met elkaar concurreren. Dit kan leiden tot ophoping van een of beide geneesmiddelen. Het kan ook de vorming van toxische fase 1 metabolieten juist vertragen.
Mechanisme van leverbeschadiging
| Factoren die het optreden van leverbeschadiging beïnvloeden[7] |
|---|
|
Regelmatig worden medicijnen uit de markt genomen omdat men na verloop van tijd ontdekt dat ze de lever kunnen beschadigen en dus hepatotoxisch kunnen zijn. De lever is gevoelig voor beschadiging door medicijnen of andere chemicaliën door zijn unieke stofwisseling en zijn nauwe verbindingen met het maag-darmstelsel. 75% van het bloed dat door de lever stroomt komt via de poortader rechtstreeks van het maag-darmkanaal of de milt, waardoor de medicijnen of de lichaamsvreemde stoffen bijna onverdund worden aangeboden. Verschillende mechanismes kunnen leiden tot het ontstaan of verergeren van schade aan de lever. Veel stoffen beschadigen de mitochondriën; dat zijn organellen in de cel die energie produceren. Beschadiging van mitochondria maakt allerlei oxiderende stoffen vrij die op hun beurt de cellen van de lever aantasten. Activering van sommige enzymen in het cytochroom P450 systeem, zoals CYP2E1 leiden eveneens tot oxidatieve stress.[8] Beschadiging van de hepatocyt (levercel) en de cellen van de galgang leiden tot ophoping van galzuren, in de lever. Hierdoor ontstaat weer verdere leverbeschadiging.[9] Andere soorten cellen zoals kupffercellen, vetcellen en witte bloedlichaampjes spelen elk hun eigen rol in het proces.
Bijwerkingen van medicijnen

Er zijn twee soorten bijwerkingen van medicijnen. De ene soort, type A, wordt intrinsiek of farmacologisch genoemd, terwijl type B idiosyncratisch heet.[10] Farmacologische bijwerkingen (type A) zijn verantwoordelijk voor 80% van alle problemen.[11]
De farmacologische (type A) hepatotoxiciteit (schadelijk effect op de lever) van geneesmiddelen of gifstoffen is voorspelbaar en afhankelijk van de dosis. De bijwerking volgt logischerwijs uit de eigenschappen van de stof, die bijvoorbeeld een reactie in de stofwisseling blokkeert, of de levercellen aantast. Een overdosis van paracetamol bijvoorbeeld, geeft problemen zodra een bepaalde drempel is overschreden.
Idiosyncratische bijwerkingen (type B) treden zonder waarschuwing op, wanneer het medicament aan vatbare individuen wordt toegediend en zijn onvoorspelbaar, zowel wat tijdstip van optreden als wat de gebruikte dosering betreft.[12] Er is geen duidelijk verband tussen de duur of de hoogte van het medicijngebruik en dit soort bijwerkingen. Idiosyncratische hepatotoxiciteit leidt er soms toe dat de registratie van medicijnen weer wordt ingetrokken, ook al hadden ze daarvoor aan de strenge toelatingscriteria voldaan.
| Soort schade: | Levercel | Cholestase | Gemengd |
|---|---|---|---|
| ALAT | ≥ Tweemaal te hoog | Normaal | ≥ Tweemaal te hoog |
| AF | Normaal | ≥ Tweemaal te hoog | ≥ Tweemaal te hoog |
| ALAT: AF verhouding | Hoog, ≥5 | Laag, ≤2 | 2-5 |
| Voorbeelden[13] | Paracetamol Allopurinol Amiodaron HIV-remmer NSAID |
Anabole steroïden Chloorpromazine Clopidogrel Erytromycine Anticonceptiepil |
Amitryptyline, Enalapril Carbamazepine Sulfonamide Fenytoïne |
Manieren waarop schade ontstaat
Opgegeven reden: Werk aan lay-out
De vorm die chemisch veroorzaakte leverschade aanneemt, kan zowel klinisch als ziektekundig uiteen lopen. Biochemische bepalingen, zoals ALAT, alkalische fosfatase, gamma GT en bilirubine worden regelmatig gebruikt om leverbeschadiging op te sporen. Leverbeschadiging wordt verder beschreven als hepatocellulair (vooral ALAT-verhoging) of cholestatisch (vooral AF-verhoging). Die sluiten elkaar echter niet uit; vaak is er sprake van een gemengd type. De microscopische afwijkingen die daarbij horen, volgen hieronder.

Zonale Necrose
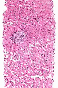
Zonale necrose is de meest voorkomende vorm van door medicijnen veroorzaakte levercelnecrose: het afsterven van levercellen. De schade blijft grotendeels beperkt tot een bepaald gedeelte van de lever, de lobule (kleinste functionele deelorgaan van de lever, zie figuur). Zonale necrose kan aan het licht komen door een sterk verhoogde ALAT-bepaling, een sterke achteruitgang van leverfunctie en acuut leverfalen. Oorzaken zijn onder andereparacetamol of tetra (soort 'vlekkenwater').
Hepatitis
Hierbij gaat de sterfte van de levercel (hepatocellulaire necrose) gepaard met een ontsteking. Er zijn drie soorten chemische hepatitis.
- Hepatitis A: 'virale' hepatitis. de meest voorkomende is de vorm die onder de microscoop sprekend op hepatitis door een virus lijkt. Oorzaken zijn onder andere halothaan, isoniazide of fenytoïne.
- Hepatitis B: bij focale of non-specifieke hepatitis vind je bij de ontstoken gebieden verspreide haardjes van celnecrose. Eén van de mogelijke oorzaken kan acetylsalicylzuur zijn.
- Hepatitis C: chronische hepatitis lijkt klinisch, serologisch, en onder de microscoop sterk op auto-immuunhepatitis. Oorzaken zijn onder andere: alfamethyldopa en diclofenac.
Cholestase
Bij cholestase leidt leverbeschadiging tot een belemmering van de galstroom en gaat dan gepaard met jeuk en geelzucht. Onder de microscoop is een ontsteking zichtbaar. Men spreekt wel van cholestatische hepatitis, maar het kan ook mild verlopen. In zeldzame gevallen kan het op dezelfde wijze verlopen als de ziekte Primaire biliaire cirrose, waarbij de kleine galwegen worden afgebroken (Vanishing Bile Duct Syndrome). Oorzaken zijn onder andere:
- Mild: anticonceptiepil, anabole steroïden en testosteron
- Met ontsteking: allopurinol, amoxiciline/clavulaanzuur en carbamazepine
- Met beschadiging van de galwegen: chloorpromazine en flucloxacilline
Steatose/leververvetting
Hepatotoxiciteit kan zich manifesteren als ophoping van triglyceriden, zowel in kleine druppeltjes (microvesiculair), als in grote druppeltjes; we spreken van leververvetting of steatose. Een derde type leververvetting ontstaat als fosfolipiden zich op dezelfde wijze op gaan hopen als bij sommige aangeboren afwijkingen (zoals de ziekte van Tay-Sachs). Oorzaken zijn onder andere:
- Microvesiculair: acetylsalicylzuur (Syndroom van Reye), ketoprofen en tetracycline
- Macrovesiculair: paracetamol en methotrexaat
- Phospholipidosis: amiodaron en totale parenterale voeding
Granuloomvorming
Een granuloom is een apart soort ontstekingsreactie die verschillende oorzaken kan hebben. Door medicijnen veroorzaakte granulomen in de lever gaan meestal gepaard met granulomen in andere weefsels; de patiënten zijn meestal allergisch en hebben een vorm van ontsteking van de bloedvaten. Meer dan vijftig medicijnen kunnen deze reactie veroorzaken. Oorzaken zijn onder andere: allopurinol, fenytoïne, isoniazide, kinidine en penicilline (vasculaire beschadigingen).
Deze zijn het gevolg van letsel van de bekleding van de bloedvaten. Oorzaken zijn onder andere:
- Trombose: hemotherapie en bush tea
- Bloedinkjes in de lever: anabole steroïden
- Syndroom van Budd-Chiari| (leveradertrombose)
- Anticonceptiepil
Tumoren
Leverkanker komt voor na langdurige blootstelling aan sommige chemische stoffen. Primair levercelcarcinoom; (kanker van de levercellen); angiosarcoom (kwaadaardige woekering van de bloedvatjes); Leveradenoom (goedaardig). Oorzaken zijn onder andere: vinylchloride, anticonceptiepil (alleen goedaardige adenomen), anabole steroïden en arseen.
Klinische beoordeling

In de klinische praktijk blijft het een uitdaging de diagnose te stellen.[14] Veel andere aandoeningen hebben dezelfde verschijnselen en zien er onder de microscoop hetzelfde uit. Om de diagnose hepatotoxiciteit te stellen moet er een oorzakelijk verband worden vastgesteld tussen het vergif en de medicatie, maar vooral bij idiosyncratische bijwerkingen kan dat lastig zijn.[15] Gelijktijdig gebruik van meerdere medicijnen maakt het extra gecompliceerd. Bijvoorbeeld paracetamolvergiftiging is als bekende, dosisafhankelijke, farmacologische hepatotoxiciteit gemakkelijker vast te stellen.
Behandeling en prognose
In de meeste gevallen zal de leverfunctie zich herstellen als het veroorzakende medicijn op tijd wordt gestopt. Soms kan ondersteunende behandeling nodig zijn. Bij een paracetamolvergiftiging kan de eerste aanval dodelijk zijn. Fulminant leverfalen door hepatotoxiciteit kan levertransplantatie noodzakelijk maken. Bij paracetamolvergiftiging kan acetylcysteïne intraveneus worden ingezet om radicalen weg te vangen.
Verdubbeling van het bilirubineniveau en bijkomende transaminatse (ALAT) stijging is een slecht teken. De combinatie is een aanwijzing voor ernstige hepatotoxiciteit die gepaard kan gaan met een sterfte van 10% tot 15%, wanneer de oorzaak niet wordt weggenomen.[16][17] Er is namelijk flinke schade aan de lever nodig om de uitscheiding van bilirubine te belemmeren; daarom leidt een kleine stoornis van de lever niet dadelijk tot geelzucht. Andere groepen die meer risico lopen zijn ouderen, vrouwen, en mensen met een hoog ASAT.[18][19]
Specifieke geneesmiddelen en vergiften
Alcohol
Alcohol heeft verschillende schadelijke dosisafhankelijke bijwerkingen op de lever. Er kan een chemische hepatitis ontstaan, of leververvetting. 10 tot 20 % van de zware drinkers krijgt een onomkeerbare levercirrose.[20]
Paracetamol

Paracetamol wordt in de aanbevolen dosis goed verdragen, maar overdosering is een belangrijke oorzaak van leverziekte.[7] De lever wordt niet beschadigd door de stof zelf, maar door het afbraakproduct N-acetyl-p-benzochinonimine (NAPQI of NABQI) dat wordt geprocudeerd door cytochroom-P450-enzymen in de lever.[21] Onder normale omstandigheden wordt deze metaboliet onschadelijk gemaakt (detoxificatie) door conjugatie met glutathion in een fase 2 reactie. Bij een overdosis wordt een grote hoeveelheid NAPQI gevormd die het detoxificatieproces overspoelt en tot levercelbeschadiging leidt. NO speelt eveneens een rol in de hepatotoxiciteit van paracetamol.[22] Het gevaar voor de lever hangt af van de ingenomen dosis, bijkomend alcoholgebruik, andere medicijnen, hoelang het heeft geduurd voor er tegengif is toegediend enz. Toediening van acetylcysteïne, een voorloper van glutathion, kan de ernst van de leverbeschadiging beperken door het giftige NAPQI weg te vangen. Degenen die acuut leverfalen ontwikkelen, kunnen nog genezen; maar een transplantatie kan nodig zijn, met name wanneer de hersenwerking verstoord is (encefalopathie) of er stollingsproblemen zijn.
Nonsteroidal anti-inflammatory drugs (NSAIDs)
Deze groep pijnstillers kan zowel dosis-gerelateerde als idiosyncratische hepatotoxiciteit vertonen.[23] Acetylsalicylzuur (vooral in gebruik als bloedverdunner) en fenylbutazon hebben farmacologische, dosisgerelateerde hepatotoxiciteit; idiosyncratische reacties zijn beschreven bij ibuprofen, sulindac, fenylbutazon, piroxicam, diclofenac enindometacine.
Corticosteroden
(Gluco)cortico(ster)oïden bevorderen de opslag van zetmeel in de lever en de lever kan daardoor vergroot worden.[24] Het klassieke effect van langdurig gebruik is bij jong en oud echter vervetting.[25]
Isoniazide
Isoniazide (INH) is een van de meest gebruikte middelen tegen tuberculose. 20% van de gebruikers ondervindt een lichte verhoging van de leverenzymen en 1-2% krijgt te maken met ernstige hepatotoxiciteit.[26]
Natuurproducten
Voorbeeld zijn veel amanita paddenstoelen en andere schimmels, zoals aflatoxines.
Industrieel vergif
Voorbeelden zijn onder andere: arseen, tetrachloormethaan, en vinylchloride.
Alternatieve middelen
Geneesmiddelen van kruiden en planten hebben ten onrechte als groep de naam dat ze vrijwel geen bijwerkingen hebben. Er zijn onder deze middelen echter stoffen met hepatotoxiciteit.
- ↑ Donald Blumenthal; Laurence Brunton; Keith Parker; Lazo, John S.; Iain Buxton (2006). Goodman and Gilman's Pharmacological Basis of Therapeutics Digital Edition. McGraw-Hill Professional. ISBN 0-07-146804-8.
- ↑ Skett, Paul; Gibson, G. Gordon (2001). Introduction to drug metabolism. Nelson Thornes Publishers, Cheltenham, UK. ISBN 0-7487-6011-3.
- ↑ a b c Lynch T, Price A (2007). The effect of cytochrome P450 metabolism on drug response, interactions, and adverse effects. American Family Physician 76 (3): 391–6. PMID 17708140.
- ↑ Jessica R. Oesterheld; Kelly L. Cozza; Armstrong, Scott (2003). Concise Guide to Drug Interaction Principles for Medical Practice: Cytochrome P450s, Ugts, P-Glycoproteins. American Psychiatric Association, Washington, DC, 167–396. ISBN 1-58562-111-0.
- ↑ P450 Table. Gearchiveerd op 10 oktober 2007. Geraadpleegd op 29 september 2007.
- ↑ Michalets EL (1998). Update: clinically significant cytochrome P-450 drug interactions. Pharmacotherapy 18 (1): 84–112. PMID 9469685.
- ↑ a b Keeffe, Emmet B; Friedman, Lawrence M. (2004). Handbook of liver diseases. Churchill Livingstone, Edinburgh, 104–123. ISBN 0-443-06633-7. Geraadpleegd op 7 september 2007.
- ↑ Jaeschke H, Gores GJ, Cederbaum AI, Hinson JA, Pessayre D, Lemasters JJ (2002). Mechanisms of hepatotoxicity. Toxicol. Sci. 65 (2): 166–76. PMID 11812920. DOI: 10.1093/toxsci/65.2.166.
- ↑ Patel T, Roberts LR, Jones BA, Gores GJ (1998). Dysregulation of apoptosis as a mechanism of liver disease: an overview. Semin. Liver Dis. 18 (2): 105–14. PMID 9606808. DOI: 10.1055/s-2007-1007147.
- ↑ Davies, D. (1985). Textbook of adverse drug reactions. Oxford University Press, Oxford [Oxfordshire], 18–45. ISBN 0-19-261479-7.
- ↑ Pirmohamed M, Breckenridge AM, Kitteringham NR, Park BK (1998). Adverse drug reactions. BMJ 316 (7140): 1295–8. PMID 9554902. PMC 1113033.
- ↑ Zimmerman HJ (1978). Drug-induced liver disease. Drugs 16 (1): 25–45. PMID 352664. DOI: 10.2165/00003495-197816010-00002.
- ↑ Mumoli N, Cei M, Cosimi A (2006). Drug-related hepatotoxicity. N. Engl. J. Med. 354 (20): 2191–3; author reply 2191–3. PMID 16710915. DOI: 10.1056/NEJMc060733.
- ↑ Andrade RJ, Robles M, Fernández-Castañer A, López-Ortega S, López-Vega MC, Lucena MI (2007). Assessment of drug-induced hepatotoxicity in clinical practice: a challenge for gastroenterologists. World J. Gastroenterol. 13 (3): 329–40. PMID 17230599. Gearchiveerd van origineel op 5 juni 2008. Geraadpleegd op 17 maart 2011.
- ↑ Arundel C, Lewis JH (2007). Drug-induced liver disease in 2006. Curr. Opin. Gastroenterol. 23 (3): 244–54. PMID 17414839. DOI: 10.1097/MOG.0b013e3280b17dfb.
- ↑ Reuben A (2004). Hy's law. Hepatology 39 (2): 574–8. PMID 14768020. DOI: 10.1002/hep.20081.
- ↑ Arora N, Goldhaber SZ (2006). Anticoagulants and transaminase elevation. Circulation 113 (15): e698–702. PMID 16618822. DOI: 10.1161/CIRCULATIONAHA.105.603100.
- ↑ Andrade RJ, Lucena MI, Kaplowitz N, et al. (2006). Outcome of acute idiosyncratic drug-induced liver injury: Long-term follow-up in a hepatotoxicity registry. Hepatology 44 (6): 1581–8. PMID 17133470. DOI: 10.1002/hep.21424.
- ↑ Björnsson E, Olsson R (2005). Outcome and prognostic markers in severe drug-induced liver disease. Hepatology 42 (2): 481–9. PMID 16025496. DOI: 10.1002/hep.20800.
- ↑ Alcohol-Induced Liver Disease; https://web.archive.org/web/20110303075624/http://www.liverfoundation.org/education/info/alcohol/
- ↑ Wallace JL (2004). Acetaminophen hepatotoxicity: NO to the rescue. Br. J. Pharmacol. 143 (1): 1–2. PMID 15345657. PMC 1575258. DOI: 10.1038/sj.bjp.0705781.
- ↑ James LP, Mayeux PR, Hinson JA (2003). Acetaminophen-induced hepatotoxicity. Drug Metab. Dispos. 31 (12): 1499–506. PMID 14625346. DOI: 10.1124/dmd.31.12.1499.
- ↑ Manov I, Motanis H, Frumin I, Iancu TC (2006). Hepatotoxicity of anti-inflammatory and analgesic drugs: ultrastructural aspects. Acta Pharmacol. Sin. 27 (3): 259–72. PMID 16490160. DOI: 10.1111/j.1745-7254.2006.00278.x.
- ↑ Iancu TC, Shiloh H, Dembo L (1986). Hepatomegaly following short-term high-dose steroid therapy. J. Pediatr. Gastroenterol. Nutr. 5 (1): 41–6. PMID 3944744. DOI: 10.1097/00005176-198601000-00008.
- ↑ Alpers DH, Sabesin SM, Schiff L, Schiff ER, editors. (1982). Diseases of the liver. JB Lippincott, Philadelphia, 813–45.
- ↑ Sarich TC, Adams SP, Petricca G, Wright JM (1999). Inhibition of isoniazid-induced hepatotoxicity in rabbits by pretreatment with an amidase inhibitor. J. Pharmacol. Exp. Ther. 289 (2): 695–702. PMID 10215642.