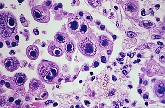
Cytomegalie
Raadpleeg bij gezondheidsklachten een arts.
| Cytomegalie | ||||
|---|---|---|---|---|
| ||||
| Coderingen | ||||
| ICD-11 | ||||
| MedlinePlus | 000568 | |||
| MeSH | D003586 | |||
| ||||
Cytomegalie is een infectieziekte veroorzaakt door het cytomegalovirus (CMV). Besmetting treedt op via intensief contact (via speeksel, urine, sperma, cervixslijm, moedermelk en bloed). Verreweg de meeste infecties verlopen subklinisch of zelfs zonder symptomen; de meeste mensen komen ooit in aanraking met het cytomegalovirus zonder ernstige verschijnselen te vertonen.
Symptomen:
- koorts;
- lymfekliervergroting;
- malaise;
- lymfocytose;
- leverfunctiestoornissen;
- longproblemen o.a. ademtekort;
Zeldzame complicaties treden soms op als interstitiële pneumonie, hepatitis of het syndroom van Guillain-Barré.
Congenitale infecties kunnen voor serieuze problemen zorgen:
- laag geboortegewicht;
- lever- en miltvergroting;
- geelzucht;
- longfalen;
- petechiën;
- purpura;
- pneumonie;
- oogproblemen zoals cataract en chorioretinitis
- neurologische problemen (encefalitis, microcefalie en cerebrale calcificaties)
CMV kan voor grote problemen zorgen in geval van immuunincompetentie zoals bij aids (colitis, retinitis en encefalitis) en bij transplantatiepatiënten (pneumonie en hepatitis)
Er is geen behandeling beschikbaar voor cytomegalie. De aandoening kan alleen symptomatisch behandeld worden.
.jpg)