Eosinofiele oesofagitis
Raadpleeg bij gezondheidsklachten een arts.
| Eosinofiele oesofagitis | ||||
|---|---|---|---|---|
| ||||
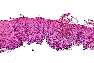
Infiltratie van het slokdarmslijmvlies met eosinofiele granulocyten
| ||||
| Coderingen | ||||
| ICD-11 | ||||
| OMIM | [1] | |||
| DiseasesDB | 9182 | |||
| DOID | 13922 | |||
| MedlinePlus | 001153 | |||
| MeSH | D057765 | |||
| ||||
Eosinofiele oesofagitis (EoE), of allergische slokdarmontsteking, is de naam van een allergische chronische ontstekingsziekte van de slokdarm (oesofagus). Bij deze ziekte wordt een infiltratie van eosinofiele granulocyten in de slokdarmwand gezien. Eosinofiele granulocyten zijn witte bloedcellen die betrokken zijn bij ontstekingsreacties, parasitaire ontstekingen en allergische reacties in het lichaam. De naam eosinofiele oesofagitis verwijst dus naar een ontsteking van de slokdarm (oesofagitis) waarbij hoofdzakelijk eosinofiele granulocyten betrokken zijn.
De eerste beschrijving van dit ziektebeeld dateert uit 1993.[1] Er is dus sprake van een relatief nieuwe diagnose die in Nederland in 2005 voor het eerst beschreven werd.[2] In het Amsterdam UMC te Amsterdam wordt sinds 2011 door een speciaal team onderzoek gedaan naar de aandoening.
Oorzaken
Hoe EoE precies ontstaat is nog niet geheel duidelijk en lijkt afhankelijk te zijn van meerdere factoren. Allergie voor bepaalde voedingsmiddelen speelt waarschijnlijk een belangrijke rol bij het ontstaan van de ontstekingsreactie in de slokdarm.[3] De stofjes in het voedsel die de ontsteking uitlokken worden allergenen genoemd. Deze voedselallergenen komen voor in het eten en drinken dat wij dagelijks gebruiken. Er zijn ook aanwijzingen dat allergenen in de lucht (pollen) de ontstekingsreactie uitlokken en dat er dus sprake is van meer ziekteactiviteit gedurende het pollenseizoen.[4] Daarnaast wordt beschreven dat mogelijk bepaalde genen een rol spelen bij de ontstaanswijze van deze ziekte.[5] Of er daadwerkelijk een erfelijke factor meespeelt blijft tot nu toe nog onduidelijk.
Kenmerken
De ziekte komt bij zowel mannen als vrouwen voor, waarbij de verhouding man-vrouw 3:1 is. Naast dat de ziekte dus vaker mannen treft, zien we dat de diagnose op iedere leeftijd kan worden gesteld. Wel valt op dat met name in de leeftijdsgroep 20 – 40 jaar de meeste patiënten door deze ziekte worden getroffen.[6] Het is dus een ziekte die relatief meer voorkomt bij jongvolwassen mannen. Daarnaast zien we dat ongeveer 70 % van de patiënten ook nog een andere allergische aandoening heeft.[7] Vaak hebben patiënten last van astma, hooikoorts (atopische rinitis), eczeem (atopische dermatitis) of andere voedselallergieën.
Eosinofiele oesofagitis in de Nederlandse populatie
Twintig jaar geleden was er slechts sprake van enkele gevallen van EoE en was het totale aantal patiënten met deze ziekte in de Nederlandse populatie (bevolking) nog onbekend. Recente gegevens wijzen erop dat het aantal nieuwe patiënten waarbij de ziekte is vastgesteld de afgelopen 10 jaar is gestegen, waarbij met name in de afgelopen jaren een sterke toename wordt gezien. In 2017 werd het aantal patiënten met deze ziekte in Nederland geschat op circa 2200.[8] Dit maakt dat de diagnose helemaal niet meer zo zeldzaam is. In andere landen van Europa en Noord-Amerika wordt deze stijging ook beschreven.[9] De sterke toename is deels te verklaren doordat het ziektebeeld in de loop der jaren steeds meer bekendheid heeft gekregen onder artsen en de diagnose EoE daardoor dus vaker werd gesteld. De stijging kan hier echter niet in zijn geheel door worden verklaard, er zijn ook argumenten voor een feitelijke toename van de ziekte in Nederland.
Werkingsmechanisme (pathogenese)
Hoe EoE precies ontstaat weten we nog niet. Wel weten we dat het gaat om een allergische ontstekingsreactie in de slokdarm, waarbij het afweersysteem (immuunsysteem) een belangrijke rol speelt. Het werkingsmechanisme lijkt deels overeen te komen met andere allergische ziektes, zoals bijvoorbeeld astma. Onlangs is bewezen dat bij EoE de barrièrefunctie (beschermfunctie) van de slokdarmwand verminderd is.[10] Voedselallergenen kunnen het slijmvlies waarmee de binnenkant van de slokdarm is bekleed makkelijker binnendringen en op hun beurt het afweersysteem activeren. Hierdoor ontstaat een lokale ontstekingsreactie waarbij eosinofiele granulocyten zich verzamelen vanuit de bloedbaan en het slokdarm slijmvlies infiltreren. Bij deze eosinofiele ontstekingsreactie komen bepaalde eiwitten vrij die een negatief effect hebben op de beschermingsfunctie van het slijmvlies van de slokdarm. Het blijft dus onduidelijk of de verminderde barrière functie een gevolg is of een oorzaak van de slokdarmontsteking. Er is meer onderzoek nodig om het exacte werkingsmechanisme achter EoE helder te krijgen.
Diagnose
Diagnostische kenmerken voor eosinofiele oesofagitis:[11]
Klachtenpatroon
De meeste volwassen patiënten hebben als kenmerkende klachten het gevoel dat het eten niet zakt (dysfagie) of vast voedsel dat blijft steken in de slokdarm (voedselimpactie). Daarnaast zijn zuurbranden, een drukkend gevoel achter het borstbeen of pijn in de bovenbuik veel voorkomende klachten. Het klachtenpatroon bij kinderen is minder specifiek en lastig te herkennen. Bij peuters en kleuters staat voedingsproblematiek op de voorgrond. Dit heeft veelal een groeiachterstand tot gevolg. Naar school gaande kinderen hebben eerder klachten van overgeven of buikpijn.
Kijkonderzoek (gastroscopie)

Als er op basis van dit klachtenpatroon een verdenking van EoE ontstaat wordt een gastroscopie uitgevoerd door de Maag- Darm- Leverarts. Een gastroscopie is een kijkonderzoek waarbij er met behulp van een camera aan het uiteinde van een flexibele slang in de slokdarm, de maag en de twaalfvingerige darm kan worden gekeken. Bij patiënten met EoE toont het kijkonderzoek meestal een typisch beeld van de slokdarm. Zo kunnen er ringvormige vernauwingen worden gezien en is het slijmvlies veelal bleek en kwetsbaar. Daarnaast kunnen er witte exsudaten (hoopjes met eosinofiele granulocyten) of longitudinale (in de lengterichting verlopende) strepen over het slijmvlies van de slokdarm worden gezien.
Microscopisch onderzoek
Om de diagnose vast te kunnen stellen moet volgens de huidige richtlijnen op drie niveaus in de slokdarm, in de maag en in de twaalfvingerige darm een weefselhapje (biopt) worden afgenomen. Met behulp van een microscoop worden deze weefselhapjes door de patholoog beoordeeld. Hierbij wordt specifiek gekeken naar de aanwezigheid van eosinofiele granulocyten. De patholoog telt het aantal eosinofiele granulocyten per weefselhapje en kijkt hier naar met een microscoop bij een vergroting van 400 x. Het veld dat met deze vergroting wordt gezien noemen we een gezichtsveld of “High Power Field (HPF)”. De algemene afspraak hierover is dat de diagnose kan worden gesteld wanneer er in een weefselhapje sprake is van 15 of meer eosinofiele granulocyten per gezichtsveld (HPF).
Behandeling
De behandelingsmogelijkheden zijn beperkt tot zuurremmende medicijnen, medicijnen die de ontsteking remmen en twee soorten dieetbehandeling. Wanneer de klachten ernstig zijn en deze behandelingsmogelijkheden niet voldoende zijn kan de slokdarm worden opgerekt tijdens een kijkonderzoek. Dit wordt een dilatatie genoemd.
Zuurremmende medicijnen
Zuurremmende medicijnen, protonpumpinhibitors (PPI’s), werken bij een deel van de patiënten, ze worden als eerste behandelstap voorgeschreven nadat de diagnose is gesteld.[12] Van de patiënten die goed reageren op PPI’s wordt ook wel gezegd dat ze "PPI-responsive oesophageal eosinophilia" (PPI-REE) hebben. Het enige onderscheid van EoE dat bij deze groep PPI-REE patiënten kan worden gemaakt, is dat zowel het klachtenpatroon als het aantal eosinofiele granulocyten in de wand van de slokdarm afneemt door het gebruik van zuurremmende medicatie. Hoe PPI-REE ontstaat en waarom zuurremmers bij deze groep werken is niet duidelijk.
Medicijnen met ontstekingsremmende werking
Als er geen sprake is van afname van ziekteactiviteit door het gebruik van zuurremmers kan worden gestart met medicijnen met corticosteroïden. Deze medicijnen onderdrukken het afweersysteem, waardoor de ontstekingsreactie vermindert. Bekend is dat de ontsteking van het slijmvlies van de slokdarm het beste lokaal kan worden behandeld met topicale steroïden. Dit zijn ontstekingsremmende medicijnen die in vloeibare vorm worden ingenomen. Deze medicatie wordt normaal gesproken voorgeschreven bij astma in de vorm van "pufjes". Door het pufje in te slikken vormt zich een laagje van het middel aan de binnenkant van de slokdarm. Daarnaast wordt er ook gebruik gemaakt van medicijnen met ontstekingsremmende werking die worden opgelost in een vloeistof. Deze oplossing wordt doorgeslikt en bereikt zo de wand van de slokdarm. Beide toedieningswegen zijn belastend voor de patiënt vanwege de smaak en de toedieningswijze.
Sinds februari 2019 is het medicijn Budesonide (Merknaam 'Jorveza') in Nederland goedgekeurd ter behandeling van eosinofiele oesofagitis. Deze orodispergeerbare tabletten dienen op de tong gelegd te worden en steeds met een beetje speeksel in worden geslikt. Deze manier van toediening zorgt voor het het vormen van een ontstekingsremmende beschermlaag in de slokdarm en zorgt in vele gevallen voor een vermindering van klachten of zelfs het verdwijnen van klachten. Omdat dit medicijn niet systemisch werkt en snel wordt afgebroken, zijn er ook nauwelijks bijwerkingen beschreven. De enige bijwerking die als zeer vaak werd beschreven is een schimmelinfectie in de mond/keel (Candida Albicans), maar deze kan vlot bestreden worden door een antischimmel-kuur (Miconazol of Fluconazol), die met gemak naast Jorveza gebruikt mag worden. Een laatste aandachtspunt bij dit medicijn is dat het behoorlijk prijzig is, zo rond de 340 euro per kuur, waar de meeste patiënten gebruik maken van 2 kuren achter elkaar.[13]
Dieetbehandeling
Met behulp van medicijnen kan de ontsteking lokaal worden aangepakt. Hierbij is het alleen niet zo dat de onderliggende oorzaak van de ontsteking wordt behandeld. Zoals eerder beschreven is bekend inmiddels dat allergie voor bepaalde stoffen (allergenen) in onze voeding waarschijnlijk de ontsteking uitlokken. Met behulp van een allergietest in het bloed of op de huid kan helaas niet goed worden achterhaald voor welke voedingsgroepen patiënten met EoE allergisch zijn. Daarnaast is het zo dat de uitlokkende voedselallergenen niet voor iedere patiënt hetzelfde zijn. Uit eerder onderzoek blijkt dat de meeste patiënten allergisch zijn voor de voedselgroepen tarwe en melk. Soja en ei lijken ook een belangrijke rol te spelen. Om voedselallergenen niet binnen te krijgen kunnen patiënten worden behandeld door middel van een speciaal dieet. Helaas is dit een invasieve methode waarbij veel kijkonderzoeken nodig zijn. Daarnaast bestaat er ook een kans dat de patiënt niet allergisch blijkt te zijn voor een van de geëlimineerde voedselgroepen.
Anno 2017 zijn er twee soorten dieetbehandeling,[14] een elementair dieet en een eliminatiedieet. Bij een elementair dieet worden alle allergenen uit de voeding vermeden. Hierbij wordt het dagelijkse eten en drinken vervangen door kant-en-klare hypoallergene drinkvoeding (vloeibare voeding zonder allergenen). Een elementair dieet werkt goed tegen de ontsteking. Helaas is het dieet lastig vol te houden door de monotone smaak van de drinkvoeding en het gebrek aan vast voedsel.
Bij een eliminatiedieet worden de meest voorkomende voedselallergenen vermeden uit het dagelijkse voedingspatroon. Bij het Four Food Elimination Diet (FFED) worden de vier voedselallergenen melk, ei, tarwe en soja uit het voedsel geweerd. Dit dieet wordt regelmatig gegeven aan patiënten met EoE waarbij begeleiding van een gespecialiseerde diëtiste wenselijk is.
Dilatatie
Soms zijn de vernauwingen in de slokdarm zo sterk dat de slokdarm tijdens een kijkonderzoek met een ballonnetje moet worden opgerekt. Dit wordt een dilatatie genoemd. Meestal zijn er drie tot vier oprekkingen nodig die verspreid over een aantal dagen worden uitgevoerd.
Experimentele behandelingen
Er worden meerdere nieuwe medicijnen voor eosinofiele oesofagitis ontwikkeld, het gaat om nieuwe toedieningsvormen van bestaande corticosteroïden maar ook monoclonale antilichamen tegen moleculen die bijzonder actief zijn bij het ontstaan van de ziekte zoals interleucine-5 en interleucine-13. Patiënten met eosinofiele oesofagitis kunnen in sommige gevallen deelnemen aan dergelijk onderzoek, meerdere onderzoeken lopen momenteel op de afdeling Maag-Darm-Leverziekten van het Amsterdam UMC.
- ↑ Attwood SEA, Smyrk TC, Demeester TR, Jones JB. Esophageal eosinophilia with dysphagia - A distinct clinicopathologic syndrome. Dig Dis Sci. 1993;38(1):109–16
- ↑ Thijs WJ, Koornstra JJ, Limburg AKAJ. Eosinofiele oesofagitis bij jonge mannen met voedselpassageklachten. 2005;149(12):653–6
- ↑ Chehade M, Aceves SS. Food allergy and eosinophilic esophagitis. 2010
- ↑ Sorser SA, Barawi M, Hagglund K, Almojaned M, Lyons H. Eosinophilic esophagitis in children and adolescents: Epidemiology, clinical presentation and seasonal variation. J Gastroenterol. 2013;48(1):81–5
- ↑ Sherrill JD, Rothenberg ME. Genetic dissection of eosinophilic esophagitis provides insight into disease pathogenesis and treatment strategies. J Allergy Clin Immunol [Internet]. Elsevier Ltd; 2011;128(1):23–32.
- ↑ Dellon ES. Epidemiology of eosinophilic esophagitis. Gastroenterol Clin North Am. 2014;43(2):201–18
- ↑ Liacouras CA, Furuta GT, Hirano I, Atkins D, Attwood SE, Bonis PA, et al. Eosinophilic esophagitis: Updated consensus recommendations for children and adults. J Allergy Clin Immunol [Internet]. Elsevier Ltd; 2011;128(1):3–20.
- ↑ Warners MJ, de Rooij WE, van Rhijn BD, Veheij J, Bruggink AH, Smout AJPM, Bredenoord AJ. Incidence of eosinophilic esophagitis in the Netherlands continues to rise: 20-year results from a nationwide pathology database. Neurogastroenterology and Motility. 2017-7-26 1350-1925
- ↑ Arias A, Pérez-Martínez I, Tenías JM, Lucendo AJ. Systematic review with meta-analysis: The incidence and prevalence of eosinophilic oesophagitis in children and adults in population-based studies. Aliment Pharmacol Ther. 2016;43(1):3–15
- ↑ van Rhijn BD, Weijenborg PW, Verheij J, et al. Proton Pump Inhibitors Partially Restore Mucosal Integrity in Patients With Proton Pump Inhibitor-Responsive Esophageal Eosinophilia but Not Eosinophilic Esophagitis. Clin Gastroenterol Hepatol. March 2014. doi:10.1016/j.cgh.2014.02.037
- ↑ Dellon ES, Gonsalves N, Hirano I, Furuta GT, Liacouras C a, Katzka D a. ACG clinical guideline: Evidenced based approach to the diagnosis and management of esophageal eosinophilia and eosinophilic esophagitis (EoE). Am J Gastroenterol. Nature Publishing Group; 2013;108(5):679–92; quiz 693.
- ↑ Molina-Infante J, Bredenoord AJ, Cheng E, et al. Proton pump inhibitor-responsive oesophageal eosinophilia: an entity challenging current diagnostic criteria for eosinophilic oesophagitis. Gut. 2016;65:521–531.
- ↑ Productinformatie op webstek van het Europees Geneesmiddelenbureau. Gearchiveerd op 4 maart 2023.
- ↑ Warners MJ, Vlieg-Boerstra BJ, Bredenoord AJ. Elimination and elemental diet therapy in eosinophilic oesophagitis. Best Pract Res Clin Gastroenterol. 2015;29(5):793–803.
