Legionellose
Raadpleeg bij gezondheidsklachten een arts.
| Legionellapneumonie | ||||
|---|---|---|---|---|
| ||||
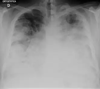
Thoraxfoto tonend ernstige legionellose
| ||||
| Synoniemen | ||||
| Nederlands | Veteranenziekte Legionairsziekte | |||
| Classificatie | ||||
| Specialisme | Infectieziekte | |||
| Beschrijving | ||||
| Symptomen | Hoest[1] Hoofdpijn (60%)[1] Diarree (25%)[1] Misselijkheid of braken (20%)[1] | |||
| Duur | Maanden tot jaren | |||
| Oorzaken | Legionella pneumophila | |||
| Diagnose | Kweek[1] Urine-antigeentest[1] Serologie[1] Polymerasekettingreactie (PCR)[1] Directe immunofluorescentie antilichaammethode (DFA)[1] | |||
| Behandeling | Fluorchinolon[1] Macrolide[1] | |||
| Coderingen | ||||
| ICD-11 | ||||
| DiseasesDB | 7366 | |||
| DOID | 10457 | |||
| MedlinePlus | 000616 | |||
| eMedicine | emerg/295 | |||
| MeSH | D007877 | |||
| ||||
| Pontiac fever | ||||
|---|---|---|---|---|
| ||||
| Synoniemen | ||||
| Nederlands | Legionellagriep Pontiackoorts | |||
| Beschrijving | ||||
| Symptomen | Koude rilling Hoofdpijn Spierpijn Malaise | |||
| Duur | 2-7 dagen | |||
| Coderingen | ||||
| ICD-11 | ||||
| DiseasesDB | 32526 | |||
| DOID | 10457 | |||
| MedlinePlus | 000616 | |||
| MeSH | D007877 | |||
| ||||
Legionellose is een infectieziekte die de luchtwegen en de longen aantast. De ziekte wordt veroorzaakt door de bacterie Legionella pneumophila. Van deze bacterie zijn er ten minste 34 serogroepen beschreven. Het aantal zal toenemen doordat er doorlopend mutaties optreden.
Legionellose komt in twee varianten voor:
- De veteranenziekte of legionairsziekte is een vorm van longontsteking. De ziekte kan licht verlopen, maar ook ernstig of fataal zijn. Zij trekt vooral de aandacht van de media omdat er weleens uitbraken op grote schaal plaatsvinden. De veteranenziekte is een potentieel ernstige aandoening met een overlijdensrisico van 5 tot 25 procent.
- De legionellagriep of pontiackoorts is een lichtere variant van de ziekte waarbij geen longontsteking plaatsvindt. Deze variant is ongevaarlijk en de klachten die hiermee gepaard gaan, kunnen zonder behandeling overgaan.
Veteranenziekte
Incubatietijd
De tijd tussen de besmetting en het optreden van de eerste ziekteverschijnselen (de incubatietijd) ligt meestal tussen de twee en de tien dagen, maar kan zelfs oplopen tot negentien dagen.
Ziekteverschijnselen en behandeling
De veteranenziekte begint met een snel opkomende hoofdpijn, spierpijn en een ziek gevoel, gevolgd door longontsteking met koorts boven de 39 °C. De patiënt hoest en is soms kortademig. Een aantal patiënten heeft last van braken en diarree. De bacterie tast de binnenkant van de longblaasjes aan, waardoor het lichaam geen zuurstof meer kan opnemen.
De ziekte kan zeer ernstige gevolgen hebben, maar is door directe toediening van de juiste antibiotica goed te behandelen. De juiste antibiotica zijn echter niet altijd de meest voor de hand liggende voor een 'gewone' longontsteking. Wel kan het, na genezing van de longontsteking, nog lang duren voor de patiënt weer helemaal is opgeknapt. In lichtere gevallen die door dezelfde bacterie worden veroorzaakt heeft de persoon gedurende twee tot vijf dagen lichte griepachtige verschijnselen zoals koorts, hoofdpijn, spierpijn en hoesten. De ziekte, die legionellagriep wordt genoemd, is in deze lichte vorm niet gevaarlijk, er doet zich geen longontsteking voor. De klachten kunnen zonder behandeling overgaan. De bacterie is lastig te kweken. Wel is er inmiddels (2003) een urinetest die bij een aantal (niet alle) typen van de legionellabacterie zeer snel de infectie kan aantonen.
Besmetting
Besmetting met de legionellabacterie gebeurt via de longen. De infectie wordt mogelijk overgebracht door het inademen van de bacterie in zeer kleine druppeltjes water, verspreid in de lucht (nevel). Verneveling van water gebeurt bij huishoudelijk gebruik van leidingwater (zoals douchen), maar ook in bubbelbaden en bij sommige vormen van luchtbehandeling (airconditioning). De bacterie kan niet van de ene mens op de andere worden overgedragen en is dus niet besmettelijk. Ook huisdieren kunnen niet besmet raken. Het drinken van water vormt geen risico. De bacterie vermenigvuldigt zich in stagnerende waterleidingen, vooral bij wat hogere temperaturen.
Een beruchte bron van besmetting zijn douches in hotels in vakantielanden, waar de kraan soms (als de kamer een poos leegstaat) een aantal dagen niet loopt en de gasten dan na een lange reis meteen onder de douche springen. De bacteriën hebben zich ruim vermenigvuldigd en worden door de eerste bader ingeademd. Een belangrijk preventief advies is de kraan met ingehouden adem aan te zetten, de doucheruimte te verlaten en een paar minuten later pas te douchen.
Hotels waar meer dan een persoon met een gediagnosticeerde en gemelde legionella-infectie hebben verbleven, worden tegenwoordig door het Ministerie van Volksgezondheid op een zwarte lijst gepubliceerd. De toeristenindustrie van dergelijke oorden werkt dit vaak tegen. De kolonisatie van waterleidingen door de bacterie is eenvoudig tegen te gaan door ervoor te zorgen dat er geregeld water doorheen stroomt van meer dan 65 graden Celsius; bij temperaturen van meer dan 60 graden wordt de bacterie gedood. Dit is echter wel zo heet dat er weer moet worden gewaakt voor brandwonden bij gebruikers van warm water.
Volgende personen lopen een verhoogd risico op besmetting:
- zware rokers;
- ouderen;
- mensen die medicijnen gebruiken die hun afweer verstoren zoals Prednison, Cell-Cept (ciclosporine, cytostatica);
- mensen die een transplantatie hebben ondergaan;
- chronisch zieken met suikerziekte, astma, chronisch hartfalen, chronisch nierfalen, cirrose;
- alcoholisten;
- patiënten met kanker, leukemie en/of hiv-infectie.
Kinderen en zwangere vrouwen lopen geen verhoogd risico.
Legionellagriep
Legionellagriep of pontiackoorts is een mogelijk gevolg van blootstelling aan de legionellabacterie die altijd voorkomt in de bodem en incidenteel in waterleidingen, waar onder bepaalde omstandigheden een risico voor infectie ontstaat. De legionellagriep is ongevaarlijk en de klachten kunnen zonder behandeling overgaan.
Tijdens legionellagriep ondervindt men lichte griepachtige verschijnselen zoals koorts, hoofdpijn, spierpijn en hoesten. In tegenstelling tot bij de veteranenziekte doet zich bij legionellagriep geen longontsteking voor.
Geschiedenis van de ziekte
De legionellagriep kwam voor het eerst voor in Pontiac (VS) in 1968 (en kreeg daarom de naam pontiackoorts). Enkele werknemers van de gezondheidszorgafdeling van de county kregen koorts met milde griepsymptomen, maar geen longontsteking. Pas na de uitbraak van de veteranenziekte in 1976 werd vastgesteld dat de werknemers besmet waren geweest met de nieuw ontdekte Legionella pneumophila-bacterie.
De veteranenziekte werd in 1977 ontdekt nadat er in 1976 in Philadelphia (VS) een epidemie van longontstekingen woedde onder oud-strijders van de Amerikaanse strijdkrachten die bij een reünie van het American Legion (Amerikaans Legioen) in hetzelfde hotel hadden verbleven. 221 veteranen werden ziek en er stierven uiteindelijk 34 personen aan de longontsteking. Pas na maanden onderzoek werd vastgesteld dat het hier ging om een besmetting door een tot dan toe onbekende bacterie. Later is echter vastgesteld dat er in 1957 ook een uitbraak in Austin (Minnesota) is geweest die leidde tot longontstekingen.[2]
In 1985 trad een grote uitbraak op in Stafford, waarbij de besmettingsbron bleek te liggen in een van de koeltorens van de airconditioning van het plaatselijke ziekenhuis. De besmetting trad vooral op bij mensen die in de buurt van deze toren hadden verbleven. Er waren 68 herkende gevallen van longontsteking en 22 mensen overleden. Een groot aantal personeelsleden bleek daarnaast bij onderzoek antistoffen te hebben zonder duidelijk ziek te zijn geweest.
In 2000 vond in het Melbourne Aquarium in Melbourne, Australië ook een uitbraak plaats.
Naar schatting lopen (rond 2003) jaarlijks honderden en mogelijk duizenden mensen een infectie op. In ongeveer de helft van de bij de Nederlandse Inspectie Gezondheidszorg en Jeugd gemelde gevallen is de infectie waarschijnlijk opgelopen in het buitenland. De meeste mensen worden niet ziek na besmetting. Slechts bij een klein deel van de mensen die met de bacterie zijn besmet, ontwikkelt zich de veteranenziekte.
Op 10 juli 2006 werd bekend dat in de regio Amsterdam zich 19 patiënten hadden gemeld met de veteranenziekte. 1 persoon is hieraan overleden. De bron van de besmetting waren de koeltorens op het oude post-gebouw vlak bij het centraal station.
In mei 2019 vond een uitbraak van legionellose plaats in Evergem (Oost-Vlaanderen). Vermoed werd dat de uitbraak afkomstig was van een van de koeltorens aanwezig in de Gentse kanaalzone. Na onderzoek werd de legionellabacterie aangetroffen in koelinstallaties bij vijf bedrijven in de kanaalzone; verder genetisch onderzoek kon de uitbraak linken aan papierfabriek Stora Enso. Het bedrijf maakte zelf het nieuws bekend dat het aan de oorsprong van de uitbraak lag. De betrokken koelinstallaties werden ontsmet en opgevolgd door het Agentschap Zorg en Gezondheid van de Vlaamse overheid. Er werd ook een gerechtelijk onderzoek geopend om na te gaan of het bedrijf alle voorzorgsmaatregelen respecteerde. Als gevolg van de uitbraak raakten 32 mensen besmet, waarvan een aantal in het ziekenhuis opgenomen dienden te worden. Twee van hen overleden aan de besmetting.[3][4][5]
In november 2021 vond ook een kleine legionella-uitbraak in Schijndel plaats.[6] Zeventien personen raakten daarbij besmet[7] en een persoon is daarbij overleden. De bron van de bacterie is daarbij niet gevonden.
Westfriese Flora
In Nederland trad een zeer grote legionella-uitbraak op in maart 1999 onder bezoekers van de Westfriese Flora in Bovenkarspel.[8] De bron van de bacterie bleek volgens onderzoek van het RIVM te liggen in een bubbelbad. Toen overleden 32 mensen aan de gevolgen van de veteranenziekte en meer dan 200 mensen werden ernstig ziek. Waarschijnlijk is het aantal overledenen groter, want het duurde enige tijd voordat de ziekte werd herkend. Een aantal overleden personen was op dat moment al begraven.
Externe links
- Stichting Veteranenziekte
- Legionellavraagbaak
- Aqua Nederland werkgroep legionella[dode link]
- De uitbraak in Stafford
- Ministerie van WVS
- Lijst van verdachte accommodaties (Wayback Machine archief, verschillende data)
- De tekst op deze pagina of een eerdere versie daarvan is afkomstig van de website van Postbus 51.
- ↑ a b c d e f g h i j k Legionellose | LCI richtlijnen. lci.rivm.nl. Gearchiveerd op 27 januari 2021. Geraadpleegd op 15 januari 2021.
- ↑ Paul H. Edelstein "Legionnaires Disease: History and Clinical Findings", uit: Klaus Heuner & Michele Swanson (ed.) (2008) Legionella: Molecular Microbiology Caister Academic Press ISBN 978-1-904455-26-4
- ↑ Ludwig De Wolf, Bron van legionellabesmettingen in en rond Evergem gevonden (maar die blijft voorlopig geheim). www.vrt.be. VRT NWS (29 mei 2019). Gearchiveerd op 30 mei 2019. Geraadpleegd op 29 mei 2019.
- ↑ Alexander Verstraete, Papierfabrikant Stora Enso uit Gent is bron van legionella-uitbraak. www.vrt.be. VRT NWS (4 juni 2019). Gearchiveerd op 4 september 2019. Geraadpleegd op 25 augustus 2019.
- ↑ (en) Chris de Hollander, Legionella infection in the Canal Zone of Ghent. www.storaenso.com. Stora Enso (26 juni 2019). Gearchiveerd op 29 juli 2019. Geraadpleegd op 25 augustus 2019.
- ↑ Brabants Dagblad, "Bron van legionella-uitbraak in Schijndel blijft mogelijk onbekend". Gearchiveerd op 22 januari 2022. Geraadpleegd op 22 januari 2022.
- ↑ Gemeente Meierijstad, Bron legionella in Schijndel niet meer actief. Gearchiveerd op 22 januari 2022. Geraadpleegd op 22 januari 2022.
- ↑ 25 februari 1999: Legionellabesmetting Westfriese Flora, Bovenkarspel, Zwaailichten rampensite
