Bolletjesslikker

Een bolletjesslikker of bolitaslikker is een drugskoerier die drugs smokkelt via oraal, rectaal of vaginaal ingebrachte capsules. Dit stelt de koerier in staat de drugs bij luchthavens ongemerkt de controle te laten passeren en via vliegtuigen te vervoeren.
Achtergrond
Bolletjesslikkers zijn zelden zelfstandige drugssmokkelaars, maar vaker drugskoeriers in opdracht van een organisatie, die zelf zelden of nooit de drugs zal smokkelen. Vaak zijn de bolletjesslikkers zelf verslaafde junks die de opdracht uitvoeren in ruil voor geld, kwijtschelding van een schuld aan de dealer/smokkelaar en betaling in natura, namelijk in drugs. Ook zetten drugssmokkelaars weleens mensen in die van hen afhankelijk zijn gemaakt via schulden of een loverboy-constructie. Ten slotte is er een groep mensen die het doet voor de verleiding van snel geld, al dan niet om huurachterstanden of schulden weg te kunnen werken.
Werkwijze
Een bolletje bestaat uit drugs, dubbel verpakt in rubber, vaak dichtgeknoopte condooms of de afgeknipte vingers van latex chirurgenhandschoenen, of meer geavanceerde speciale pellets.
Bij oraal gebruik worden de bolletjes in hun geheel een voor een ingeslikt, samen met iets eetbaars of drinkbaars dat als glijmiddel dienstdoet. Dit eten of drinken mag niet te veel olie bevatten, omdat dit het rubber aantast. Normaliter slikken drugskoeriers tussen de 90 en 120 capsules met verdovende middelen. Blijkbaar krijgen ze wel van tevoren een licht dieet, om te voorkomen dat ze onverhoeds een aanval van diarree krijgen waardoor de drugs in een vliegtuigtoilet eindigen. Ook worden ze vaginaal of rectaal ingebracht. Na de vlucht kunnen de bolletjes weer uit de vagina of het maag-darmkanaal worden gehaald, al dan niet met behulp van laxeermiddelen.
Controle
Smokkelaars zoals drugskoeriers maken er gebruik van dat slechts bij verdenking iemand in het lichaam mag worden onderzocht. Normaal gesproken mag aan de grens of op vliegvelden slechts gefouilleerd worden. Wie verdacht wordt van het transporteren van bolletjes kan echter enkele dagen worden vastgehouden tot de eventuele bolletjes het lichaam hebben verlaten. Een dergelijke verdenking kan worden geconstateerd door inconsistentie in antwoorden op vragen, gedrag, en indicatie op aanwezigheid van sporenhoeveelheden drugs op bijvoorbeeld kleding of lichaam door middel van meetapparatuur of drugshonden.
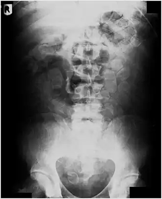
De detentiecel is voorzien van een speciaal toilet, waarmee ontlasting kan worden vastgehouden en onderzocht op drugscapsules. Men kan dit voorkomen door in te stemmen met een bodyscan: deze kan aantonen of er wel of geen bolletjes zijn.
Controle in Nederland
Bolletjesslikkers die in Nederland worden opgepakt, komen meestal uit Suriname (zie drugs in Suriname), de Sahel, de Nederlandse Antillen en de overige Caraïben.
Risico's
Deze manier van smokkelen is zeer gevaarlijk. Het menselijk maag-darmkanaal zit vol agressieve chemicaliën die de bolletjes kunnen aantasten. Ook vet en olie kunnen het rubber aantasten. Hierdoor, of door te haastig dichtmaken, kunnen bolletjes makkelijk knappen. Hoe klein ze ook zijn, ze bevatten meer dan genoeg drugs om de koerier aan een overdosis te laten overlijden. Een ander risico is dat de bolletjes het spijsverteringskanaal kunnen blokkeren (ileus). Bij ontdekking wordt de koerier dan ook door de overheid gedwongen van de drugs ontdaan, tevens voor diens eigen veiligheid. Dit gebeurt door de bolletjes operatief te laten verwijderen in het ziekenhuis.