Vaping-gerelateerde longschade
Raadpleeg bij gezondheidsklachten een arts.
| Vaping-gerelateerde longschade | ||||
|---|---|---|---|---|
| ||||
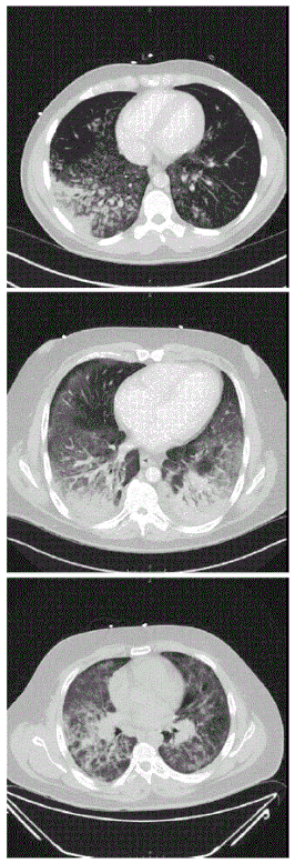
CT-scans tonen diffuse longinfiltraten bij drie patiënten met een ernstige vorm van vaping-gerelateerde longschade.
| ||||
| Classificatie | ||||
| Specialisme | Pulmonologie | |||
| Coderingen | ||||
| ICD-10 | U07.0 | |||
| DiseasesDB | 65222 | |||
| ||||
Vaping-gerelateerde longschade (VGL), in het Engels gekend als Vaping-associated pulmonary injury (VAPI), vaping-associated lung injury (VALI) of e-cigarette, or vaping, product use associated lung injury (E/VALI), is een overkoepelende term voor longziekten geassocieerd met vapen. De term verwijst vooral naar de levensbedreigende en ernstige gevallen.[1]
Symptomen kunnen aanvankelijk lijken op veelvoorkomende longdiagnoses, zoals longontsteking, maar patiënten reageren meestal niet op antibioticatherapie. Differentiaaldiagnoses vertonen overlappende kenmerken met VGL, waaronder COVID-19.
In het jaar 2019 hield VGL voornamelijk de VS in de ban vanwege 26 sterfgevallen vanwege de ziekte.[2] 2019 is ook het jaar waarin de ziekte ontdekt werd.[3] In Europa stierf de eerste persoon door VGL in maart 2020.[4]
Er is nog geen remedie voor de ziekte.[2] Ook bestaat de ziekte nog niet lang genoeg om te weten wat er gebeurt op lange termijn.[4]
- ↑ Longproblemen mogelijk gerelateerd aan e-sigaret | NTVG. www.ntvg.nl (26 augustus 2019). Geraadpleegd op 16 juli 2024.
- ↑ a b NWS, VRT, Mysterieuze Amerikaanse longziekte gelinkt aan e-sigaret heeft een naam gekregen: EVALI. vrtnws.be (17 oktober 2019). Geraadpleegd op 16 juli 2024.
- ↑ UpToDate. www.uptodate.com. Geraadpleegd op 16 juli 2024.
- ↑ a b Zulfiqar, Hassam (2024). Vaping-Associated Pulmonary Injury. StatPearls Publishing, Treasure Island (FL).
