Ziekte van Creutzfeldt-Jakob
Raadpleeg bij gezondheidsklachten een arts.
| Ziekte van Creutzfeldt-Jakob | ||||
|---|---|---|---|---|
| ||||
| Synoniemen | ||||
| Latijn | pseudosclerosis spastica[1] | |||
| Nederlands | ziekte van Jakob-Creutzfeldt[2] syndroom van Creutzfeldt-Jakob[3] | |||
| Coderingen | ||||
| ICD-11 | ||||
| OMIM | 123400 | |||
| DOID | 11949 | |||
| MedlinePlus | 000788 | |||
| MeSH | D007562 | |||
| ||||
De ziekte van Creutzfeldt-Jakob[3] is een zeer zeldzame, door prionen veroorzaakte hersenziekte gekenmerkt door geheugenverlies, ataxie, onwillekeurige bewegingen en stijfheid. De ziekte ontstaat jaarlijks (incidentie) bij 1 a 2 op de 1.000.000 mensen en manifesteert zich rond het 50e levensjaar. Na het ontstaan van klachten verloopt de ziekte in enkele maanden tot 1 à 2 jaar fataal. Er bestaat geen behandeling voor.
De ziekte is vernoemd naar twee neurologen, Hans Gerhard Creutzfeldt en Alfons Maria Jakob.
Vormen
Er zijn epidemiologisch gezien drie verschillende soorten gevallen van CJD (Creutzfeldt-Jakob Disease): de spontane vorm, de erfelijke vorm en de iatrogene (door medisch handelen veroorzaakte) vorm. De grote meerderheid van de gevallen (85%) wordt gevormd door spontane, zgn. 'sporadische' gevallen.
In de jaren 1990-2000 kreeg de ziekte veel bekendheid doordat er gevallen werden gevonden die een mogelijke relatie hadden met boviene spongiforme encefalopathie, de gekkekoeienziekte. Deze werden aangeduid als variant Creutzfeldt-Jakob Disease (vCJD). Op basis van een verschillend ziektepatroon (onder andere in de hersenen) heeft men vCJD uiteindelijk echter toch als een aparte ziekte gedefinieerd, zij het een ziekte met duidelijke overeenkomsten in de pathofysiologie: beide zijn prionziekten.
Beloop
De ziekte begint vaak sluipend tussen de leeftijden van 50 en 70 jaar, met niet-specifieke symptomen zoals hoofdpijn, moeheid, of depressie en bij gangbare neurologische onderzoeksmethoden (lichamelijk neurologisch onderzoek, beeldvormend onderzoek mbv CT- en MRI-scans, liquoronderzoek, EEG en EMG, bloedonderzoek) worden aanvankelijk zelden afwijkingen aangetroffen. De klachten, die worden veroorzaakt door het steeds sneller afsterven van zenuwcellen in de hersenen, nemen echter snel toe en breiden zich uit over verschillende gebieden: motorisch, sensorisch, cognitief en visueel.
Vaak begint de ziekte in een enkel systeem, maar breidt zich vrij snel uit naar andere tot uiteindelijk alle neurologische systemen zijn aangetast. De patiënt klaagt over tintelingen of abnormale sensaties in ledematen, gaat moeilijk lopen met onzekere, wat schokkende bewegingen (ataxie) en kan een valneiging ontwikkelen. Het geheugen en de intellectuele functies gaan achteruit en de patiënt kan moeite krijgen met lezen of visuele hallucinaties krijgen. Soms treden epileptische aanvallen op. Het beloop laat dan meestal een snelle verergering zien en de meeste patiënten zijn een jaar na het begin van de eerste symptomen overleden. Vaak treedt er ook myoclonus op, het ongewild samentrekken van spieren of spiergroepen. De gemiddelde ziekteduur is slechts vier maanden en maar 5% van de patiënten is na 2 jaar nog in leven.
Oorzaak
De Amerikaanse onderzoeker Stanley B. Prusiner kwam in 1982 voor het eerst met zijn nieuw infectieprincipe op de proppen en lanceerde de term ‘prion’, een samentrekking voor proteinaceous infectious particle. Hij ontving hiervoor in 1997 een Nobelprijs in de geneeskunde. Hij ontdekte dat bepaalde eiwitten in het lichaam verantwoordelijk waren voor enkele tot dan toe onbegrijpelijke ziektes. Het was de grootste doorbraak in de medische microbiologie van de 20-ste eeuw, want het ging tegen alle gevestigde opvattingen in; men ging er namelijk nog steeds vanuit dat alle infectieziekten veroorzaakt worden door ziekteverwekkende micro-organismen. Deze "klassieke" ziekteverwekkers bevatten allemaal DNA of RNA die de genetische codes bevatten voor deze organismen en nodig zijn om zichzelf te kunnen voortplanten.
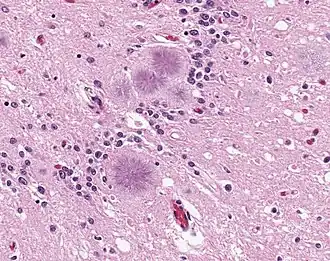
De ziekte van Creutzfeld-Jacob is zo’n prionziekte en vindt zijn oorzaak in de omvorming van een normaal eiwit in de hersencellen tot een abnormaal eiwit. Het normaal eiwit heeft een functie in het biologisch ritme, het draagt boodschappen over tussen cellen en wordt in principe na gebruik door de enzymen van de hersencellen afgebroken. Door nog onbekende oorzaken verandert het eiwit soms van structuur, waarna het een ravage aanricht in het zenuwstelsel. Zo’n infectieus eiwit of prion is namelijk in staat normale eiwitten om te vormen tot abnormale en schadelijke exemplaren. Deze schadelijke prionen vinden we terug in de hersenen van besmette dieren en deze kunnen bij stapeling leiden tot het afsterven van de zenuwcellen. Al de prion-ziektes hebben gemeen dat de getroffen zenuwcellen in de hersenen afsterven en kleine holtes achterlaten waardoor de hersenen er onder de microscoop als een spons gaan uitzien, ook wel Spongiforme Encefalopathie genaamd.
Infectie
Het blijkt dat alle zoogdieren drager zijn van een prion-gen. Dit gen is verantwoordelijk voor de samenstelling van het eiwit dat op het eerste gezicht niet verschilt van het eiwit verantwoordelijk voor de hersenafbraak. Volgens Prusiner bestaan er twee conformaties van dit prion-eiwit, de normale cellulaire vorm PrPc en de ziekmakende PrPsc. Ze verschillen slechts van elkaar in hun secundaire structuur: de gezonde vorm is gevouwen in de vorm van vier α-helices. De ziekmakende vorm daarentegen bestaat uit 2 α-helices en 4 β-sheets. Bij de overgang van het niet-infectieuze PrPc in het infectieuze PrPSc zijn 2 α-helices overgegaan in 4 grote platte β-sheets.
Een fout PrPsc kan de normale eiwitten in zijn buurt dwingen om de abnormale structuur over te nemen; hierdoor kan een domino-effect teweeg worden gebracht. Het spontaan ontstaan van de besmettelijke vorm komt echter ook voor. Zo ontwikkelt ongeveer één op de miljoen mensen spontaan Creutzfeld-Jakob. Je kunt hiermee ook verklaren waarom er zowel spontane als overdraagbare vormen van sponsvormige encefalopathie bestaan. Een klein foutje in het prion-gen kan een onstabiele prion voortbrengen met een andere structuur dat makkelijker zal omklappen naar een gevaarlijk PrPsc Prion.
Overdraagbaarheid
CJD is overdraagbaar van mens op mens, zoals is gebleken uit een aantal tragische medische ongevallen waarbij
- ontvangers van menselijk groeihormoon (indertijd verkregen uit hypofyseweefsel van overleden mensen, nu synthetisch gemaakt) de ziekte ontwikkelden en
- de ziekte werd geconstateerd bij mensen die een neurochirurgische ingreep hadden ondergaan kort nadat een patiënt met de ziekte van Creutzfeldt-Jakob met dezelfde instrumenten was geopereerd.
Het prion-agens wordt namelijk, zoals toen bleek, niet voldoende onschadelijk gemaakt door normale op dat moment gangbare sterilisatie-maatregelen.
De erfelijke vorm van de ziekte is het gevolg van een mutatie van het gen dat codeert voor het prion. De mutatie veroorzaakt een gemakkelijkere overgang van het gewone eiwit naar de afwijkende vorm.
Verband met gekkekoeienziekte
Het is zo goed als zeker dat er een verband bestaat tussen de gekkekoeienziekte en de ziekte 'variant Creutzfeld-Jacob'. Het koeien-PrPsc is in zeldzame gevallen ook in staat om menselijke PrPc om te zetten. Dit is opmerkelijk, want echt besmettelijk is zo’n infectieus prioneiwit niet; het kan zich immers alleen verspreiden door inname van zenuw- en lymfoïd weefsel. Zo ontstond de Britse BSE-epidemie door besmetting van veevoer waarin hersenmateriaal was verwerkt.
Het schadelijke prioneiwit is echter ook zeer taai, het is bestand tegen hitte, straling, enzymen en chemische ontsmettingsmiddelen. Doordat het in tegenstelling tot het normaal eiwit niet door de hersenen wordt afgebroken, kan het zich ook opstapelen. Bovendien nemen we de ziekmakende prionen op via de minst efficiënte manier, namelijk de spijsvertering. Ook zou het koeienprion het moeilijker hebben om menselijke PrPc om te klappen. Na eliminatie van BSE uit de Engelse veestapel is het optreden van nieuwe gevallen van vCJD in dat land inmiddels echter vrijwel tot nul gedaald na een piek van 28 gevallen per jaar in de begin jaren 2000. De incidentie van 'gewone' CJD blijft er stabiel op 80-100/jaar.
Oplossing
De Spanjaarden Soto, Saborio en collega’s beschreven op 15 januari 2000 dat ze de β-sheet-breker (iPrP13) peptide hadden gecreëerd.[4] Wanneer ze die toevoegden aan PrPsc-moleculen en cellen van mensen met creutzfeldt-jakob, zorgde het peptide voor een gedeeltelijke ontvouwing van PrPsc. De behandeling van de geïnfecteerde cellen leidde daadwerkelijk tot vermindering van de symptomen.
Het ongedaan maken van vormveranderingen bij prionen betekent een flinke aanzet voor mogelijke behandeling, niet alleen voor de creutzfeldt-jakobvariant maar ook voor andere ziekten die met verkeerde eiwitvouwing van doen hebben.
Medicijnen
In april 2013 werd bekendgemaakt dat de geneesmiddelen astemizol en tacrolimus mogelijk een genezend effect op de ziekte hebben.[5]
Verwante ziekten
Ziekten van dezelfde familie zijn onder andere:
- GSS (syndroom van Gerstmann-Sträussler-Scheinker) bij de mens
- Fatale familiaire insomnie (FFI) bij de mens
- Kuru bij de Fore, een stam op Nieuw-Guinea
- Boviene Spongiforme Encefalopathie (BSE) bij runderen
- Feliene spongiforme encefalopathie bij katachtigen
- Scrapie bij schapen en geiten
- Chronic Wasting Disease (CWD) bij hertachtigen
Externe link
Voetnoten
- ↑ Sliosberg, A. (1975). Elsevier’s medical dictionary in five languages. English/American / French / Italian / Spanish and German. (2nd Edition). Amsterdam/Oxford/New York: Elsevier’s Scientific Publishing Company.
- ↑ a b Leflot-Soetemans, C. & Leflot, G. (1975). Standaard Geneeskundig woordboek Frans-Nederlands. Antwerpen-Amsterdam: Standaard Uitgeverij.
- ↑ a b c Beijer, T. & Apeldoorn, C.G.L. (1996). Woordenboek van medische eponiemen. Houten/Diegem: Bohn Stafleu Van Loghum.
- ↑ [1]
- ↑ http://www.scripps.edu/news/press/2013/20130403lasmezas.html
%252C_typical_amyloid_plaques%252C_H%2526E.jpg)