Ziekte van Hirschsprung
Raadpleeg bij gezondheidsklachten een arts.
| Ziekte van Hirschsprung | ||||
|---|---|---|---|---|
| Congenitaal megacolon | ||||
| ||||
| Synoniemen | ||||
| Latijn | morbus Hirschsprung[1] | |||
| Nederlands | congenitale colondilatatie[3] | |||
| Coderingen | ||||
| ICD-11 | ||||
| OMIM | 142623 | |||
| DiseasesDB | 5901 | |||
| DOID | 10487 | |||
| MedlinePlus | 001140 | |||
| eMedicine | med/1016 | |||
| MeSH | D006627 | |||
| ||||
De ziekte van Hirschsprung[3] of congenitaal megacolon[3] is een aangeboren afwijking van de darmen die voornamelijk voorkomt in het laatste deel van het colon (dikke darm). Het is een relatief zeldzame aandoening die bij ongeveer 1 op de 5000 levendgeborenen voorkomt.[4][5] De ziekte van Hirschsprung wordt vaker gezien bij jongens. Tevens komt zij in 21% van de gevallen voor in combinatie met andere aangeboren afwijkingen.[6] Er is vooral een sterke associatie met het syndroom van Down, dat in 3-9% van de gevallen van de ziekte van Hirschsprung gezien wordt.[4][7] De ziekte van Hirschsprung wordt gekenmerkt door de afwezigheid van zenuwcellen van het enterisch zenuwstelsel (autonoom zenuwstelsel) die normaal verantwoordelijk zijn voor de peristaltiek van de darmen. Door afwezigheid van deze specifieke zenuwcellen (ganglioncellen) kan het aangedane stuk colon niet ontspannen met een ernstige constipatie als gevolg. De ziekte presenteert zich daardoor vaak al op heel jonge leeftijd met een vertraagde passage van meconium, constipatie, braken en uiteindelijk een bolle buik door sterke uitzetting van de darmen. De aandoening dankt haar naam aan de Deense kinderarts Harald Hirschsprung, die in 1888 de ziekte voor het eerst beschreef bij twee kinderen die overleden aan de gevolgen ervan.[8]
Oorzaak
Gedacht wordt dat de afwezigheid van ganglioncellen wordt veroorzaakt door een foutieve migratie van neurale lijst cellen in de darmen tijdens de foetale ontwikkeling. Normaal migreren deze neurale lijst cellen vanuit de slokdarm richting de anus gedurende de 5e tot 12e week van de zwangerschap.[9] De lengte van het aangedane stuk darm hangt hierdoor ook af van het moment waarop de migratie fout gaat. Bij een vroege stranding van de migratie kan het volledige colon aangedaan zijn. Anderzijds kan bij een late stranding alleen het laatste stuk van het colon of zelfs alleen het anale kanaal zijn aangedaan. De ziekte kan geclassificeerd worden op basis van de lengte van het aangedane stuk colon. De meest voorkomende variant is de kortsegmentziekte (alleen het rectum en sigmoïd) die in 78-80% van de patiënten voorkomt. Een andere variant is de langsegmentziekte (rectum, sigmoïd, colon descendens en colon transversum) die maar in 14-22% van de patiënten voorkomt. Als laatste is er ook nog een relatief zeldzame variant die het gehele colon of zelfs een deel van het uiteinde van de dunne darm beslaat, deze wordt gezien in 4-13% van de patiënten. Er zijn momenteel twee theorieën over waarom de neurale lijst cellen hun eindbestemming niet bereiken. De eerste theorie is dat de neurale lijst cellen te vroeg uitrijpen en differentiëren naar ganglioncellen, al voordat ze op hun bestemming zijn aangekomen.[10] De tweede theorie is dat de cellen hun eindbestemming wel bereiken maar daar falen uit te rijpen in ganglioncellen.[11][12]
Verschillende factoren zoals de hogere incidentie in broers en zussen, de hogere incidentie in mannen en de hogere incidentie van andere aangeboren afwijkingen maken het waarschijnlijk dat er een onderliggende genetische basis is voor de ziekte van Hirschsprung.[4][13][14] Tot op heden zijn er al een vijftal genen geïdentificeerd (RET, GDNF, EDNRB, EDN3 en SOX10). Deze genen spelen een rol bij slechts een deel van de Hirschsprung-patiënten (20-30 %), wat het waarschijnlijk maakt dat andere nog niet geïdentificeerde genen ook een rol zouden kunnen spelen.
Ziekteverschijnselen
De ziekte van Hirschsprung presenteert zich vaak vroeg na de geboorte met een vertraagde (of helemaal geen) passage van meconium in de eerste 48 uur in 60-90% van de patiënten.[15] Vanwege deze vroege presentatie wordt het merendeel van de patiënten al op neonatale leeftijd gediagnosticeerd.[16] Andere verschijnselen zijn een uitgezette buik, voedingsintolerantie en gallig braken. Patiënten die een korter aangedaan stuk colon hebben kunnen minder klachten ervaren en worden soms pas op oudere leeftijd gediagnosticeerd.[17] De differentiaal diagnose van de ziekte van Hirschsprung bestaat uit een spijsverteringskanaalatresie, een malrotatie, een anorectale malformatie, het misbruik van verdovende middelen of een elektrolyt stoornis.
Een andere presentatie van de ziekte van Hirschsprung is de hirschsprunggeassocieerde enterocolitis. Dit is een ontsteking van het colon die zich kenmerkt door sterk stinkende diarree, koorts en een sterk uitgezette buik.[18] De oorzaak hiervoor is het vastlopen van de ontlasting wat zorgt voor bacteriële overgroei, uitzetting van de darmen en mogelijk ischemie.[19] Wanneer dit ziektebeeld niet tijdig herkend en behandeld wordt kunnen de gevolgen fataal zijn.[4] Hoewel chirurgie wordt gezien als definitieve behandeling kan de Hirschsprung geassocieerde enterocolitis ook na het ingrijpen voor komen.
Diagnose
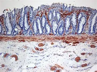
De diagnose kan gesteld worden door middel van het uitvoeren van een biopsie van het rectum (rectumzuigbiopt). Dit is momenteel de gouden standaard voor de diagnose van de ziekte van Hirschsprung.[20] Hierbij wordt een stukje weefsel uit het rectum genomen dat vervolgens wordt onderzocht op de aanwezigheid van ganglioncellen en zenuwbundelproliferatie. Dit onderzoek kan aangevuld worden met een anorectale manometrie en een coloninloopfoto indien er nog twijfel bestaat over de diagnose. Wanneer deze drie onderzoeken nog steeds geen duidelijkheid hebben verschaft kan een full-thicknes-biopt worden verricht.[21] Hierbij wordt meer weefsel verkregen dan bij een rectumzuigbiopt met daardoor een betrouwbaardere uitslag. Tevens zijn hier wel meer risico’s aan verbonden.
Behandeling
De behandeling hangt af van de ziekteverschijnselen en de lengte van het aangedane stuk darm. De kern van de behandeling is het verwijderen van het aangedane stuk darm om zo de continuïteit van de darmen te herstellen. Wanneer de ziekte beperkt is tot het anale kanaal kan soms volstaan worden met een laxeermiddel of het klieven van de interne anale sfincter. Bij langere varianten is uitgebreider chirurgisch ingrijpen nodig. Er zijn meerdere technieken beschreven voor het verwijderen van het aangedane stuk colon. De meest gebruikte technieken zijn de endorectale procedure volgens Soave,[22] de rectosigmoïdectomie beschreven door Swenson en Bill[23] en als laatste de rectorectale-transanale benadering van Duhamel.[24] Soms kan het nodig zijn om eerst een tijdelijk ontlastend stoma aan te leggen om de darmen de kans te geven zich te herstellen van een ontsteking of sterke uitzetting.
Het merendeel van de patiënten bereikt uiteindelijk redelijke uitkomsten, vooral na het bereiken van de adolescentie.[25][26][27] Klachten die na de chirurgische behandeling kunnen blijven bestaan zijn lichte tot ernstige constipatie en incontinentie voor ontlasting. Aanhoudende constipatie kan behandeld worden door middel van laxeermiddelen en spoelen van de darmen. Soms kan het nodige zijn om wederom chirurgisch in te grijpen om de oorzaak van de aanhoudende constipatie te behandelen.
Er is geen duidelijk verschil in uitkomsten tussen de verschillende chirurgische technieken. Hierdoor wordt de keuze van de behandeling vooral bepaald door de expertise en de voorkeur van de behandelende chirurg.
Externe links
- ↑ a b Reuter, P. (2007). Springer Klinisches Wörterbuch. Heidelberg: Springer Medizin Verlag.
- ↑ Sliosberg, A. (1975). Elsevier’s medical dictionary in five languages. English/American / French / Italian / Spanish and German. (2nd Edition). Amsterdam/Oxford/New York: Elsevier's Scientific Publishing Company.
- ↑ a b c d e Leflot-Soetemans, C. & Leflot, G. (1975). Standaard Geneeskundig woordboek Frans-Nederlands. Antwerpen-Amsterdam: Standaard Uitgeverij.
- ↑ a b c d (en) Suita S, Taguchi T, Ieiri S, Nakatsuji T. Hirschsprung's disease in Japan: analysis of 3852 patients based on a nationwide survey in 30 years. J Pediatr Surg 2005 Jan;40(1):197-201; discussion 201-2. PMID 15868585
- ↑ (en) Spouge D, Baird PA. Hirschsprung disease in a large birth cohort. Teratology 1985 Oct;32(2):171-177. PMID 4049274
- ↑ (en) Moore SW. The contribution of associated congenital anomalies in understanding Hirschsprung's disease. Pediatr Surg Int 2006 Apr;22(4):305-315. PMID 16518596
- ↑ (en) Goldberg EL. An epidemiological study of Hirschsprung's disease. Int J Epidemiol 1984 Dec;13(4):479-485. PMID 6240474
- ↑ (de) Hirschsprung, H. Stuhlträgheit Neugeborener in Folge von Dilatation und Hypertrophie des Colons. Jahrbuch für Kinderheilkunde und physische Erziehung 1888 27:1–7.
- ↑ (en) Goyal RK, Hirano I. The enteric nervous system. N Engl J Med 1996 Apr 25;334(17):1106-1115. PMID 8598871
- ↑ (en) Webster W. Embryogenesis of the enteric ganglia in normal mice and in mice that develop congenital aganglionic megacolon. J Embryol Exp Morphol 1973 Dec;30(3):573-585. PMID 4772386
- ↑ (en) Langer JC, Betti PA, Blennerhassett MG. Smooth muscle from aganglionic bowel in Hirschsprung's disease impairs neuronal development in vitro. Cell Tissue Res 1994 Apr;276(1):181-186. PMID 8187159
- ↑ (en) Hoehner JC, Wester T, Pahlman S, Olsen L. Alterations in neurotrophin and neurotrophin-receptor localization in Hirschsprung's disease. J Pediatr Surg 1996 Nov;31(11):1524-1529. PMID 8943115
- ↑ (en) Amiel J, Sproat-Emison E, Garcia-Barcelo M, Lantieri F, Burzynski G, Borrego S, et al. Hirschsprung disease, associated syndromes and genetics: a review. J Med Genet 2008 Jan;45(1):1-14. PMID 17965226
- ↑ (en) Badner JA, Sieber WK, Garver KL, Chakravarti A. A genetic study of Hirschsprung disease. Am J Hum Genet 1990 Mar;46(3):568-580. PMID 2309705
- ↑ (en) Klein MD, Coran AG, Wesley JR, Drongowski RA. Hirschsprung's disease in the newborn. J Pediatr Surg 1984 Aug;19(4):370-374. PMID 6481580
- ↑ (en) Singh SJ, Croaker GD, Manglick P, Wong CL, Athanasakos H, Elliott E, et al. Hirschsprung's disease: the Australian Paediatric Surveillance Unit's experience. Pediatr Surg Int 2003 Jun;19(4):247-250. PMID 12682752
- ↑ (en) Stensrud KJ, Emblem R, Bjornland K. Late diagnosis of Hirschsprung disease--patient characteristics and results. J Pediatr Surg 2012 Oct;47(10):1874-1879. PMID 23084200
- ↑ (en) Pastor AC, Osman F, Teitelbaum DH, Caty MG, Langer JC. Development of a standardized definition for Hirschsprung's-associated enterocolitis: a Delphi analysis. J Pediatr Surg 2009 Jan;44(1):251-256. PMID 19159752
- ↑ (en) Austin KM. The pathogenesis of Hirschsprung's disease-associated enterocolitis. Semin Pediatr Surg 2012 Nov;21(4):319-327. PMID 22985837
- ↑ (en) De Lorijn F, Reitsma JB, Voskuijl WP, Aronson DC, Ten Kate FJ, Smets AM, et al. Diagnosis of Hirschsprung's disease: a prospective, comparative accuracy study of common tests. J Pediatr 2005 Jun;146(6):787-792. PMID 15973319
- ↑ (en) Davenport M, Spitz L. Rectal biopsies. In: Spitz L, Coran AG, editors. Operative Pediatric Surgery. 6th ed. London: Hodder Arnold; 2007. p. 521-4.
- ↑ (fr) Soave F. A New Surgical Technic for the Treatment of Hirschsprung's Disease. Coloanostomy without Suture After Mobilization and Extra-Mucous Lowering of the Recto- Sigmoid. J Chir (Paris) 1963 Nov;86:451-464. PMID 14099015
- ↑ (en) Swenson O, Bill AH,Jr. Resection of rectum and rectosigmoid with preservation of the sphincter for benign spastic lesions producing megacolon; an experimental study. Surgery 1948 Aug;24(2):212-220. PMID 18872852
- ↑ (en) Duhamel B. A new operation for the treatment of Hirschsprung's disease. Arch Dis Child 1960 Feb;35:38-39. PMID 13818513
- ↑ (en) Baillie CT, Kenny SE, Rintala RJ, Booth JM, Lloyd DA. Long-term outcome and colonic motility after the Duhamel procedure for Hirschsprung's disease. J Pediatr Surg 1999 Feb;34(2):325-329. PMID 10052815
- ↑ (en) Catto-Smith AG, Trajanovska M, Taylor RG. Long-term continence after surgery for Hirschsprung's disease. J Gastroenterol Hepatol 2007 Dec;22(12):2273-2282. PMID 18031392
- ↑ (en) Yanchar NL, Soucy P. Long-term outcome after Hirschsprung's disease: patients' perspectives. J Pediatr Surg 1999 Jul;34(7):1152-1160. PMID 10442612
