Ziekte van Hashimoto
Raadpleeg bij gezondheidsklachten een arts.
| Ziekte van Hashimoto | ||||
|---|---|---|---|---|
| Struma lymphomatosa | ||||
| ||||
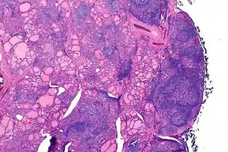
De schildklier van iemand met de ziekte van Hashimoto, zoals gezien door een microscoop
| ||||
| Synoniemen | ||||
| Latijn | strumitis lymphomatosa[1] | |||
| Nederlands | hashimotothyreoïditis[2] | |||
| Coderingen | ||||
| ICD-11 | ||||
| OMIM | 140300 | |||
| DiseasesDB | 5649 | |||
| MedlinePlus | 000371 | |||
| eMedicine | med/949 | |||
| MeSH | D050031 | |||
| ||||
De ziekte van Hashimoto[3] of struma lymphomatosa[4][2] is een auto-immuunziekte waarbij de schildklier ontstoken raakt. Een gevolg daarvan is uiteindelijk hypothyreoïdie, na aanvankelijk vaak een periode met verhoogde serumwaarden van schildklierhormoon (thyreotoxicose) door celdestructie. De ziekte werd ontdekt door Hakaru Hashimoto.
Het begint klinisch vaak met een niet-pijnlijke vergroting van de schildklier of een gezwollen gevoel in de hals. De schildklier voelt rubberachtig, soms knobbelig aan maar is niet gevoelig. Bij ontdekking werkt bij 20% de schildklier te langzaam terwijl bij de overige 80% de schildklier normaal werkt. Bij de ziekte van Hashimoto gaat iets mis in het lichaam zelf: het lichaam maakt namelijk antistoffen aan die tegen de eigen schildklier werken, schildklierautoantistoffen. Deze antistoffen, anti-TPO en anti-TG, kunnen worden aangetoond in een ziekenhuislaboratorium in het bloed om de diagnose te stellen. De ziekte komt vaker voor bij vrouwen dan bij mannen en vooral bij vrouwen tussen de 30 en 50 jaar. De ziekte kan familiair voorkomen, in dat geval gaat hij vaak samen met andere hormonale afwijkingen.
Een teveel aan jodium kan hyperthyreoïdie veroorzaken of de ziekte van Hashimoto verergeren.[5] Medicijnen of voedingsmiddelen (bv. zoute voeding) die jodium bevatten kunnen de ziekte van Hashimoto veroorzaken bij hiervoor gevoelige personen.[6]
Zie ook
- ↑ Jochems, A.A.F. & Joosten, F.W.M.G. (2003). Coëlho Zakwoordenboek der geneeskunde (27e druk). Doetinchem: ElsevierGezondheidszorg.
- ↑ a b c d Everdingen, J.J.E. van, Eerenbeemt, A.M.M. van den (2012). Pinkhof Geneeskundig woordenboek (12e druk). Houten: Bohn Stafleu Van Loghum.
- ↑ Leflot-Soetemans, C. & Leflot, G. (1975). Standaard Geneeskundig woordboek Frans-Nederlands. Antwerpen-Amsterdam: Standaard Uitgeverij.
- ↑ Pschyrembel, W. (Red.) (1972). Pschyrembel Klinisches Wörterbuch. (251. Auflage). Berlin/New York: Walter de Gruyter.
- ↑ De grote (ont) regelaar: omgaan met schildklierafwijkingen Door P. van der Mije (2006)
- ↑ Hashimoto's Thyroiditis, PubMed, december 2003
