Tendinitis calcarea

Neem het voorbehoud bij medische informatie in acht.
Raadpleeg bij gezondheidsklachten een arts.
Raadpleeg bij gezondheidsklachten een arts.
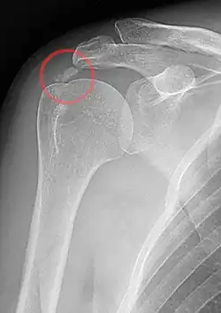
Tendinitis calcarea is een peesontsteking in de schouder. Deze ontsteking wordt veroorzaakt door calciumfosfaat in of rondom de betreffende pees, meestal de pees van de musculus supraspinatus zodanig dat de schouder pijn gaat doen bij bepaalde bewegingen. Vaak ontstaat er ook een bewegingsbeperking in de schouder, mede door de pijn.
Geplaatst op:
06-12-2006
06-12-2006
Dit artikel is een beginnetje over geneeskunde. U wordt uitgenodigd om op bewerken te klikken om uw kennis aan dit artikel toe te voegen.