Pyomyositis
| Pyomyositis | ||||
|---|---|---|---|---|
| ||||
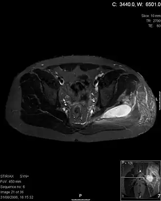
Transversale T2 MRI ter hoogte van de heup laat abcessen zien bij een pyomyositis-patiënt.
| ||||
| Coderingen | ||||
| ICD-10 ICD-9 |
M60.0 040.81, 728.0 | |||
| DiseasesDB | 29474 | |||
| DOID | 876 | |||
| MeSH | D052880 | |||
| ||||
Pyomyositis, ook wel tropische pyomyositis of myositis tropicans, is een bacteriële infectie van de skeletspieren die resulteert in met pus gevuld abces. Pyomyositis komt vooral voor in tropische streken maar kan zich ook in gematigde streken voordoen.
Pyomyositis wordt meestal veroorzaakt door de bacterie Staphylococcus aureus.[1] Hoewel de infectie zich kan voordoen in iedere skeletspier worden meestal grote spiergroepen zoals de quadriceps of de bilspieren aangedaan. De infectie is in de tropen meestal een gevolg van kleine verwondingen. In gematigde streken komt het vooral voor bij mensen met een gecompromitteerd immuunsysteem.
Pyomyositis wordt behandeld door het abces van een drain te voorzien en tegelijkertijd de infectie te bestrijden met antibiotica.
- ↑ Chauhan S, Jain S, Varma S, Chauhan SS (May 2004). Tropical pyomyositis (myositis tropicans): current perspective. Postgrad Med J 80 (943): 267–70. PMID 15138315. PMC 1743005. DOI: 10.1136/pgmj.2003.009274.
