Tandvleesontsteking
Raadpleeg bij gezondheidsklachten een arts.

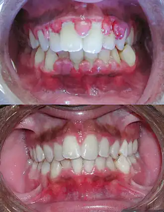
Gingivitis is een ontsteking (=itis) van de gingiva oftewel het tandvlees.
Gingivitis oftewel tandvleesontsteking ontstaat door de ophoping van tandplaque en tandsteen rondom tanden en kiezen. Het kenmerkt zich door roodheid en zwelling van het tandvlees. Tevens gaat het tandvlees bij aanraking gemakkelijk bloeden. Gingivitis kan genezen door een goede mondhygiëne toe te passen. Daarnaast kan een behandeling bestaan uit verwijdering van tandplaque en tandsteen door de tandarts.[1]
Doorgaans heeft gingivitis alle kenmerken van een aspecifieke, chronische ontsteking maar er zijn uitzonderingen waarbij gingivitis een acuut verloop kan hebben. Dit is met name bij zwangerschapsgingivitis, acute streptokokkengingivitis of de zogenaamde NUG.
Als de ontsteking meer weefsel dan alleen het tandvlees omvat, dan spreken we van parodontitis.
Een aspecifieke infectie wordt niet door een bepaalde bacterie veroorzaakt, toch zijn bij gingivitis vooral de volgende bacteriesoorten sterk aanwezig:
- Fusobacterium nucleatum
- Prevotella intermedia
- Bacteroides forsythus
- Campylobacter rectum
- Campylobacter concisus
- Treponema denticola
- Eubacterium timidum
- Peptostreptococus micros
- Actinomyces naeslundii
- Actinomyces viscosus
Tandvleesontsteking en zwangerschap
Het tandvlees is tijdens het zwangerschap veel gevoeliger voor ontstekingen. Dit heeft te maken met veranderingen in de hormonen. Deze ontstekingen kunnen uiteindelijk leiden tot tandvleesziekte, ook wel bekend als parodontitis. Parodontitis zorgt op zijn beurt weer voor een toename van de hoeveelheden ontstekingsbevorderende stoffen in het bloed.[2] Uit meerdere onderzoeken is ook gebleken dat dit bij zwangere vrouwen kan leiden tot te vroege weeën.[3]
Referenties
- ↑ Behandeling van tandvleesontsteking. gezondheidsplein.nl (29 april 2019). Geraadpleegd op 16 juli 2019.
- ↑ Zwangerschap en het gebit. Dentalzorg Tandheelkunde (15 april 2014). Geraadpleegd op 6 juli 2020.
- ↑ (en) Girish Suragimath (23 oktober 2019). Gingival Disease - A Professional Approach for Treatment and Prevention. IntechOpen. ISBN 978-1-83962-347-9.